Tel:
+49 (0)241 95 163 153
Fax:
+49 (0)241 95 163 155
E-Mail:
orders@anticorps-enligne.fr

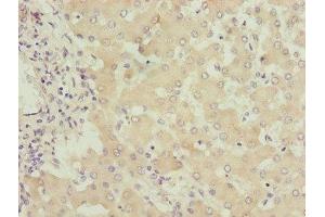
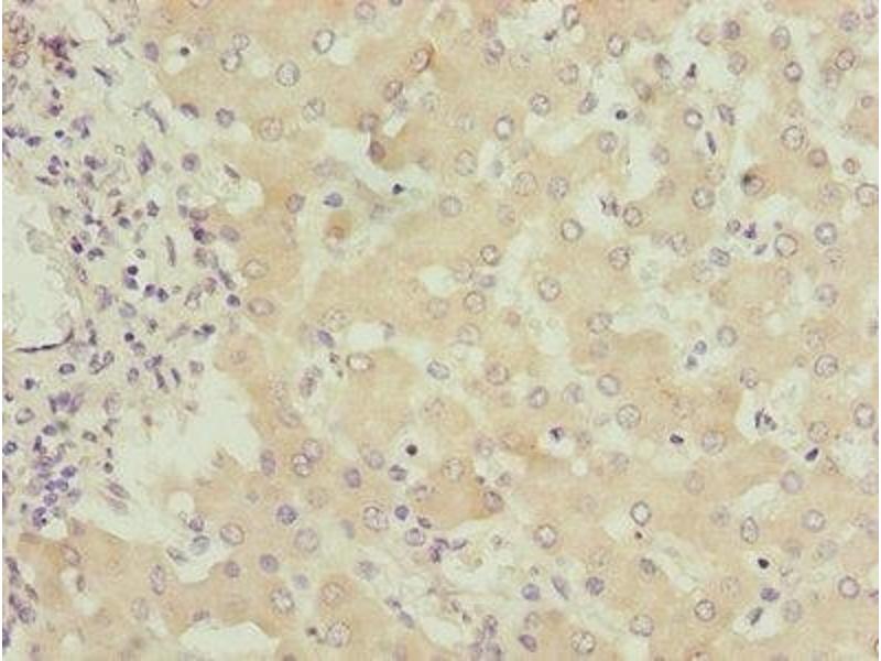
FMO4 anticorps (AA 1-300)

L’anticorps anti-FMO4 Polyclonal Lapin est utilisé pour la détection de FMO4 dans des échantillons de Humain. Il a été validé pour ELISA, IHC et IF.
N° du produit ABIN7149960
328,90 €
Plus frais de livraison 40,00 € et TVA
Destination: France
Envoi sous 11 à 15 jours ouvrables

Aperçu rapide pour FMO4 anticorps (AA 1-300) (ABIN7149960)

Antigène

Voir toutes FMO4 Anticorps
FMO4 (Flavin Containing Monooxygenase 4 (FMO4))

Reactivité

  • 22
  • 15
  • 8
  • 4
  • 4
  • 4
  • 4
  • 3
  • 1
  • 1
  • 1
Humain

Hôte

  • 28
  • 2
Lapin

Clonalité

  • 30
Polyclonal

Conjugué

  • 12
  • 3
  • 2
  • 2
  • 1
  • 1
  • 1
  • 1
  • 1
  • 1
  • 1
  • 1
  • 1
  • 1
  • 1
Cet anticorp FMO4 est non-conjugé

Application

  • 26
  • 13
  • 13
  • 6
  • 4
  • 3
  • 2
  • 1
ELISA, Immunohistochemistry (IHC), Immunofluorescence (IF)
  • Épitope

    • 15
    • 4
    • 3
    • 2
    • 2
    • 2
    • 1
    • 1
    • 1
    AA 1-300

    Fonction

    FMO4 Antibody

    Purification

    Protein G purified

    Pureté

    >95 %

    Immunogène

    Recombinant Human Dimethylaniline monooxygenase [N-oxide-forming] 4 protein (1-300AA)

    Isotype

    IgG
  • Indications d'application

    Optimal working dilution should be determined by the investigator.

    Restrictions

    For Research Use only
  • Format

    Liquid

    Buffer

    Preservative: 0.03 % Proclin 300
    Constituents: 50 % Glycerol, 0.01M PBS, PH 7.4

    Agent conservateur

    ProClin

    Précaution d'utilisation

    This product contains ProClin: a POISONOUS AND HAZARDOUS SUBSTANCE which should be handled by trained staff only.

    Stock

    -20 °C,-80 °C

    Stockage commentaire

    Upon receipt, store at -20°C or -80°C. Avoid repeated freeze.
  • Antigène

    FMO4 (Flavin Containing Monooxygenase 4 (FMO4))

    Autre désignation

    FMO4

    Sujet

    Background: This protein is involved in the oxidative metabolism of a variety of xenobiotics such as drugs and pesticides.

    Aliases: Dimethylaniline monooxygenase [N oxide forming] 4 antibody, Dimethylaniline monooxygenase [N-oxide-forming] 4 antibody, Dimethylaniline monooxygenase 4 antibody, Dimethylaniline oxidase 4 antibody, FMO 2 antibody, FMO 4 antibody, FMO2 antibody, Fmo4 antibody, FMO4_HUMAN antibody, Hepatic flavin containing monooxygenase 4 antibody, Hepatic flavin-containing monooxygenase 4 antibody, OTTHUMP00000060454 antibody

    UniProt

    P31512
Vous êtes ici:
Chat with us!