Tel:
+49 (0)241 95 163 153
Fax:
+49 (0)241 95 163 155
E-Mail:
orders@anticorps-enligne.fr

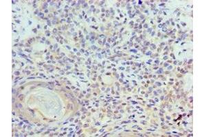
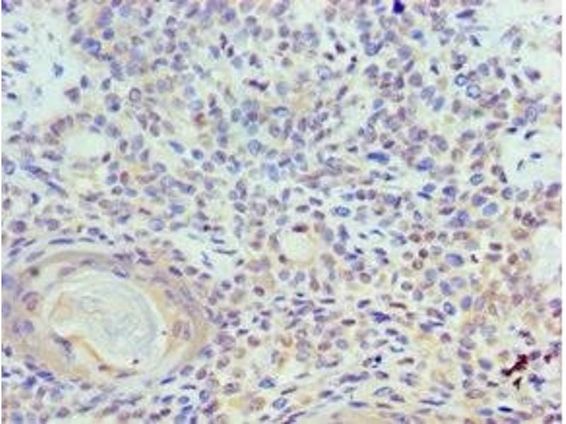
TOPBP1 anticorps (AA 1253-1522)

L’anticorps anti-TOPBP1 Polyclonal Lapin est utilisé pour la détection de TOPBP1 dans des échantillons de Humain. Il a été validé pour IHC et ELISA.
N° du produit ABIN7150350
328,90 €
Plus frais de livraison 40,00 € et TVA
Destination: France
Envoi sous 11 à 15 jours ouvrables

Aperçu rapide pour TOPBP1 anticorps (AA 1253-1522) (ABIN7150350)

Antigène

Voir toutes TOPBP1 Anticorps
TOPBP1 (Topoisomerase (DNA) II Binding Protein 1 (TOPBP1))

Reactivité

  • 39
  • 14
  • 11
Humain

Hôte

  • 36
  • 4
  • 2
Lapin

Clonalité

  • 39
  • 3
Polyclonal

Conjugué

  • 25
  • 3
  • 2
  • 2
  • 2
  • 2
  • 1
  • 1
  • 1
  • 1
  • 1
  • 1
Cet anticorp TOPBP1 est non-conjugé

Application

  • 24
  • 18
  • 10
  • 8
  • 7
  • 6
  • 3
  • 1
Immunohistochemistry (IHC), ELISA
  • Épitope

    • 14
    • 7
    • 3
    • 2
    • 2
    • 2
    • 2
    • 1
    • 1
    • 1
    • 1
    • 1
    • 1
    • 1
    • 1
    • 1
    • 1
    • 1
    AA 1253-1522

    Fonction

    TOPBP1 Antibody

    Purification

    Antigen Affinity Purified

    Immunogène

    Recombinant Human DNA topoisomerase 2-binding protein 1 protein (1253-1522AA)

    Isotype

    IgG
  • Indications d'application

    Optimal working dilution should be determined by the investigator.

    Restrictions

    For Research Use only
  • Format

    Liquid

    Buffer

    PBS with 0.02 % sodium azide, 50 % glycerol, pH 7.3.

    Agent conservateur

    Sodium azide

    Précaution d'utilisation

    This product contains Sodium azide: a POISONOUS AND HAZARDOUS SUBSTANCE which should be handled by trained staff only.

    Stock

    -20 °C,-80 °C

    Stockage commentaire

    Upon receipt, store at -20°C or -80°C. Avoid repeated freeze.
  • Antigène

    TOPBP1 (Topoisomerase (DNA) II Binding Protein 1 (TOPBP1))

    Autre désignation

    TOPBP1

    Sujet

    Background: Required for DNA replication. Plays a role in the rescue of stalled replication forks and checkpoint control. Binds double-stranded DNA breaks and nicks as well as single-stranded DNA. Recruits the SWI/SNF chromatin remodeling complex to E2F1-responsive promoters. Down-regulates E2F1 activity and inhibits E2F1-dependent apoptosis during G1/S transition and after DNA damage. Induces a large increase in the kinase activity of ATR.

    Aliases: DNA topoisomerase 2 binding protein 1 antibody, DNA topoisomerase 2-binding protein 1 antibody, DNA topoisomerase II binding protein 1 antibody, DNA topoisomerase II binding protein antibody, DNA topoisomerase II-beta-binding protein 1 antibody, DNA topoisomerase II-binding protein 1 antibody, DNA topoisomerase IIbeta binding protein 1 antibody, Hypothetical protein KIAA0259 [Fragment] antibody, KIAA0259 antibody, TOP2BP1 antibody, TOPB1_HUMAN antibody, TOPBP 1 antibody, TopBP1 antibody, Topoisomerase (DNA) II binding protein 1 antibody, Topoisomerase II binding protein 1 antibody

    UniProt

    Q92547

    Pathways

    Chromatin Binding
Vous êtes ici:
Chat with us!