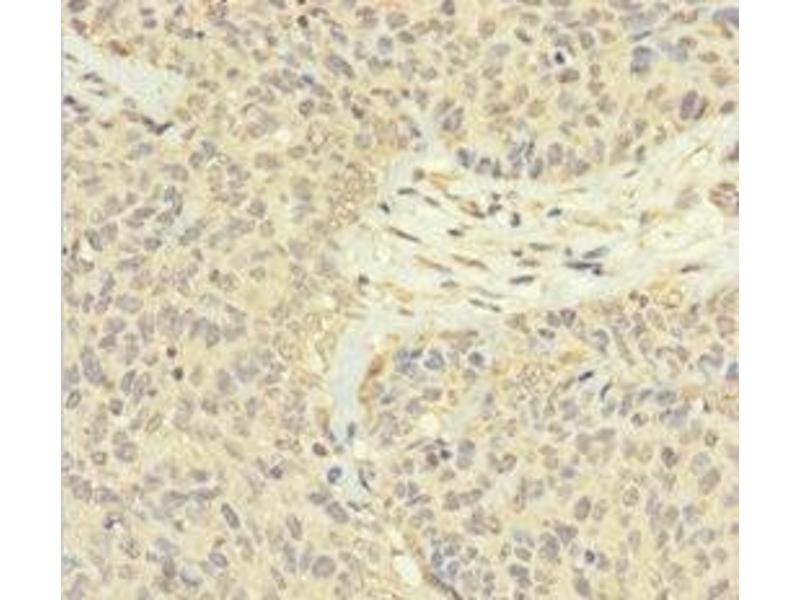
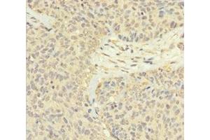
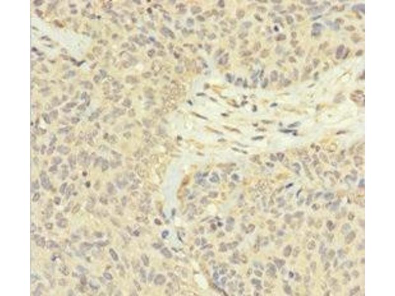
FAM60A anticorps (AA 1-221)
Aperçu rapide pour FAM60A anticorps (AA 1-221) (ABIN7165526)
Antigène
Reactivité
Hôte
Clonalité
Conjugué
Application
-
-
Épitope
- AA 1-221
-
Fonction
- FAM60A Antibody
-
Purification
- Protein G purified
-
Pureté
- >95 %
-
Immunogène
- Recombinant Human Protein FAM60A protein (1-221AA)
-
Isotype
- IgG
-
-
-
-
Indications d'application
- Optimal working dilution should be determined by the investigator.
-
Restrictions
- For Research Use only
-
-
-
Format
- Liquid
-
Buffer
-
Preservative: 0.03 % Proclin 300
Constituents: 50 % Glycerol, 0.01M PBS, PH 7.4 -
Agent conservateur
- ProClin
-
Précaution d'utilisation
- This product contains ProClin: a POISONOUS AND HAZARDOUS SUBSTANCE which should be handled by trained staff only.
-
Stock
- -20 °C,-80 °C
-
Stockage commentaire
- Upon receipt, store at -20°C or -80°C. Avoid repeated freeze.
-
-
- FAM60A (Family with Sequence Similarity 60, Member A (FAM60A))
-
Autre désignation
- FAM60A
-
Sujet
-
Background: Subunit of the Sin3 deacetylase complex (Sin3/HDAC), this subunit is important for the repression of genes encoding components of the TGF-beta signaling pathway.
Aliases: SINHCAF antibody, C12orf14 antibody, FAM60A antibody, L4 antibody, SIN3-HDAC complex-associated factor antibody, Protein FAM60A antibody, Tera protein homolog antibody
-
UniProt
- Q9NP50
Antigène
-