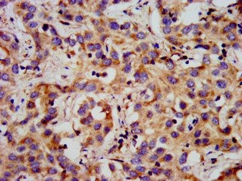
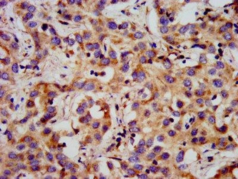
G Protein-Coupled Receptor 1 anticorps (AA 308-355)
Aperçu rapide pour G Protein-Coupled Receptor 1 anticorps (AA 308-355) (ABIN7153315)
Antigène
Voir toutes G Protein-Coupled Receptor 1 (GPR1) AnticorpsReactivité
Hôte
Clonalité
Conjugué
Application
-
-
Épitope
- AA 308-355
-
Fonction
- GPR1 Antibody
-
Purification
- Protein G purified
-
Pureté
- >95 %
-
Immunogène
- Recombinant Human G-protein coupled receptor 1 protein (308-355AA)
-
Isotype
- IgG
-
-
-
-
Indications d'application
- Optimal working dilution should be determined by the investigator.
-
Restrictions
- For Research Use only
-
-
-
Format
- Liquid
-
Buffer
-
Preservative: 0.03 % Proclin 300
Constituents: 50 % Glycerol, 0.01M PBS, pH 7.4 -
Agent conservateur
- ProClin
-
Précaution d'utilisation
- This product contains ProClin: a POISONOUS AND HAZARDOUS SUBSTANCE which should be handled by trained staff only.
-
Stock
- -20 °C,-80 °C
-
Stockage commentaire
- Upon receipt, store at -20°C or -80°C. Avoid repeated freeze.
-
-
- G Protein-Coupled Receptor 1 (GPR1)
-
Autre désignation
- GPR1
-
Sujet
-
Background: Receptor for the inflammation-associated leukocyte chemoattractant chemerin/RARRES2 suggesting a role for this receptor in the regulation of inflammation. Can act as a coreceptor for HIV-1.
Aliases: G protein coupled receptor 1 antibody, G-protein coupled receptor 1 antibody, GPR1 antibody, GPR1_HUMAN antibody, Probable G protein coupled receptor 1 antibody
-
UniProt
- P46091
-
Pathways
- Steroid Hormone Mediated Signaling Pathway, Regulation of Carbohydrate Metabolic Process
Antigène
-