Tel:
+49 (0)241 95 163 153
Fax:
+49 (0)241 95 163 155
E-Mail:
orders@anticorps-enligne.fr

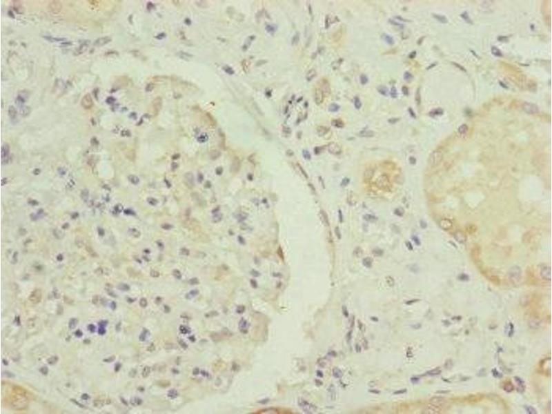
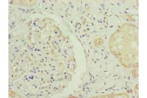
RNF139 anticorps (AA 510-664)

L’anticorps anti-RNF139 Polyclonal Lapin est utilisé pour la détection de RNF139 dans des échantillons de Humain. Il a été validé pour ELISA et IHC.
N° du produit ABIN7151154
328,90 €
Plus frais de livraison 40,00 € et TVA
Destination: France
Envoi sous 11 à 15 jours ouvrables

Aperçu rapide pour RNF139 anticorps (AA 510-664) (ABIN7151154)

Antigène

Voir toutes RNF139 Anticorps
RNF139 (Ring Finger Protein 139 (RNF139))

Reactivité

  • 19
  • 18
  • 4
  • 2
  • 2
  • 2
  • 2
  • 1
  • 1
  • 1
  • 1
Humain

Hôte

  • 29
  • 4
  • 1
Lapin

Clonalité

  • 31
  • 3
Polyclonal

Conjugué

  • 13
  • 2
  • 1
  • 1
  • 1
  • 1
  • 1
  • 1
  • 1
  • 1
  • 1
  • 1
  • 1
  • 1
  • 1
  • 1
  • 1
  • 1
  • 1
  • 1
  • 1
Cet anticorp RNF139 est non-conjugé

Application

  • 26
  • 13
  • 13
  • 9
  • 5
  • 4
  • 3
ELISA, Immunohistochemistry (IHC)
  • Épitope

    • 15
    • 2
    • 2
    • 2
    • 1
    • 1
    • 1
    • 1
    AA 510-664

    Fonction

    RNF139 Antibody

    Purification

    Antigen Affinity Purified

    Immunogène

    Recombinant Human E3 ubiquitin-protein ligase RNF139 protein (510-664AA)

    Isotype

    IgG
  • Indications d'application

    Optimal working dilution should be determined by the investigator.

    Restrictions

    For Research Use only
  • Format

    Liquid

    Buffer

    PBS with 0.02 % sodium azide, 50 % glycerol, pH 7.3.

    Agent conservateur

    Sodium azide

    Précaution d'utilisation

    This product contains Sodium azide: a POISONOUS AND HAZARDOUS SUBSTANCE which should be handled by trained staff only.

    Stock

    -20 °C,-80 °C

    Stockage commentaire

    Upon receipt, store at -20°C or -80°C. Avoid repeated freeze.
  • Antigène

    RNF139 (Ring Finger Protein 139 (RNF139))

    Autre désignation

    RNF139

    Sujet

    Background: E3-ubiquitin ligase, acts as a negative regulator of the cell proliferation through mechanisms involving G2/M arrest and cell death. Required for MHC class I ubiquitination in cells expressing the cytomegalovirus protein US2 before dislocation from the endoplasmic reticulum (ER). Affects SREBP processing by hindering the SREBP/SCAP complex translocation from the ER to the Golgi, thereby reducing SREBF2 target gene expression. Required for INSIG1 ubiquitination. May be required for EIF3 complex ubiquitination. May function as a signaling receptor.

    Aliases: RNF139 antibody, TRC8 antibody, E3 ubiquitin-protein ligase RNF139 antibody, EC 2.3.2.27 antibody, RING finger protein 139 antibody, RING-type E3 ubiquitin transferase RNF139 antibody, Translocation in renal carcinoma on chromosome 8 protein antibody

    UniProt

    Q8WU17
Vous êtes ici:
Chat with us!