Tel:
+49 (0)241 95 163 153
Fax:
+49 (0)241 95 163 155
E-Mail:
orders@anticorps-enligne.fr

KIF26B Anticorps

(Kinesin Family Member 26B (KIF26B))

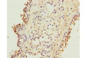
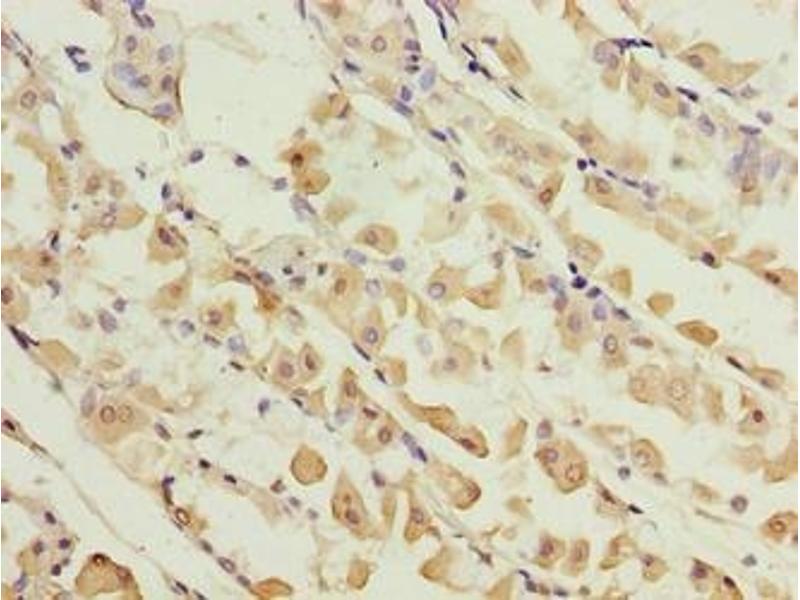
Choisissez l’un des 10 anticorps KIF26B de notre liste de produits basés sur 2 images de validation.

Découvrez des anticorps KIF26B fiables issus d’une large sélection de fabricants renommés. Notre portefeuille permet une détection précise de KIF26B dans plusieurs espèces, y compris Human, Mouse, Rat, et prend en charge diverses applications de recherche telles que ELISA, IHC, WB, ICC, IF.

Trouvez rapidement l’anticorps adapté grâce à nos outils de recherche, de filtrage et de comparaison. Chaque page produit fournit des données de validation détaillées, des références bibliographiques et des retours d’utilisateurs. Contrairement aux ressources dédiées uniquement à la comparaison, vous pouvez acheter directement les anticorps sur notre site. Choisissez parmi des anticorps polyclonaux, monoclonaux ou recombinants KIF26B, issus de différents hôtes tels que Rabbit, Goat. Parcourez nos produits ci-dessous et commandez directement pour soutenir vos recherches en toute confiance.

Les noms alternatifs de KIF26B sont Kif26b, KIF26B.

10 Résultats

KIF26B Reactivité: Humain ELISA, IHC Hôte: Lapin Polyclonal unconjugated
N° du produit ABIN7157640
328,90 €
Plus frais de livraison 40,00 € et TVA
100 μg (Autres quantités disponibles)
Destination: France
Envoi sous 11 à 15 jours ouvrables
 
Recent KIF26B Reactivité: Humain ELISA Hôte: Chèvre Polyclonal unconjugated
N° du produit ABIN570880
276,02 €
Plus frais de livraison 40,00 € et TVA
100 μg
Destination: France
Envoi sous 5 à 8 jours ouvrables
 
KIF26B Reactivité: Humain ELISA Hôte: Lapin Polyclonal HRP
N° du produit ABIN7157643
328,90 €
Plus frais de livraison 40,00 € et TVA
100 μg (Autres quantités disponibles)
Destination: France
Envoi sous 11 à 15 jours ouvrables
 
KIF26B Reactivité: Humain Hôte: Lapin Polyclonal FITC
N° du produit ABIN7157642
328,90 €
Plus frais de livraison 40,00 € et TVA
100 μg (Autres quantités disponibles)
Destination: France
Envoi sous 11 à 15 jours ouvrables
 
KIF26B Reactivité: Humain ELISA Hôte: Lapin Polyclonal Biotin
N° du produit ABIN7157641
328,90 €
Plus frais de livraison 40,00 € et TVA
100 μg (Autres quantités disponibles)
Destination: France
Envoi sous 11 à 15 jours ouvrables
 
KIF26B Reactivité: Humain, Souris, Rat WB, ICC, IF Hôte: Lapin Polyclonal unconjugated
N° du produit ABIN7094322
525,71 €
Plus frais de livraison 40,00 € et TVA
100 μL (Autres quantités disponibles)
Destination: France
Envoi sous 9 à 11 jours ouvrables
 
KIF26B Reactivité: Humain ELISA, IHC, WB Hôte: Lapin Polyclonal unconjugated
N° du produit ABIN7115700
375,38 €
Plus frais de livraison 40,00 € et TVA
100 μg
Destination: France
Envoi sous 11 à 15 jours ouvrables
 
KIF26B Reactivité: Humain ELISA Hôte: Lapin Polyclonal FITC
N° du produit ABIN6069515
628,83 €
Plus frais de livraison 40,00 € et TVA
100 μL (Autres quantités disponibles)
Destination: France
Envoi sous 7 à 13 jours ouvrables
 
KIF26B Reactivité: Humain, Souris, Rat ELISA, IHC Hôte: Lapin Polyclonal unconjugated
N° du produit ABIN2936635
945,82 €
Plus frais de livraison 40,00 € et TVA
100 μL
Destination: France
Envoi sous 7 à 13 jours ouvrables
 
KIF26B Reactivité: Humain, Souris WB Hôte: Lapin Polyclonal unconjugated
N° du produit ABIN7840404
480,77 €
Plus frais de livraison 40,00 € et TVA
200 μL
Destination: France
Envoi sous 8 à 10 jours ouvrables
 
  • Type Primary
    • Primary
  • Application
    • ELISA
    • Immunohistochemistry (IHC)
    • Western Blotting (WB)
    • Immunocytochemistry (ICC)
    • Immunofluorescence (IF)
  • Réactivité
    • Human
    • Mouse
    • Rat
  • Images disponible
  • Carrier free only
  • Hote
    • Rabbit
    • Goat
  • Clonalité
    • Polyclonal
  • Epitope
    • AA 8-133
    • Internal Region
    • AA 148-360
    • Center
  • Conjugué
    • Inconjugué
    • FITC
    • Biotin
    • HRP
  • Isotype
    • IgG
  • Format
    • Liquid
  • Grade
    • Recent
  • Supplier
    • antibodies-online
    • Abbexa
    • Cohesion Biosciences

Pseudonymes pour KIF26B Anticorps

kinesin family member 26B (Kif26b) Anticorps
kinesin family member 26B (KIF26B) Anticorps
4832420M10 Anticorps
BC056349 Anticorps
D230039L06Rik Anticorps
RGD1560022 Anticorps
RGD1560572 Anticorps
Vous êtes ici:
Chat with us!