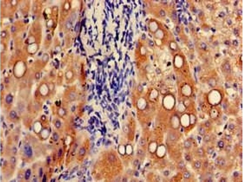
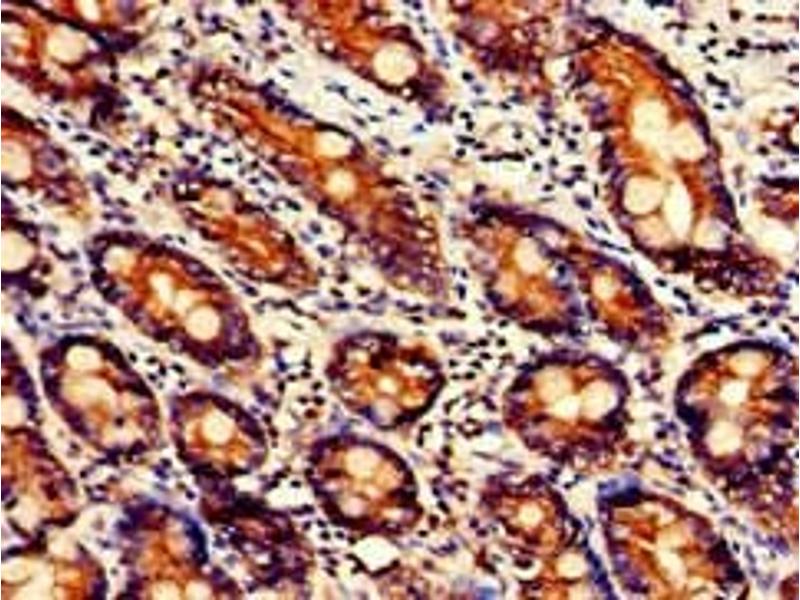
UGT1A9 anticorps (AA 277-473)
Aperçu rapide pour UGT1A9 anticorps (AA 277-473) (ABIN7174631)
Antigène
Voir toutes UGT1A9 AnticorpsReactivité
Hôte
Clonalité
Conjugué
Application
-
-
Épitope
- AA 277-473
-
Fonction
- UGT1A9 Antibody
-
Purification
- Protein G purified
-
Pureté
- >95 %
-
Immunogène
- Recombinant Human UDP-glucuronosyltransferase 1-9 protein (277-473AA)
-
Isotype
- IgG
-
-
-
-
Indications d'application
- Optimal working dilution should be determined by the investigator.
-
Restrictions
- For Research Use only
-
-
-
Format
- Liquid
-
Buffer
-
Preservative: 0.03 % Proclin 300
Constituents: 50 % Glycerol, 0.01M PBS, pH 7.4 -
Agent conservateur
- ProClin
-
Précaution d'utilisation
- This product contains ProClin: a POISONOUS AND HAZARDOUS SUBSTANCE which should be handled by trained staff only.
-
Stock
- -20 °C,-80 °C
-
Stockage commentaire
- Upon receipt, store at -20°C or -80°C. Avoid repeated freeze.
-
-
- UGT1A9 (UDP Glucuronosyltransferase 1 Family, Polypeptide A9 (UGT1A9))
-
Autre désignation
- UGT1A9
-
Sujet
-
Background: UDPGT is of major importance in the conjugation and subsequent elimination of potentially toxic xenobiotics and endogenous compounds. This isoform has specificity for phenols. Isoform 2 lacks transferase activity but acts as a negative regulator of isoform 1.
Aliases: GNT1 antibody, HLUGP4 antibody, lugP4 antibody, UD19_HUMAN antibody, UDP glucuronosyltransferase 1A9 antibody, UDP glucuronosyltransferase family 1 member A9 antibody, UDP-glucuronosyltransferase 1 family, polypeptide A9 antibody, UDP-glucuronosyltransferase 1-9 antibody, UDP-glucuronosyltransferase 1-I antibody, UDP-glucuronosyltransferase 1A9 antibody, UDPGT 1-9 antibody, UDPGT antibody, UGT-1I antibody, UGT1*9 antibody, UGT1-09 antibody, UGT1.9 antibody, Ugt1a9 antibody, UGT1A9S antibody, UGT1AI antibody, UGT1I antibody
-
UniProt
- O60656
-
Pathways
- Steroid Hormone Biosynthesis, Regulation of Lipid Metabolism by PPARalpha
Antigène
-