UGT1A9 anticorps (AA 101-200)
Aperçu rapide pour UGT1A9 anticorps (AA 101-200) (ABIN705491)
Antigène
Voir toutes UGT1A9 AnticorpsReactivité
Hôte
Clonalité
Conjugué
Application
-
-
Épitope
- AA 101-200
-
Réactivité croisée
- Humain, Rat
-
Homologie
- Mouse
-
Purification
- Purified by Protein A.
-
Immunogène
- KLH conjugated synthetic peptide derived from human UGT1A9
-
Isotype
- IgG
-
-
-
-
Indications d'application
-
WB 1:300-5000
ELISA 1:500-1000
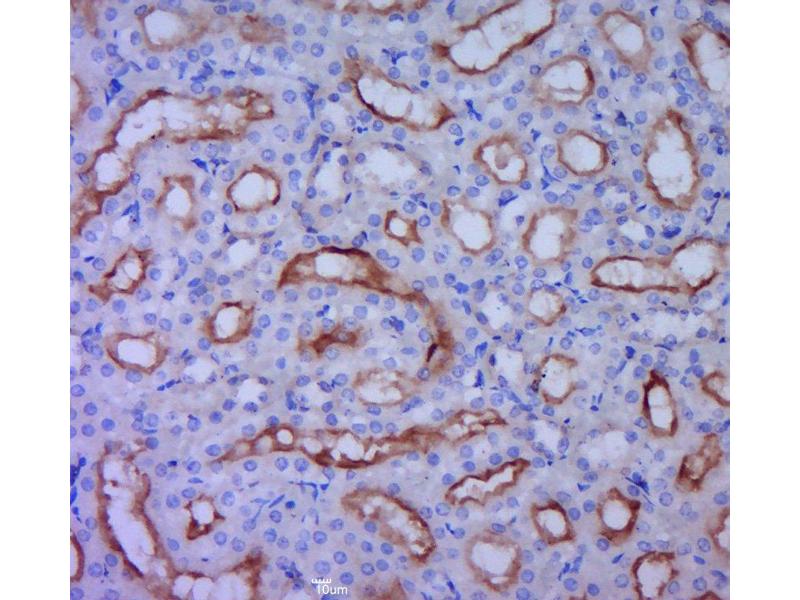
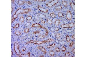
IHC-P 1:200-400
IHC-F 1:100-500
IF(IHC-P) 1:50-200
IF(IHC-F) 1:50-200
IF(ICC) 1:50-200 -
Restrictions
- For Research Use only
-
-
-
Format
- Liquid
-
Concentration
- 1 μg/μL
-
Buffer
- 0.01M TBS( pH 7.4) with 1 % BSA, 0.02 % Proclin300 and 50 % Glycerol.
-
Agent conservateur
- ProClin
-
Précaution d'utilisation
- This product contains ProClin: a POISONOUS AND HAZARDOUS SUBSTANCE, which should be handled by trained staff only.
-
Stock
- 4 °C,-20 °C
-
Stockage commentaire
- Shipped at 4°C. Store at -20°C for one year. Avoid repeated freeze/thaw cycles.
-
Date de péremption
- 12 months
-
-
- UGT1A9 (UDP Glucuronosyltransferase 1 Family, Polypeptide A9 (UGT1A9))
-
Autre désignation
- UGT1A9
-
Sujet
-
Synonyms: GNT1, HLUGP4, LUGP4, UDP glucuronosyltransferase 1A9, UDPGT, UGT1I, UD19_HUMAN.
Background: UGT1A9 is a UDP glucuronosyltransferase, an enzyme of the glucuronidation pathway that transforms small lipophilic molecules, such as steroids, bilirubin, hormones, and drugs, into water soluble, excretable metabolites. This gene is part of a complex locus that encodes several UDP glucuronosyltransferases. The locus includes thirteen unique alternate first exons followed by four common exons. Four of the alternate first exons are considered pseudogenes. Each of the remaining nine 5' exons may be spliced to the four common exons, resulting in nine proteins with different N termini and identical C termini. Each first exon encodes the substrate binding site, and is regulated by its own promoter. UGT1A9 is active on phenols.
-
ID gène
- 54600
-
Pathways
- Steroid Hormone Biosynthesis, Regulation of Lipid Metabolism by PPARalpha
Antigène
-