Tel:
+49 (0)241 95 163 153
Fax:
+49 (0)241 95 163 155
E-Mail:
orders@anticorps-enligne.fr

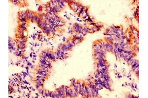
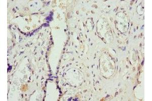
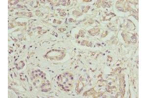
FcRn anticorps (AA 24-297)

Cet anticorps Lapin Polyclonal détecte spécifiquement FcRn dans WB, ELISA, IHC et IF. Il présente une réactivité avec des échantillons de Humain.
N° du produit ABIN7156043
328,90 €
Plus frais de livraison 40,00 € et TVA
Destination: France
Envoi sous 11 à 15 jours ouvrables

Aperçu rapide pour FcRn anticorps (AA 24-297) (ABIN7156043)

Antigène

Voir toutes FcRn Anticorps
FcRn (neonatal Fc Receptor (FcRn))

Reactivité

  • 66
  • 5
  • 4
  • 1
  • 1
  • 1
  • 1
  • 1
  • 1
Humain

Hôte

  • 40
  • 18
  • 15
  • 1
Lapin

Clonalité

  • 40
  • 32
  • 2
Polyclonal

Conjugué

  • 34
  • 7
  • 6
  • 5
  • 4
  • 3
  • 2
  • 1
  • 1
  • 1
  • 1
  • 1
  • 1
  • 1
  • 1
  • 1
  • 1
  • 1
  • 1
  • 1
Cet anticorp FcRn est non-conjugé

Application

  • 28
  • 27
  • 19
  • 10
  • 5
  • 3
  • 2
  • 2
  • 2
  • 2
  • 2
  • 1
  • 1
  • 1
  • 1
  • 1
  • 1
Western Blotting (WB), ELISA, Immunohistochemistry (IHC), Immunofluorescence (IF)
  • Épitope

    • 13
    • 12
    • 9
    • 6
    • 3
    • 1
    • 1
    • 1
    • 1
    • 1
    • 1
    AA 24-297

    Fonction

    FCGRT Antibody

     Réactivité croisée

    Souris

    Purification

    Protein G purified

    Pureté

    >95 %

    Immunogène

    Recombinant Human IgG receptor FcRn large subunit p51 protein (24-297AA)

    Isotype

    IgG
  • Indications d'application

    Optimal working dilution should be determined by the investigator.

    Restrictions

    For Research Use only
  • Format

    Liquid

    Buffer

    Preservative: 0.03 % Proclin 300
    Constituents: 50 % Glycerol, 0.01M PBS, PH 7.4

    Agent conservateur

    ProClin

    Précaution d'utilisation

    This product contains ProClin: a POISONOUS AND HAZARDOUS SUBSTANCE which should be handled by trained staff only.

    Stock

    -20 °C,-80 °C

    Stockage commentaire

    Upon receipt, store at -20°C or -80°C. Avoid repeated freeze.
  • Antigène

    FcRn (neonatal Fc Receptor (FcRn))

    Autre désignation

    FCGRT

    Sujet

    Alpha chain antibody, Fc fragment of IgG, receptor transporter, alpha antibody, FCGRN_HUMAN antibody, FCGRT antibody, FcRn alpha chain antibody, FcRn antibody, FCRN, alpha chain antibody, IgG Fc fragment receptor transporter alpha chain antibody, IgG Gc receptor antibody, IgG receptor FcRn large subunit p51 antibody, IgG receptor FcRn large subunit p51 precursor antibody, Immunoglobulin receptor, intestinal, heavy chain antibody, Neonatal Fc receptor antibody

    UniProt

    P55899

    Pathways

    Regulation of Leukocyte Mediated Immunity, Positive Regulation of Immune Effector Process
Vous êtes ici:
Chat with us!