Tel:
+49 (0)241 95 163 153
Fax:
+49 (0)241 95 163 155
E-Mail:
orders@anticorps-enligne.fr

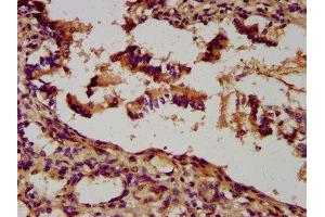
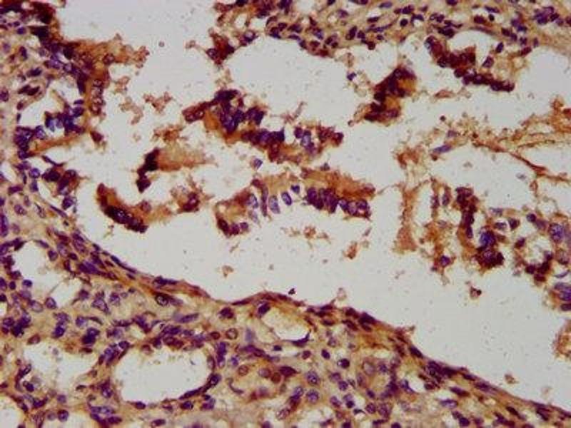
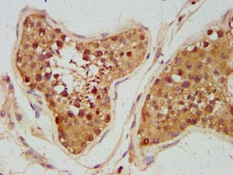
UNC5B anticorps (AA 404-517)

L’anticorps anti-UNC5B Polyclonal Lapin est utilisé pour la détection de UNC5B dans des échantillons de Humain. Il a été validé pour ELISA, IHC et IF.
N° du produit ABIN7161183
328,90 €
Plus frais de livraison 40,00 € et TVA
Destination: France
Envoi sous 11 à 15 jours ouvrables

Aperçu rapide pour UNC5B anticorps (AA 404-517) (ABIN7161183)

Antigène

Voir toutes UNC5B Anticorps
UNC5B (Netrin receptor UNC5B (UNC5B))

Reactivité

  • 40
  • 31
  • 24
  • 3
  • 3
  • 1
Humain

Hôte

  • 35
  • 6
  • 2
Lapin

Clonalité

  • 38
  • 5
Polyclonal

Conjugué

  • 15
  • 3
  • 2
  • 2
  • 1
  • 1
  • 1
  • 1
  • 1
  • 1
  • 1
  • 1
  • 1
  • 1
  • 1
  • 1
  • 1
  • 1
  • 1
  • 1
  • 1
  • 1
  • 1
  • 1
  • 1
Cet anticorp UNC5B est non-conjugé

Application

  • 29
  • 14
  • 13
  • 13
  • 3
  • 3
  • 2
  • 1
  • 1
ELISA, Immunohistochemistry (IHC), Immunofluorescence (IF)
  • Épitope

    • 15
    • 4
    • 2
    • 2
    • 2
    • 1
    • 1
    • 1
    • 1
    • 1
    AA 404-517

    Fonction

    UNC5B Antibody

    Purification

    Protein G purified

    Pureté

    >95 %

    Immunogène

    Recombinant Human Netrin receptor UNC5B protein (404-517AA)

    Isotype

    IgG
  • Indications d'application

    Optimal working dilution should be determined by the investigator.

    Restrictions

    For Research Use only
  • Format

    Liquid

    Buffer

    Preservative: 0.03 % Proclin 300
    Constituents: 50 % Glycerol, 0.01M PBS, pH 7.4

    Agent conservateur

    ProClin

    Précaution d'utilisation

    This product contains ProClin: a POISONOUS AND HAZARDOUS SUBSTANCE which should be handled by trained staff only.

    Stock

    -20 °C,-80 °C

    Stockage commentaire

    Upon receipt, store at -20°C or -80°C. Avoid repeated freeze.
  • Antigène

    UNC5B (Netrin receptor UNC5B (UNC5B))

    Autre désignation

    UNC5B

    Sujet

    Background: Receptor for netrin required for axon guidance. Mediates axon repulsion of neuronal growth cones in the developing nervous system upon ligand binding. Axon repulsion in growth cones may be caused by its association with DCC that may trigger signaling for repulsion (By similarity). Functions as netrin receptor that negatively regulates vascular branching during angiogenesis. Mediates retraction of tip cell filopodia on endothelial growth cones in response to netrin (By similarity). It also acts as a dependence receptor required for apoptosis induction when not associated with netrin ligand (PubMed:12598906). Mediates apoptosis by activating DAPK1. In the absence of NTN1, activates DAPK1 by reducing its autoinhibitory phosphorylation at Ser-308 thereby increasing its catalytic activity (By similarity).

    Aliases: 6330415E02Rik antibody, A630020F16 antibody, D10Bwg0792e antibody, Netrin receptor UNC5B antibody, Netrin receptor UNC5B Precursor antibody, p53 regulated receptor for death and life antibody, p53 regulated receptor for death and life protein 1 antibody, p53-regulated receptor for death and life protein 1 antibody, p53RDL1 antibody, Protein unc-5 homolog 2 antibody, Protein unc-5 homolog B antibody, Protein XUNC 5 antibody, Transmembrane receptor Unc5H2 antibody, Unc 5 homolog 2 antibody, Unc 5 homolog B antibody, Unc 5 netrin receptor B antibody, UNC 5B antibody, Unc5 (C.elegans homolog) b antibody, Unc5b antibody, UNC5B_HUMAN antibody, UNC5H2 antibody

    UniProt

    Q8IZJ1
Vous êtes ici:
Chat with us!