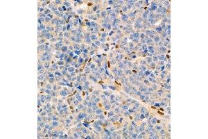
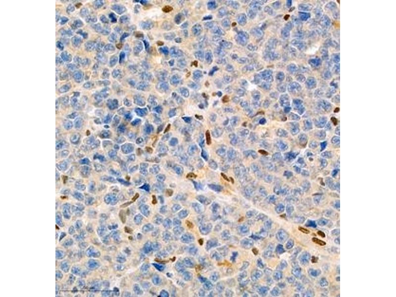
MNDA anticorps
Aperçu rapide pour MNDA anticorps (ABIN7074709)
Antigène
Voir toutes MNDA AnticorpsReactivité
Hôte
Clonalité
Conjugué
Application
-
-
Réactivité croisée
- Rat
-
Purification
- Affinity purification
-
Immunogène
- Recombinant protein corresponding to Mouse MNDA
-
-
-
-
Indications d'application
- IHC/IF (M,R) 1:1700-1:3400
-
Restrictions
- For Research Use only
-
-
-
Format
- Liquid
-
Buffer
- PBS, pH 7.4, 0.02 % sodium azide
-
Agent conservateur
- Sodium azide
-
Précaution d'utilisation
- This product contains Sodium azide: a POISONOUS AND HAZARDOUS SUBSTANCE which should be handled by trained staff only.
-
Stock
- -20 °C
-
-
- MNDA (Myeloid Cell Nuclear Differentiation Antigen (MNDA))
-
Autre désignation
- MNDA
-
Sujet
- The gene may act as a transcriptional activator/repressor in the myeloid lineage. Plays a role in the granulocyte/monocyte cell-specific response to interferon. Stimulates the DNA binding of the transcriptional repressor protein YY1.This product provides a new panel of monoclonal antibodies which stain early precursor and mature forms of human myeloid cells. This panel of monoclonal antibodies reacts with antigenic determinants present in normal myeloid cells and leukemias of similar derivation.
-
ID gène
- 381308
-
NCBI Accession
- NP_001028622
-
UniProt
- P0DOV1
Antigène
-