Tel:
+49 (0)241 95 163 153
Fax:
+49 (0)241 95 163 155
E-Mail:
orders@anticorps-enligne.fr

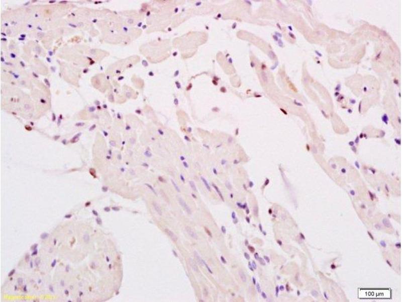
SMURF2 anticorps (AA 601-700)

Cet anticorps Lapin Polyclonal détecte spécifiquement SMURF2 dans WB, ELISA, IHC (p), FACS, IF (cc), IF (p) et IHC (fro). Il présente une réactivité avec des échantillons de Humain, Souris et Rat.Il a été cité dans 1 publication.
N° du produit ABIN753178
357,70 €
Plus frais de livraison 40,00 € et TVA
100 μL
Destination: France
Envoi sous 8 à 12 jours ouvrables

Aperçu rapide pour SMURF2 anticorps (AA 601-700) (ABIN753178)

Antigène

Voir toutes SMURF2 Anticorps
SMURF2 (SMAD Specific E3 Ubiquitin Protein Ligase 2 (SMURF2))

Reactivité

Humain, Souris, Rat

Hôte

  • 65
  • 6
Lapin

Clonalité

  • 56
  • 15
Polyclonal

Conjugué

  • 24
  • 6
  • 6
  • 5
  • 4
  • 3
  • 2
  • 2
  • 2
  • 2
  • 2
  • 2
  • 1
  • 1
  • 1
  • 1
  • 1
  • 1
  • 1
  • 1
  • 1
  • 1
  • 1
Cet anticorp SMURF2 est non-conjugé

Application

  • 52
  • 28
  • 25
  • 14
  • 13
  • 12
  • 12
  • 10
  • 7
  • 2
  • 2
  • 1
Western Blotting (WB), ELISA, Immunohistochemistry (Paraffin-embedded Sections) (IHC (p)), Flow Cytometry (FACS), Immunofluorescence (Cultured Cells) (IF (cc)), Immunofluorescence (Paraffin-embedded Sections) (IF (p)), Immunohistochemistry (Frozen Sections) (IHC (fro))
  • Épitope

    • 15
    • 8
    • 7
    • 7
    • 5
    • 3
    • 2
    • 2
    • 1
    • 1
    • 1
    • 1
    • 1
    AA 601-700

     Réactivité croisée

    Humain, Souris, Rat

    Homologie

    Cow,Horse,Chicken

    Purification

    Purified by Protein A.

    Immunogène

    KLH conjugated synthetic peptide derived from human SMURF2

    Isotype

    IgG
  • Indications d'application

    WB 1:300-5000
    ELISA 1:500-1000
    FCM 1:20-100
    IHC-P 1:200-400
    IHC-F 1:100-500
    IF(IHC-P) 1:50-200
    IF(IHC-F) 1:50-200
    IF(ICC) 1:50-200

    Restrictions

    For Research Use only
  • Format

    Liquid

    Concentration

    1 μg/μL

    Buffer

    0.01M TBS( pH 7.4) with 1 % BSA, 0.02 % Proclin300 and 50 % Glycerol.

    Agent conservateur

    ProClin

    Précaution d'utilisation

    This product contains ProClin: a POISONOUS AND HAZARDOUS SUBSTANCE, which should be handled by trained staff only.

    Stock

    4 °C,-20 °C

    Stockage commentaire

    Shipped at 4°C. Store at -20°C for one year. Avoid repeated freeze/thaw cycles.

    Date de péremption

    12 months
  • Huang, Yang, Nan, Gao, Feng, Gou, Chen, Zhang, Yan, Peng, Xu: "The proteasome inhibitor, MG132, attenuates diabetic nephropathy by inhibiting SnoN degradation in vivo and in vitro." dans: BioMed research international, Vol. 2014, pp. 684765, (2015) (PubMed).

  • Antigène

    SMURF2 (SMAD Specific E3 Ubiquitin Protein Ligase 2 (SMURF2))

    Autre désignation

    SMURF2

    Sujet

    Synonyms: E3 ubiquitin-protein ligase SMURF2, hSMURF2, SMAD ubiquitination regulatory factor 2, SMAD-specific E3 ubiquitin-protein ligase 2, SMURF2

    Background: E3 ubiquitin-protein ligase which accepts ubiquitin from an E2 ubiquitin-conjugating enzyme in the form of a thioester and then directly transfers the ubiquitin to targeted substrates. Interacts with SMAD1 and SMAD7 in order to trigger their ubiquitination and proteasome-dependent degradation. In addition, interaction with SMAD7 activates autocatalytic degradation, which is prevented by interaction with SCYE1. Forms a stable complex with the TGF-beta receptor-mediated phosphorylated SMAD2 and SMAD3. In this way, SMAD2 may recruit substrates, such as SNON, for ubiquitin-mediated degradation. Enhances the inhibitory activity of SMAD7 and reduces the transcriptional activity of SMAD2. Coexpression of SMURF2 with SMAD1 results in considerable decrease in steady-state level of SMAD1 protein and a smaller decrease of SMAD2 level.

    ID gène

    64750

    UniProt

    Q9HAU4
Vous êtes ici:
Chat with us!