Tel:
+49 (0)241 95 163 153
Fax:
+49 (0)241 95 163 155
E-Mail:
orders@anticorps-enligne.fr

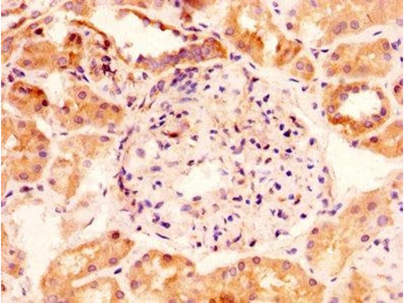
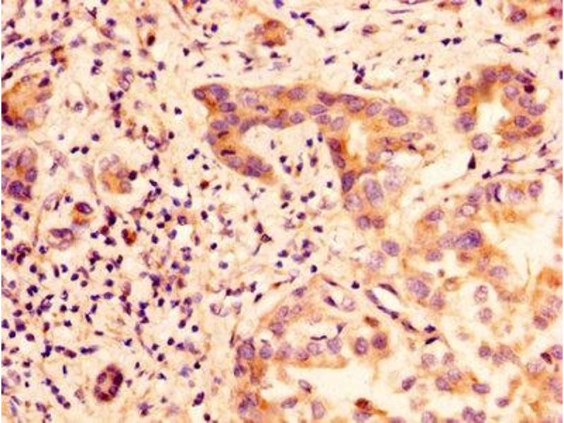
GLIPR1 anticorps (AA 22-232)

L’anticorps anti-GLIPR1 Polyclonal Lapin est utilisé pour la détection de GLIPR1 dans des échantillons de Humain. Il a été validé pour ELISA, IHC et IF.
N° du produit ABIN7153857
328,90 €
Plus frais de livraison 40,00 € et TVA
Destination: France
Envoi sous 11 à 15 jours ouvrables

Aperçu rapide pour GLIPR1 anticorps (AA 22-232) (ABIN7153857)

Antigène

Voir toutes GLIPR1 Anticorps
GLIPR1 (GLI Pathogenesis-Related 1 (GLIPR1))

Reactivité

  • 19
  • 11
Humain

Hôte

  • 18
  • 3
  • 1
  • 1
Lapin

Clonalité

  • 21
  • 2
Polyclonal

Conjugué

  • 9
  • 3
  • 3
  • 2
  • 1
  • 1
  • 1
  • 1
  • 1
  • 1
Cet anticorp GLIPR1 est non-conjugé

Application

  • 11
  • 9
  • 3
  • 1
  • 1
ELISA, Immunohistochemistry (IHC), Immunofluorescence (IF)
  • Épitope

    • 4
    • 3
    • 2
    • 1
    • 1
    • 1
    • 1
    • 1
    AA 22-232

    Fonction

    GLIPR1 Antibody

    Purification

    Protein G purified

    Pureté

    >95 %

    Immunogène

    Recombinant Human Glioma pathogenesis-related protein 1 protein (22-232AA)

    Isotype

    IgG
  • Indications d'application

    Optimal working dilution should be determined by the investigator.

    Restrictions

    For Research Use only
  • Format

    Liquid

    Buffer

    Preservative: 0.03 % Proclin 300
    Constituents: 50 % Glycerol, 0.01M PBS, PH 7.4

    Agent conservateur

    ProClin

    Précaution d'utilisation

    This product contains ProClin: a POISONOUS AND HAZARDOUS SUBSTANCE which should be handled by trained staff only.

    Stock

    -20 °C,-80 °C

    Stockage commentaire

    Upon receipt, store at -20°C or -80°C. Avoid repeated freeze.
  • Antigène

    GLIPR1 (GLI Pathogenesis-Related 1 (GLIPR1))

    Autre désignation

    GLIPR1

    Sujet

    Background: Glioma pathogenesis-related protein 1 (GLIPR1) regulated numerous apoptotic, cell cycle, and spindle/centrosome assembly-related genes, including AURKA and TPX2, and induced apoptosis and/or mitotic catastrophe (MC) in prostate cancer (PCa) cells, including p53-mutated/deleted, androgen-insensitive metastatic PCa cells.

    Aliases: CRISP 7 antibody, CRISP7 antibody, GLI pathogenesis related 1 antibody, GLI pathogenesis-related 1 (glioma) antibody, Glioma pathogenesis related protein 1 antibody, Glioma pathogenesis-related protein 1 antibody, GLIP1_HUMAN antibody, GliPR 1 antibody, GLIPR antibody, GLIPR1 antibody, Protein RTVP-1 antibody, RELATED TO TESTIS SPECIFIC, VESPID, AND PATHOGENESIS PROTEINS 1 antibody, RTVP 1 antibody, RTVP1 antibody, Testes specific vespid and pathogenesis protein 1 antibody, testes-specific vespid and pathogenesis protein 1 antibody

    UniProt

    P48060

    Pathways

    Regulation of Lipid Metabolism by PPARalpha
Vous êtes ici:
Chat with us!