Tel:
+49 (0)241 95 163 153
Fax:
+49 (0)241 95 163 155
E-Mail:
orders@anticorps-enligne.fr

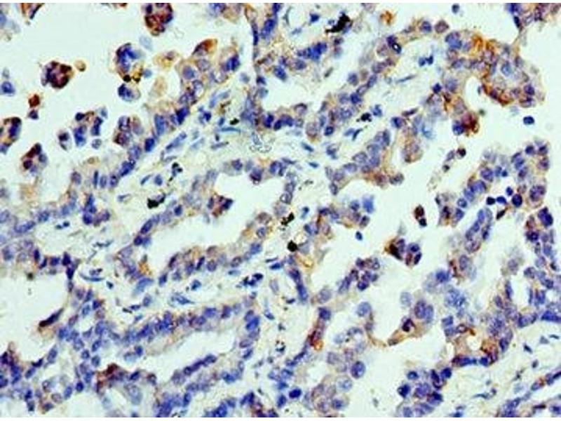
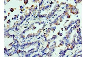
CLTA anticorps (AA 1-218)

Cet anticorps anti-CLTA Polyclonal Lapin (ABIN7147858) détecte spécifiquement CLTA dans IHC et ELISA. L’anticorps est réactif avec des échantillons de Humain.
N° du produit ABIN7147858
328,90 €
Plus frais de livraison 40,00 € et TVA
Destination: France
Envoi sous 11 à 15 jours ouvrables

Aperçu rapide pour CLTA anticorps (AA 1-218) (ABIN7147858)

Antigène

Voir toutes CLTA Anticorps
CLTA (Clathrin, Light Chain A (CLTA))

Reactivité

  • 23
  • 7
  • 5
  • 2
  • 2
  • 2
  • 2
  • 2
  • 1
  • 1
  • 1
  • 1
Humain

Hôte

  • 20
  • 3
  • 1
Lapin

Clonalité

  • 21
  • 3
Polyclonal

Conjugué

  • 19
  • 1
  • 1
  • 1
  • 1
  • 1
Cet anticorp CLTA est non-conjugé

Application

  • 24
  • 10
  • 9
  • 4
  • 3
  • 2
  • 2
  • 2
  • 1
Immunohistochemistry (IHC), ELISA
  • Épitope

    • 7
    • 3
    • 3
    • 1
    • 1
    • 1
    • 1
    • 1
    AA 1-218

    Fonction

    CLTA Antibody

    Purification

    Antigen Affinity Purified

    Immunogène

    Recombinant Human Clathrin light chain A protein (1-218AA)

    Isotype

    IgG
  • Indications d'application

    Optimal working dilution should be determined by the investigator.

    Restrictions

    For Research Use only
  • Format

    Liquid

    Buffer

    PBS with 0.02 % sodium azide, 50 % glycerol, pH 7.3.

    Agent conservateur

    Sodium azide

    Précaution d'utilisation

    This product contains Sodium azide: a POISONOUS AND HAZARDOUS SUBSTANCE which should be handled by trained staff only.

    Stock

    -20 °C,-80 °C

    Stockage commentaire

    Upon receipt, store at -20°C or -80°C. Avoid repeated freeze.
  • Antigène

    CLTA (Clathrin, Light Chain A (CLTA))

    Autre désignation

    CLTA

    Sujet

    Background: Clathrin is the major protein of the polyhedral coat of coated pits and vesicles.

    Aliases: Clathrin light chain A antibody, Clathrin light chain B antibody, Clathrin light chain LCA antibody, Clathrin light chain LCB antibody, Clathrin light polypeptide A antibody, Clathrin light polypeptide antibody, Clathrin light polypeptide B antibody, Clathrin light polypeptide LCA antibody, Clathrin light polypeptide LCB antibody, Clathrin, light chain (Lcb) antibody, Clathrin, light polypeptide (Lca) antibody, Clathrin, light polypeptide (Lcb) antibody, CLCA_HUMAN antibody, CLTA antibody, CLTB antibody, Lca antibody, LCB antibody

    UniProt

    P09496

    Pathways

    EGFR Signaling Pathway, Neurotrophin Signaling Pathway, EGFR Downregulation
Vous êtes ici:
Chat with us!