Tel:
+49 (0)241 95 163 153
Fax:
+49 (0)241 95 163 155
E-Mail:
orders@anticorps-enligne.fr

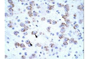
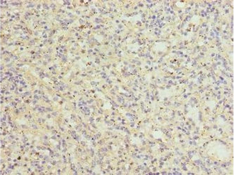
CATSPER2 anticorps (AA 5-112)

Cet anticorps Lapin Polyclonal détecte spécifiquement CATSPER2 dans WB, ELISA, IHC et IF. Il présente une réactivité avec des échantillons de Humain.
N° du produit ABIN7147031
328,90 €
Plus frais de livraison 40,00 € et TVA
Destination: France
Envoi sous 11 à 15 jours ouvrables

Aperçu rapide pour CATSPER2 anticorps (AA 5-112) (ABIN7147031)

Antigène

Voir toutes CATSPER2 Anticorps
CATSPER2 (Cation Channel, Sperm Associated 2 (CATSPER2))

Reactivité

  • 23
  • 6
  • 4
  • 4
  • 3
  • 3
  • 2
  • 2
  • 2
  • 1
  • 1
Humain

Hôte

  • 23
Lapin

Clonalité

  • 23
Polyclonal

Conjugué

  • 14
  • 3
  • 2
  • 2
  • 1
  • 1
Cet anticorp CATSPER2 est non-conjugé

Application

  • 19
  • 12
  • 4
  • 1
  • 1
Western Blotting (WB), ELISA, Immunohistochemistry (IHC), Immunofluorescence (IF)
  • Épitope

    • 9
    • 5
    • 5
    • 3
    • 1
    • 1
    AA 5-112

    Fonction

    CATSPER2 Antibody

    Purification

    Protein G purified

    Pureté

    >95 %

    Immunogène

    Recombinant Human Cation channel sperm-associated protein 2 protein (5-112AA)

    Isotype

    IgG
  • Indications d'application

    Optimal working dilution should be determined by the investigator.

    Restrictions

    For Research Use only
  • Format

    Liquid

    Buffer

    Preservative: 0.03 % Proclin 300
    Constituents: 50 % Glycerol, 0.01M PBS, PH 7.4

    Agent conservateur

    ProClin

    Précaution d'utilisation

    This product contains ProClin: a POISONOUS AND HAZARDOUS SUBSTANCE which should be handled by trained staff only.

    Stock

    -20 °C,-80 °C

    Stockage commentaire

    Upon receipt, store at -20°C or -80°C. Avoid repeated freeze.
  • Antigène

    CATSPER2 (Cation Channel, Sperm Associated 2 (CATSPER2))

    Autre désignation

    CATSPER2

    Sujet

    Background: Voltage-gated calcium channel that plays a central role in calcium-dependent physiological responses essential for successful fertilization, such as sperm hyperactivation, acrosome reaction and chemotaxis towards the oocyte. Activated by extracellular progesterone and prostaglandins following the sequence: progesterone > PGF1-alpha = PGE1 > PGA1 > PGE2 >> PGD2. The primary effect of progesterone activation is to shift voltage dependence towards more physiological, negative membrane potentials, it is not mediated by metabotropic receptors and second messengers. Sperm capacitation enhances the effect of progesterone by providing additional negative shift. Also activated by the elevation of intracellular pH .

    Aliases: CATSPER2 antibody, Cation channel sperm-associated protein 2 antibody, CatSper2 antibody

    UniProt

    Q96P56
Vous êtes ici:
Chat with us!