Tel:
+49 (0)241 95 163 153
Fax:
+49 (0)241 95 163 155
E-Mail:
orders@anticorps-enligne.fr

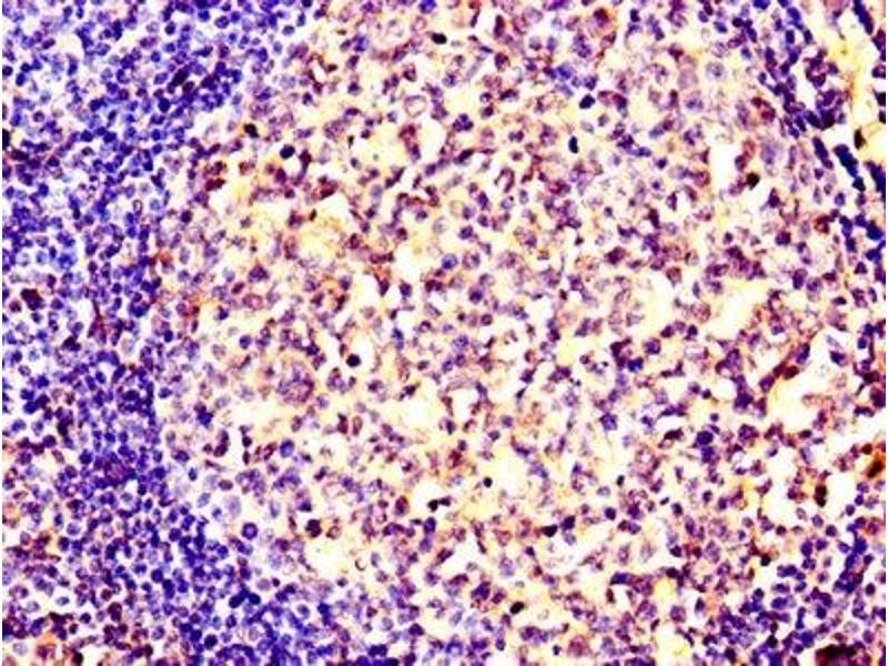
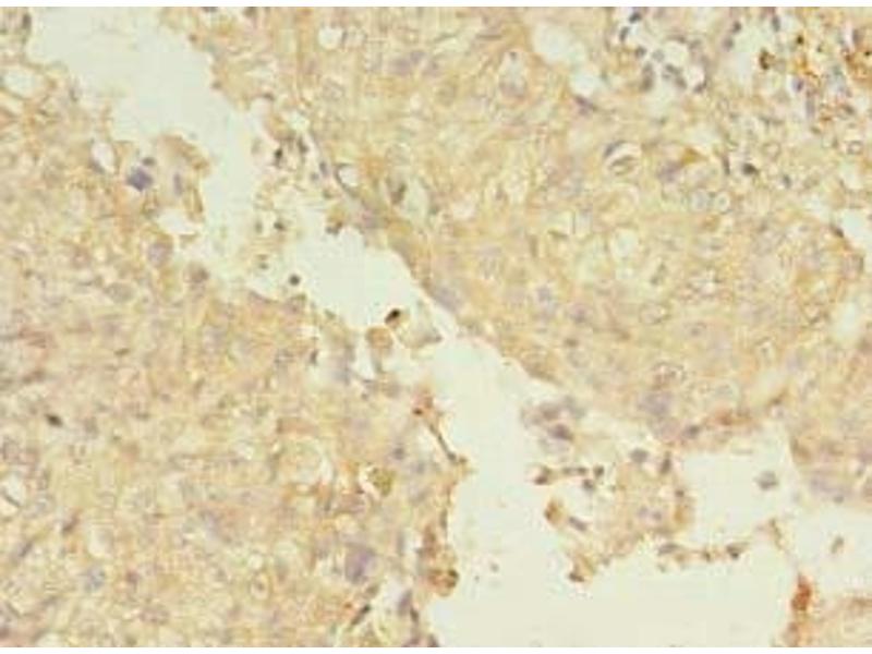
SMURF2 anticorps (AA 1-748)

L’anticorps anti-SMURF2 Polyclonal Lapin est utilisé pour la détection de SMURF2 dans des échantillons de Humain. Il a été validé pour ELISA et IHC.
N° du produit ABIN7151226
328,90 €
Plus frais de livraison 40,00 € et TVA
Destination: France
Envoi sous 11 à 15 jours ouvrables

Aperçu rapide pour SMURF2 anticorps (AA 1-748) (ABIN7151226)

Antigène

Voir toutes SMURF2 Anticorps
SMURF2 (SMAD Specific E3 Ubiquitin Protein Ligase 2 (SMURF2))

Reactivité

  • 70
  • 38
  • 24
Humain

Hôte

  • 65
  • 6
Lapin

Clonalité

  • 56
  • 15
Polyclonal

Conjugué

  • 24
  • 6
  • 6
  • 5
  • 4
  • 3
  • 2
  • 2
  • 2
  • 2
  • 2
  • 2
  • 1
  • 1
  • 1
  • 1
  • 1
  • 1
  • 1
  • 1
  • 1
  • 1
  • 1
Cet anticorp SMURF2 est non-conjugé

Application

  • 53
  • 28
  • 24
  • 15
  • 13
  • 13
  • 13
  • 11
  • 7
  • 3
  • 2
  • 1
ELISA, Immunohistochemistry (IHC)
  • Épitope

    • 16
    • 8
    • 7
    • 7
    • 4
    • 3
    • 2
    • 2
    • 1
    • 1
    • 1
    • 1
    • 1
    AA 1-748

    Fonction

    SMURF2 Antibody

    Purification

    Protein G purified

    Pureté

    >95 %

    Immunogène

    Recombinant Human E3 ubiquitin-protein ligase SMURF2 protein (1-748AA)

    Isotype

    IgG
  • Indications d'application

    Optimal working dilution should be determined by the investigator.

    Restrictions

    For Research Use only
  • Format

    Liquid

    Buffer

    Preservative: 0.03 % Proclin 300
    Constituents: 50 % Glycerol, 0.01M PBS, PH 7.4

    Agent conservateur

    ProClin

    Précaution d'utilisation

    This product contains ProClin: a POISONOUS AND HAZARDOUS SUBSTANCE which should be handled by trained staff only.

    Stock

    -20 °C,-80 °C

    Stockage commentaire

    Upon receipt, store at -20°C or -80°C. Avoid repeated freeze.
  • Antigène

    SMURF2 (SMAD Specific E3 Ubiquitin Protein Ligase 2 (SMURF2))

    Autre désignation

    SMURF2

    Sujet

    Background: E3 ubiquitin-protein ligase which accepts ubiquitin from an E2 ubiquitin-conjugating enzyme in the form of a thioester and then directly transfers the ubiquitin to targeted substrates. Interacts with SMAD1 and SMAD7 in order to trigger their ubiquitination and proteasome-dependent degradation. In addition, interaction with SMAD7 activates autocatalytic degradation, which is prevented by interaction with SCYE1. Forms a stable complex with the TGF-beta receptor-mediated phosphorylated SMAD2 and SMAD3. In this way, SMAD2 may recruit substrates, such as SNON, for ubiquitin-mediated degradation. Enhances the inhibitory activity of SMAD7 and reduces the transcriptional activity of SMAD2. Coexpression of SMURF2 with SMAD1 results in considerable decrease in steady-state level of SMAD1 protein and a smaller decrease of SMAD2 level.

    Aliases: E3 ubiquitin-protein ligase SMURF2 antibody, EC 6.3.2. antibody, hSMURF2 antibody, MGC138150 antibody, Smad specific E3 ubiquitin ligase 2 antibody, SMAD specific E3 ubiquitin protein ligase 2 antibody, SMAD ubiquitination regulatory factor 2 antibody, SMAD-specific E3 ubiquitin-protein ligase 2 antibody, SMUF2_HUMAN antibody, Smurf2 antibody, Ubiquitin protein ligase SMURF2 antibody

    UniProt

    Q9HAU4
Vous êtes ici:
Chat with us!