Tel:
+49 (0)241 95 163 153
Fax:
+49 (0)241 95 163 155
E-Mail:
orders@anticorps-enligne.fr

PFDN4 anticorps

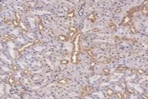
Cet anticorps anti-PFDN4 Polyclonal Lapin (ABIN7075171) détecte spécifiquement PFDN4 dans IF et IHC. L’anticorps est réactif avec des échantillons de Humain, Souris et Rat.
N° du produit ABIN7075171
592,31 €
Plus frais de livraison 40,00 € et TVA
100 μL
Destination: France
Envoi sous 13 à 20 jours ouvrables

Aperçu rapide pour PFDN4 anticorps (ABIN7075171)

Antigène

Voir toutes PFDN4 Anticorps
PFDN4 (Prefoldin Subunit 4 (PFDN4))

Reactivité

  • 21
  • 4
  • 3
  • 2
  • 2
  • 2
  • 2
  • 2
  • 2
  • 1
  • 1
  • 1
  • 1
  • 1
Humain, Souris, Rat

Hôte

  • 19
  • 2
Lapin

Clonalité

  • 20
  • 1
Polyclonal

Conjugué

  • 13
  • 2
  • 2
  • 2
  • 1
  • 1
Cet anticorp PFDN4 est non-conjugé

Application

  • 17
  • 13
  • 2
Immunofluorescence (IF), Immunohistochemistry (IHC)
  •  Réactivité croisée

    Humain, Rat

    Purification

    Affinity purification

    Immunogène

    Recombinant protein corresponding to Mouse PFDN4
  • Indications d'application

    IHC/IF (H,M,R) 1:2100-1:4200

    Restrictions

    For Research Use only
  • Format

    Liquid

    Buffer

    PBS, pH 7.4, 0.02 % sodium azide

    Agent conservateur

    Sodium azide

    Précaution d'utilisation

    This product contains Sodium azide: a POISONOUS AND HAZARDOUS SUBSTANCE which should be handled by trained staff only.

    Stock

    -20 °C
  • Antigène

    PFDN4 (Prefoldin Subunit 4 (PFDN4))

    Autre désignation

    PFDN4

    Sujet

    The human PFDN4, prefoldin 4, is a subunit of the heterohexameric chaperone protein and belongs to the prefoldin family. The encoded protein is one of six subunits of prefoldin, a molecular chaperone complex that binds and stabilizes newly synthesized polypeptides, thereby allowing them to fold correctly. Previous reports have shown that PFDN4 is upregulated in breast cancer cell lines and tumor tissues . PFDN4 expression may be a prognostic factor in colorectal cancer .

    UniProt

    E9Q6U4

    Pathways

    Unfolded Protein Response
Vous êtes ici:
Chat with us!