Tel:
+49 (0)241 95 163 153
Fax:
+49 (0)241 95 163 155
E-Mail:
orders@anticorps-enligne.fr

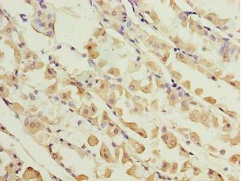
KIF26B anticorps (AA 8-133)

L’anticorps anti-KIF26B Polyclonal Lapin est utilisé pour la détection de KIF26B dans des échantillons de Humain. Il a été validé pour ELISA et IHC.
N° du produit ABIN7157640
328,90 €
Plus frais de livraison 40,00 € et TVA
Destination: France
Envoi sous 11 à 15 jours ouvrables

Aperçu rapide pour KIF26B anticorps (AA 8-133) (ABIN7157640)

Antigène

Voir toutes KIF26B Anticorps
KIF26B (Kinesin Family Member 26B (KIF26B))

Reactivité

  • 9
  • 3
  • 2
Humain

Hôte

  • 8
  • 1
Lapin

Clonalité

  • 9
Polyclonal

Conjugué

  • 5
  • 2
  • 1
  • 1
Cet anticorp KIF26B est non-conjugé

Application

  • 6
  • 3
  • 2
  • 1
  • 1
ELISA, Immunohistochemistry (IHC)
  • Épitope

    • 4
    • 2
    • 1
    • 1
    AA 8-133

    Fonction

    KIF26B Antibody

    Purification

    Protein G purified

    Pureté

    >95 %

    Immunogène

    Recombinant Human Kinesin-like protein KIF26B protein (8-133AA)

    Isotype

    IgG
  • Indications d'application

    Optimal working dilution should be determined by the investigator.

    Restrictions

    For Research Use only
  • Format

    Liquid

    Buffer

    Preservative: 0.03 % Proclin 300
    Constituents: 50 % Glycerol, 0.01M PBS, PH 7.4

    Agent conservateur

    ProClin

    Précaution d'utilisation

    This product contains ProClin: a POISONOUS AND HAZARDOUS SUBSTANCE which should be handled by trained staff only.

    Stock

    -20 °C,-80 °C

    Stockage commentaire

    Upon receipt, store at -20°C or -80°C. Avoid repeated freeze.
  • Antigène

    KIF26B (Kinesin Family Member 26B (KIF26B))

    Autre désignation

    KIF26B

    Sujet

    Background: Essential for embryonic kidney development. Plays an important role in the compact adhesion between mesenchymal cells adjacent to the ureteric buds, possibly by interacting with MYH10. This could lead to the establishment of the basolateral integrity of the mesenchyme and the polarized expression of ITGA8, which maintains the GDNF expression required for further ureteric bud attraction. Although it seems to lack ATPase activity it is constitutively associated with microtubules.

    Aliases: FLJ10157 antibody, KI26B_HUMAN antibody, KIF26B antibody, Kinesin-like protein KIF26B antibody

    UniProt

    Q2KJY2
Vous êtes ici:
Chat with us!