Tel:
+49 (0)241 95 163 153
Fax:
+49 (0)241 95 163 155
E-Mail:
orders@anticorps-enligne.fr

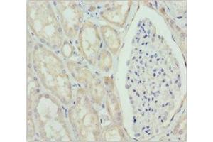
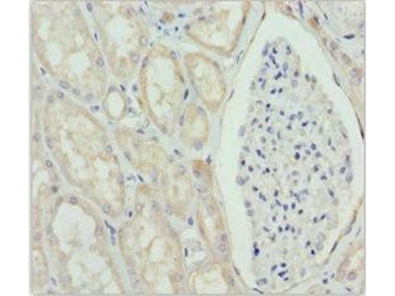
GNS anticorps (AA 293-552)

L’anticorps anti-GNS Polyclonal Lapin est utilisé pour la détection de GNS dans des échantillons de Humain. Il a été validé pour ELISA et IHC.
N° du produit ABIN7160688
328,90 €
Plus frais de livraison 40,00 € et TVA
Destination: France
Envoi sous 11 à 15 jours ouvrables

Aperçu rapide pour GNS anticorps (AA 293-552) (ABIN7160688)

Antigène

Voir toutes GNS Anticorps
GNS (Glucosamine (N-Acetyl)-6-Sulfatase (GNS))

Reactivité

  • 34
  • 9
  • 6
  • 3
  • 3
  • 3
  • 3
  • 3
  • 3
  • 2
  • 2
  • 2
  • 1
Humain

Hôte

  • 32
  • 3
  • 1
Lapin

Clonalité

  • 35
  • 1
Polyclonal

Conjugué

  • 22
  • 1
  • 1
  • 1
  • 1
  • 1
  • 1
  • 1
  • 1
  • 1
  • 1
  • 1
  • 1
  • 1
  • 1
Cet anticorp GNS est non-conjugé

Application

  • 19
  • 13
  • 13
  • 11
  • 6
  • 5
  • 4
  • 2
  • 2
  • 2
  • 1
  • 1
ELISA, Immunohistochemistry (IHC)
  • Épitope

    • 15
    • 3
    • 2
    • 2
    • 2
    • 1
    • 1
    • 1
    • 1
    • 1
    • 1
    • 1
    • 1
    AA 293-552

    Fonction

    GNS Antibody

    Purification

    Antigen Affinity Purified

    Immunogène

    Recombinant Human N-acetylglucosamine-6-sulfatase protein (293-552AA)

    Isotype

    IgG
  • Indications d'application

    Optimal working dilution should be determined by the investigator.

    Restrictions

    For Research Use only
  • Format

    Liquid

    Buffer

    PBS with 0.02 % sodium azide, 50 % glycerol, pH 7.3.

    Agent conservateur

    Sodium azide

    Précaution d'utilisation

    This product contains Sodium azide: a POISONOUS AND HAZARDOUS SUBSTANCE which should be handled by trained staff only.

    Stock

    -20 °C,-80 °C

    Stockage commentaire

    Upon receipt, store at -20°C or -80°C. Avoid repeated freeze.
  • Antigène

    GNS (Glucosamine (N-Acetyl)-6-Sulfatase (GNS))

    Autre désignation

    GNS

    Sujet

    Background: extracellular exosome, lysosomal lumen, N-acetylglucosamine-6-sulfatase activity, sulfuric ester hydrolase activity, glycosaminoglycan catabolic process, keratan sulfate catabolic process

    Aliases: 2610016K11Rik antibody, AU042285 antibody, C87209 antibody, G6S antibody, Glucosamine (N-acetyl) 6 sulfatase antibody, Glucosamine 6 sulfatase antibody, Glucosamine-6-sulfatase antibody, GNS antibody, GNS_HUMAN antibody, MGC21274 antibody, N acetylglucosamine 6 sulfatase [Precursor] antibody, N-acetylglucosamine-6-sulfatase antibody, N28088 antibody

    UniProt

    P15586

    Pathways

    Glycosaminoglycan Metabolic Process
Vous êtes ici:
Chat with us!