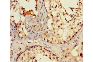
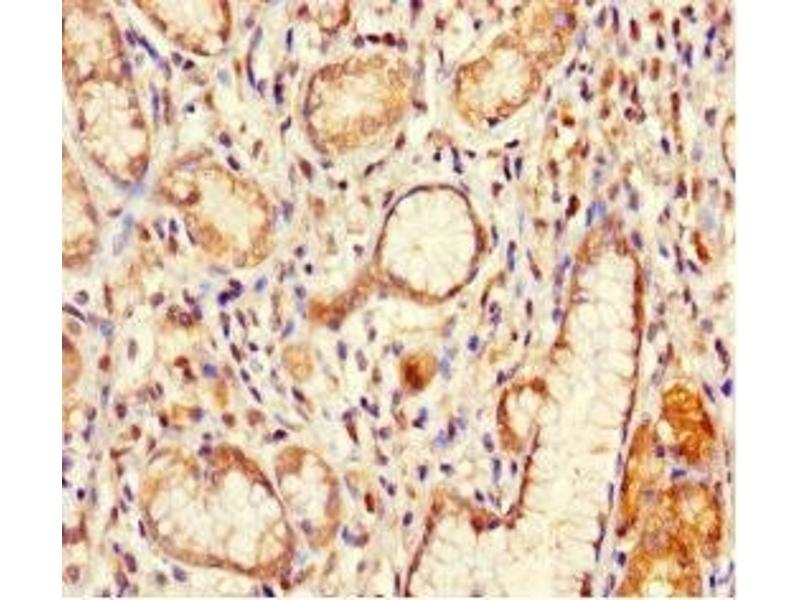
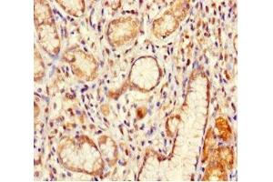
IFT80 anticorps (AA 1-268)
Aperçu rapide pour IFT80 anticorps (AA 1-268) (ABIN7157004)
Antigène
Voir toutes IFT80 AnticorpsReactivité
Hôte
Clonalité
Conjugué
Application
-
-
Épitope
- AA 1-268
-
Fonction
- IFT80 Antibody
-
Purification
- Protein G purified
-
Pureté
- >95 %
-
Immunogène
- Recombinant Human Intraflagellar transport protein 80 homolog protein (1-268AA)
-
Isotype
- IgG
-
-
-
-
Indications d'application
- Optimal working dilution should be determined by the investigator.
-
Restrictions
- For Research Use only
-
-
-
Format
- Liquid
-
Buffer
-
Preservative: 0.03 % Proclin 300
Constituents: 50 % Glycerol, 0.01M PBS, PH 7.4 -
Agent conservateur
- ProClin
-
Précaution d'utilisation
- This product contains ProClin: a POISONOUS AND HAZARDOUS SUBSTANCE which should be handled by trained staff only.
-
Stock
- -20 °C,-80 °C
-
Stockage commentaire
- Upon receipt, store at -20°C or -80°C. Avoid repeated freeze.
-
-
- IFT80 (Intraflagellar Transport 80 Homolog (IFT80))
-
Autre désignation
- IFT80
-
Sujet
-
Background: Component of the intraflagellar transport (IFT) complex B, which is essential for the development and maintenance of motile and sensory cilia.
Aliases: ATD2 antibody, Ift80 antibody, IFT80_HUMAN antibody, Intraflagellar transport 80 homolog (Chlamydomonas) antibody, Intraflagellar transport protein 80 homolog antibody, KIAA1374 antibody, WD repeat domain 56 antibody, WD repeat-containing protein 56 antibody, WDR56 antibody
-
UniProt
- Q9P2H3
-
Pathways
- Signalisation Hedgehog
Antigène
-