Tel:
+49 (0)241 95 163 153
Fax:
+49 (0)241 95 163 155
E-Mail:
orders@anticorps-enligne.fr

Majin (AA 1-216) anticorps

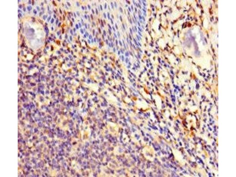
Cet anticorps anti-Majin Polyclonal Lapin (ABIN7159348) détecte spécifiquement Majin dans ELISA et IHC. L’anticorps est réactif avec des échantillons de Humain.
N° du produit ABIN7159348
328,90 €
Plus frais de livraison 40,00 € et TVA
Destination: France
Envoi sous 11 à 15 jours ouvrables

Aperçu rapide pour Majin (AA 1-216) anticorps (ABIN7159348)

Antigène

Majin

Reactivité

Humain

Hôte

  • 4
Lapin

Clonalité

  • 4
Polyclonal

Conjugué

  • 2
  • 1
  • 1
Inconjugué

Application

ELISA, Immunohistochemistry (IHC)
  • Épitope

    AA 1-216

    Fonction

    MAJIN Antibody

    Purification

    Protein G purified

    Pureté

    >95 %

    Immunogène

    Recombinant Human Membrane-anchored junction protein (1-216AA)

    Isotype

    IgG
  • Indications d'application

    Optimal working dilution should be determined by the investigator.

    Restrictions

    For Research Use only
  • Format

    Liquid

    Buffer

    Preservative: 0.03 % Proclin 300
    Constituents: 50 % Glycerol, 0.01M PBS, PH 7.4

    Agent conservateur

    ProClin

    Précaution d'utilisation

    This product contains ProClin: a POISONOUS AND HAZARDOUS SUBSTANCE which should be handled by trained staff only.

    Stock

    -20 °C,-80 °C

    Stockage commentaire

    Upon receipt, store at -20°C or -80°C. Avoid repeated freeze.
  • Antigène

    Majin

    Sujet

    Background: Meiosis-specific telomere-associated protein involved in meiotic telomere attachment to the nucleus inner membrane, a crucial step for homologous pairing and synapsis. Component of the MAJIN-TERB1-TERB2 complex, which promotes telomere cap exchange by mediating attachment of telomeric DNA to the inner nuclear membrane and replacement of the protective cap of telomeric chromosomes: in early meiosis, the MAJIN-TERB1-TERB2 complex associates with telomeric DNA and the shelterin/telosome complex. During prophase, the complex matures and promotes release of the shelterin/telosome complex from telomeric DNA. In the complex, MAJIN acts as the anchoring subunit to the nucleus inner membrane. MAJIN shows DNA-binding activity, possibly for the stabilization of telomere attachment on the nucleus inner membrane.

    Aliases: MAJIN antibody, C11orf85Membrane-anchored junction protein antibody

    UniProt

    Q3KP22
Vous êtes ici:
Chat with us!