Tel:
+49 (0)241 95 163 153
Fax:
+49 (0)241 95 163 155
E-Mail:
orders@anticorps-enligne.fr

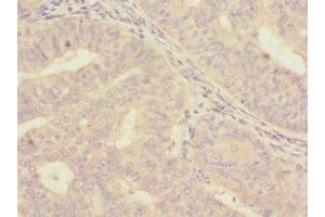
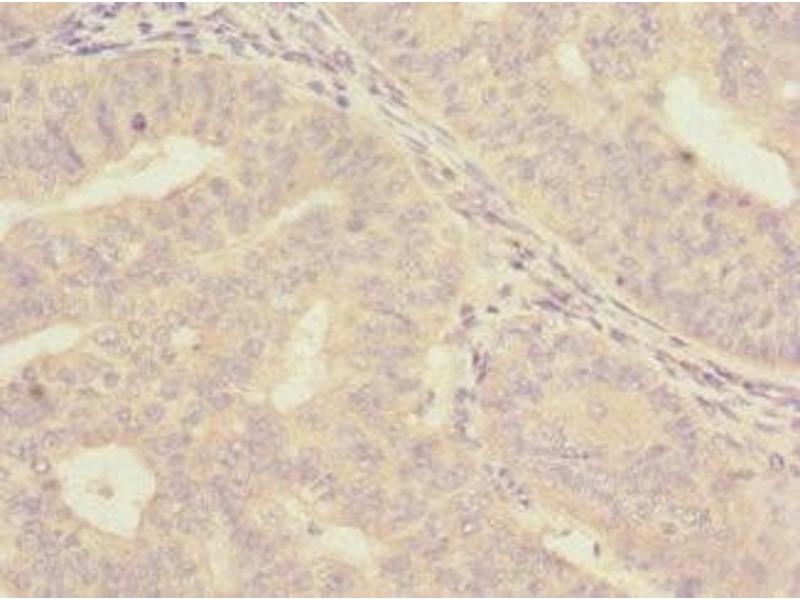
ISCU anticorps (AA 1-167)

L’anticorps anti-ISCU Polyclonal Lapin est utilisé pour la détection de ISCU dans des échantillons de Humain. Il a été validé pour ELISA et IHC.
N° du produit ABIN7157058
328,90 €
Plus frais de livraison 40,00 € et TVA
Destination: France
Envoi sous 11 à 15 jours ouvrables

Aperçu rapide pour ISCU anticorps (AA 1-167) (ABIN7157058)

Antigène

Voir toutes ISCU Anticorps
ISCU (Iron-sulfur cluster assembly enzyme ISCU, mitochondrial (ISCU))

Reactivité

  • 28
  • 15
  • 5
  • 2
  • 2
  • 2
  • 2
  • 2
  • 1
  • 1
  • 1
  • 1
  • 1
  • 1
  • 1
Humain

Hôte

  • 24
  • 4
Lapin

Clonalité

  • 24
  • 3
Polyclonal

Conjugué

  • 19
  • 3
  • 2
  • 2
  • 1
  • 1
Cet anticorp ISCU est non-conjugé

Application

  • 23
  • 16
  • 4
  • 4
  • 2
  • 2
  • 1
ELISA, Immunohistochemistry (IHC)
  • Épitope

    • 9
    • 5
    • 2
    • 2
    • 1
    • 1
    • 1
    • 1
    • 1
    AA 1-167

    Fonction

    ISCU Antibody

    Purification

    Antigen Affinity Purified

    Immunogène

    Recombinant Human Iron-sulfur cluster assembly enzyme ISCU, mitochondrial protein (1-167AA)

    Isotype

    IgG
  • Indications d'application

    Optimal working dilution should be determined by the investigator.

    Restrictions

    For Research Use only
  • Format

    Liquid

    Buffer

    PBS with 0.02 % sodium azide, 50 % glycerol, pH 7.3.

    Agent conservateur

    Sodium azide

    Précaution d'utilisation

    This product contains Sodium azide: a POISONOUS AND HAZARDOUS SUBSTANCE which should be handled by trained staff only.

    Stock

    -20 °C,-80 °C

    Stockage commentaire

    Upon receipt, store at -20°C or -80°C. Avoid repeated freeze.
  • Antigène

    ISCU (Iron-sulfur cluster assembly enzyme ISCU, mitochondrial (ISCU))

    Autre désignation

    ISCU

    Sujet

    Background: Scaffold protein for the de novo synthesis of iron-sulfur (Fe-S) clusters within mitochondria, which is required for maturation of both mitochondrial and cytoplasmic [2Fe-2S] and [4Fe-4S] proteins (PubMed:11060020). First, a [2Fe-2S] cluster is transiently assembled on the scaffold protein ISCU. In a second step, the cluster is released from ISCU, transferred to a glutaredoxin GLRX5, followed by the formation of mitochondrial [2Fe-2S] proteins, the synthesis of [4Fe-4S] clusters and their target-specific insertion into the recipient apoproteins. Cluster assembly on ISCU depends on the function of the cysteine desulfurase complex NFS1-LYRM4/ISD11, which serves as the sulfur donor for cluster synthesis, the iron-binding protein frataxin as the putative iron donor, and the electron transfer chain comprised of ferredoxin reductase and ferredoxin, which receive their electrons from NADH (By similarity).

    Aliases: 2310020H20Rik antibody, HML antibody, hnifU antibody, Iron sulfur cluster assembly enzyme ISCU mitochondrial antibody, Iron sulfur cluster scaffold homolog (E. coli) antibody, Iron sulfur cluster scaffold homolog antibody, Iron-sulfur cluster assembly enzyme ISCU antibody, Iscu antibody, IscU iron sulfur cluster scaffold homolog antibody, ISCU_HUMAN antibody, ISU2 antibody, MGC74517 antibody, mitochondrial antibody, NIFU antibody, NifU like N terminal domain containing antibody, NifU like N terminal domain containing protein antibody, NifU like protein antibody, NifU-like N-terminal domain-containing protein antibody, NifU-like protein antibody, NIFUN antibody, Nitrogen fixation cluster like antibody, OTTHUMP00000238760 antibody, OTTHUMP00000238761 antibody, OTTHUMP00000238762 antibody, OTTHUMP00000238764 antibody, OTTHUMP00000238765 antibody

    UniProt

    Q9H1K1
Vous êtes ici:
Chat with us!