Tel:
+49 (0)241 95 163 153
Fax:
+49 (0)241 95 163 155
E-Mail:
orders@anticorps-enligne.fr

Recombinant Cathepsin S anticorps

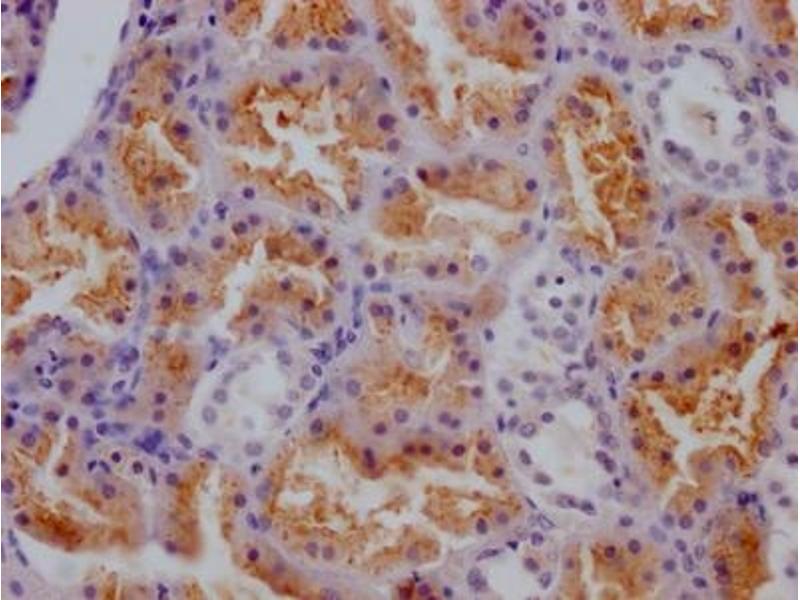
Cet anticorps anti-Cathepsin S Monoclonal Lapin (Clone 9B10) (ABIN7127386) détecte spécifiquement Cathepsin S dans IHC et ELISA. L’anticorps est réactif avec des échantillons de Humain.
N° du produit ABIN7127386
385,00 €
Plus frais de livraison 40,00 € et TVA
Destination: France
Envoi sous 11 à 15 jours ouvrables

Aperçu rapide pour Recombinant Cathepsin S anticorps (ABIN7127386)

Antigène

Voir toutes Cathepsin S (CTSS) Anticorps
Cathepsin S (CTSS)

Type d'anticorp

Recombinant Antibody

Reactivité

  • 66
  • 15
  • 8
  • 4
  • 3
  • 2
  • 2
  • 2
  • 2
  • 1
  • 1
  • 1
Humain

Hôte

  • 69
  • 12
  • 2
  • 1
Lapin

Clonalité

  • 59
  • 25
Monoclonal

Conjugué

  • 48
  • 8
  • 8
  • 3
  • 2
  • 2
  • 2
  • 2
  • 2
  • 2
  • 1
  • 1
  • 1
  • 1
  • 1
Cet anticorp Cathepsin S est non-conjugé

Application

  • 53
  • 40
  • 25
  • 20
  • 17
  • 12
  • 8
  • 5
  • 4
  • 3
  • 2
  • 1
  • 1
  • 1
  • 1
  • 1
Immunohistochemistry (IHC), ELISA

Clone

9B10
  • Fonction

    CTSS Recombinant Monoclonal Antibody

    Purification

    Affinity-chromatography

    Immunogène

    A synthesized peptide derived from human Cathepsin S

    Isotype

    IgG
  • Indications d'application

    IHC:1:50-1:200

    Restrictions

    For Research Use only
  • Format

    Liquid

    Buffer

    phosphate buffered saline, pH 7.4, 150 mM NaCl, 0.02 % sodium azide and 50 % glycerol.

    Agent conservateur

    Sodium azide

    Précaution d'utilisation

    This product contains Sodium azide: a POISONOUS AND HAZARDOUS SUBSTANCE which should be handled by trained staff only.

    Stock

    -20 °C,-80 °C

    Stockage commentaire

    Upon receipt, store at -20°C or -80°C. Avoid repeated freeze.
  • Antigène

    Cathepsin S (CTSS)

    Autre désignation

    CTSS

    Sujet

    Background: Thiol protease. Key protease responsible for the removal of the invariant chain from MHC class II molecules. The bond-specificity of this proteinase is in part similar to the specificities of cathepsin L and cathepsin N.

    Aliases: Cathepsin S (EC 3.4.22.27), CTSS

    UniProt

    P25774

    Pathways

    Activation of Innate immune Response, Toll-Like Receptors Cascades
Vous êtes ici:
Chat with us!