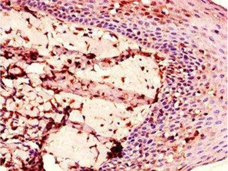
ENTPD8 anticorps (AA 30-434)
Aperçu rapide pour ENTPD8 anticorps (AA 30-434) (ABIN7151381)
Antigène
Voir toutes ENTPD8 AnticorpsReactivité
Hôte
Clonalité
Conjugué
Application
-
-
Épitope
- AA 30-434
-
Fonction
- ENTPD8 Antibody
-
Réactivité croisée
- Souris
-
Purification
- Protein G purified
-
Pureté
- >95 %
-
Immunogène
- Recombinant Human Ectonucleoside triphosphate diphosphohydrolase 8 protein (30-434AA)
-
Isotype
- IgG
-
-
-
-
Indications d'application
- Optimal working dilution should be determined by the investigator.
-
Restrictions
- For Research Use only
-
-
-
Format
- Liquid
-
Buffer
-
Preservative: 0.03 % Proclin 300
Constituents: 50 % Glycerol, 0.01M PBS, PH 7.4 -
Agent conservateur
- ProClin
-
Précaution d'utilisation
- This product contains ProClin: a POISONOUS AND HAZARDOUS SUBSTANCE which should be handled by trained staff only.
-
Stock
- -20 °C,-80 °C
-
Stockage commentaire
- Upon receipt, store at -20°C or -80°C. Avoid repeated freeze.
-
-
- ENTPD8 (Ectonucleoside Triphosphate diphosphohydrolase 8 (ENTPD8))
-
Autre désignation
- ENTPD8
-
Sujet
-
Background: Canalicular ectonucleoside NTPDase responsible for the main hepatic NTPDase activity. Ectonucleoside NTPDases catalyze the hydrolysis of gamma- and beta-phosphate residues of nucleotides, playing a central role in concentration of extracellular nucleotides. Has activity toward ATP, ADP, UTP and UDP, but not toward AMP.
Aliases: ENTPD8 antibody, UNQ2492/PRO5779Ectonucleoside triphosphate diphosphohydrolase 8 antibody, E-NTPDase 8 antibody, NTPDase 8 antibody, NTPDase8 antibody, EC 3.6.1.5 antibody
-
UniProt
- Q5MY95
Antigène
-