Tel:
+49 (0)241 95 163 153
Fax:
+49 (0)241 95 163 155
E-Mail:
orders@anticorps-enligne.fr

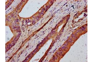
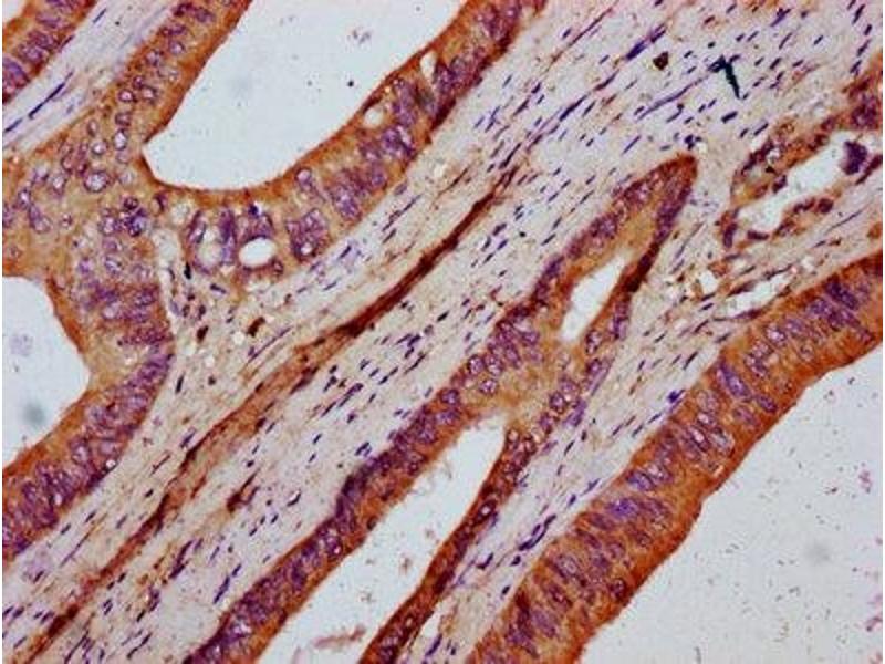
FKBP10 anticorps (AA 459-579)

Cet anticorps Lapin Polyclonal détecte spécifiquement FKBP10 dans IHC et ELISA. Il présente une réactivité avec des échantillons de Humain.
N° du produit ABIN7162811
328,90 €
Plus frais de livraison 40,00 € et TVA
Destination: France
Envoi sous 11 à 15 jours ouvrables

Aperçu rapide pour FKBP10 anticorps (AA 459-579) (ABIN7162811)

Antigène

Voir toutes FKBP10 Anticorps
FKBP10 (FK506 Binding Protein 10, 65 KDa (FKBP10))

Reactivité

  • 33
  • 10
  • 5
  • 3
  • 3
  • 3
  • 3
  • 3
  • 1
  • 1
  • 1
  • 1
  • 1
Humain

Hôte

  • 29
  • 5
Lapin

Clonalité

  • 30
  • 4
Polyclonal

Conjugué

  • 26
  • 2
  • 2
  • 2
  • 1
  • 1
Cet anticorp FKBP10 est non-conjugé

Application

  • 30
  • 15
  • 7
  • 7
  • 6
  • 5
  • 4
  • 2
  • 2
Immunohistochemistry (IHC), ELISA
  • Épitope

    • 9
    • 5
    • 4
    • 3
    • 3
    • 1
    • 1
    • 1
    • 1
    • 1
    • 1
    • 1
    • 1
    • 1
    • 1
    • 1
    AA 459-579

    Fonction

    FKBP10 Antibody

    Purification

    Protein G purified

    Pureté

    >95 %

    Immunogène

    Recombinant Human Peptidyl-prolyl cis-trans isomerase FKBP10 protein (459-579AA)

    Isotype

    IgG
  • Indications d'application

    Optimal working dilution should be determined by the investigator.

    Restrictions

    For Research Use only
  • Format

    Liquid

    Buffer

    Preservative: 0.03 % Proclin 300
    Constituents: 50 % Glycerol, 0.01M PBS, pH 7.4

    Agent conservateur

    ProClin

    Précaution d'utilisation

    This product contains ProClin: a POISONOUS AND HAZARDOUS SUBSTANCE which should be handled by trained staff only.

    Stock

    -20 °C,-80 °C

    Stockage commentaire

    Upon receipt, store at -20°C or -80°C. Avoid repeated freeze.
  • Antigène

    FKBP10 (FK506 Binding Protein 10, 65 KDa (FKBP10))

    Autre désignation

    FKBP10

    Sujet

    Background: PPIases accelerate the folding of proteins during protein synthesis.

    Aliases: FKBP10 antibody, FKBP65 antibody, PSEC0056Peptidyl-prolyl cis-trans isomerase FKBP10 antibody, PPIase FKBP10 antibody, EC 5.2.1.8 antibody, 65 kDa FK506-binding protein antibody, 65 kDa FKBP antibody, FKBP-65 antibody, FK506-binding protein 10 antibody, FKBP-10 antibody, Immunophilin FKBP65 antibody, Rotamase antibody

    UniProt

    Q96AY3

    Pathways

    SARS-CoV-2 Protein Interactome
Vous êtes ici:
Chat with us!