Tel:
+49 (0)241 95 163 153
Fax:
+49 (0)241 95 163 155
E-Mail:
orders@anticorps-enligne.fr

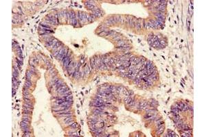
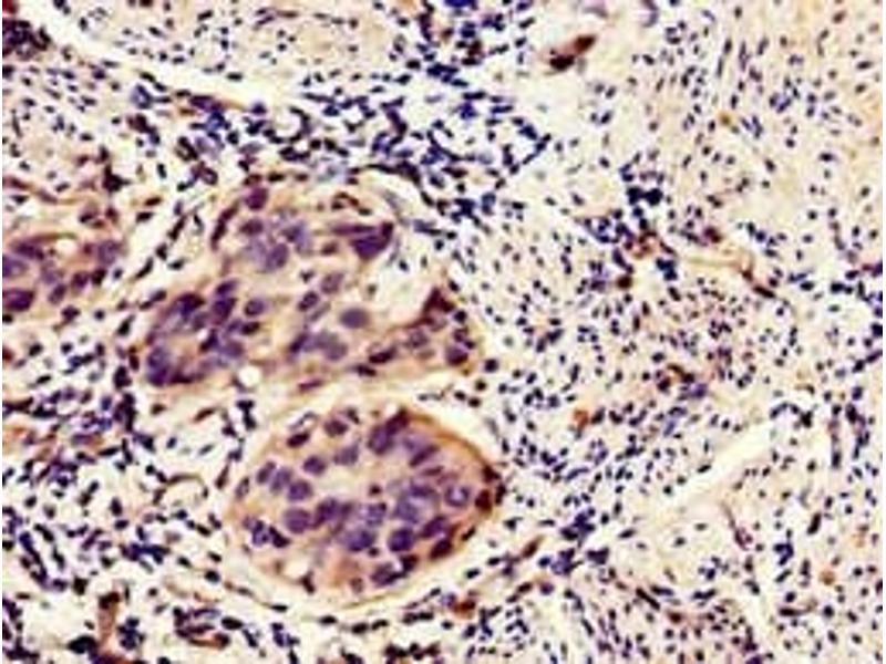
HIPK3 anticorps (AA 841-1130)

Cet anticorps Lapin Polyclonal détecte spécifiquement HIPK3 dans ELISA, IHC et IF. Il présente une réactivité avec des échantillons de Humain.
N° du produit ABIN7155869
328,90 €
Plus frais de livraison 40,00 € et TVA
Destination: France
Envoi sous 11 à 15 jours ouvrables

Aperçu rapide pour HIPK3 anticorps (AA 841-1130) (ABIN7155869)

Antigène

Voir toutes HIPK3 Anticorps
HIPK3 (Homeodomain Interacting Protein Kinase 3 (HIPK3))

Reactivité

  • 46
  • 5
  • 3
Humain

Hôte

  • 48
Lapin

Clonalité

  • 48
Polyclonal

Conjugué

  • 15
  • 5
  • 4
  • 3
  • 2
  • 2
  • 1
  • 1
  • 1
  • 1
  • 1
  • 1
  • 1
  • 1
  • 1
  • 1
  • 1
  • 1
  • 1
  • 1
  • 1
  • 1
  • 1
Cet anticorp HIPK3 est non-conjugé

Application

  • 21
  • 17
  • 17
  • 13
  • 13
  • 7
  • 3
  • 3
  • 2
  • 1
  • 1
ELISA, Immunohistochemistry (IHC), Immunofluorescence (IF)
  • Épitope

    • 15
    • 8
    • 5
    • 5
    • 4
    • 2
    • 1
    • 1
    • 1
    AA 841-1130

    Fonction

    HIPK3 Antibody

    Purification

    Protein G purified

    Pureté

    >95 %

    Immunogène

    Recombinant Human Homeodomain-interacting protein kinase 3 protein (841-1130AA)

    Isotype

    IgG
  • Indications d'application

    Optimal working dilution should be determined by the investigator.

    Restrictions

    For Research Use only
  • Format

    Liquid

    Buffer

    Preservative: 0.03 % Proclin 300
    Constituents: 50 % Glycerol, 0.01M PBS, pH 7.4

    Agent conservateur

    ProClin

    Précaution d'utilisation

    This product contains ProClin: a POISONOUS AND HAZARDOUS SUBSTANCE which should be handled by trained staff only.

    Stock

    -20 °C,-80 °C

    Stockage commentaire

    Upon receipt, store at -20°C or -80°C. Avoid repeated freeze.
  • Antigène

    HIPK3 (Homeodomain Interacting Protein Kinase 3 (HIPK3))

    Autre désignation

    HIPK3

    Sujet

    Background: Serine/threonine-protein kinase involved in transcription regulation, apoptosis and steroidogenic gene expression. Phosphorylates JUN and RUNX2. Seems to negatively regulate apoptosis by promoting FADD phosphorylation. Enhances androgen receptor-mediated transcription. May act as a transcriptional corepressor for NK homeodomain transcription factors. The phosphorylation of NR5A1 activates SF1 leading to increased steroidogenic gene expression upon cAMP signaling pathway stimulation. In osteoblasts, supports transcription activation: phosphorylates RUNX2 that synergizes with SPEN/MINT to enhance FGFR2-mediated activation of the osteocalcin FGF-responsive element (OCFRE).

    Aliases: Androgen receptor interacting nuclear protein kinase antibody, Androgen receptor-interacting nuclear protein kinase antibody, ANPK antibody, DYRK6 antibody, Fas interacting serine/threonine protein kinase antibody, Fas-interacting serine/threonine-protein kinase antibody, FIST antibody, FIST3 antibody, Hipk3 antibody, HIPK3_HUMAN antibody, homeodomain interacting protein kinase 3 antibody, Homeodomain-interacting protein kinase 3 antibody, Homolog of protein kinase YAK1 antibody, PKY antibody, RP24 297H17.5 antibody, YAK1 antibody

    UniProt

    Q9H422
Vous êtes ici:
Chat with us!