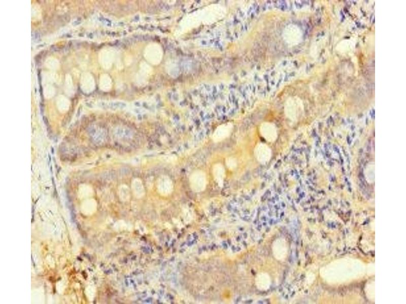
TESPA1 anticorps (AA 251-521)
Aperçu rapide pour TESPA1 anticorps (AA 251-521) (ABIN7166174)
Antigène
Reactivité
Hôte
Clonalité
Conjugué
Application
-
-
Épitope
- AA 251-521
-
Fonction
- TESPA1 Antibody
-
Purification
- Protein G purified
-
Pureté
- >95 %
-
Immunogène
- Recombinant Human Protein TESPA1 protein (251-521AA)
-
Isotype
- IgG
-
-
-
-
Indications d'application
- Optimal working dilution should be determined by the investigator.
-
Restrictions
- For Research Use only
-
-
-
Format
- Liquid
-
Buffer
-
Preservative: 0.03 % Proclin 300
Constituents: 50 % Glycerol, 0.01M PBS, PH 7.4 -
Agent conservateur
- ProClin
-
Précaution d'utilisation
- This product contains ProClin: a POISONOUS AND HAZARDOUS SUBSTANCE which should be handled by trained staff only.
-
Stock
- -20 °C,-80 °C
-
Stockage commentaire
- Upon receipt, store at -20°C or -80°C. Avoid repeated freeze.
-
-
- TESPA1 (Thymocyte Expressed, Positive Selection Associated 1 (TESPA1))
-
Autre désignation
- TESPA1
-
Sujet
-
Background: Required for the development and maturation of T-cells, its function being essential for the late stages of thymocyte development. Plays a role in T-cell antigen receptor (TCR)-mediated activation of the ERK and NFAT signaling pathways, possibly by serving as a scaffolding protein that promotes the assembly of the LAT signalosome in thymocytes. May play a role in the regulation of inositol 1,4,5-trisphosphate receptor-mediated Ca(2+) release and mitochondrial Ca(2+) uptake via the mitochondria-associated endoplasmic reticulum membrane (MAM) compartment.
Aliases: TESPA1 antibody, KIAA0748 antibody, HSPC257Protein TESPA1 antibody, Thymocyte-expressed positive selection-associated protein 1 antibody
-
UniProt
- A2RU30
Antigène
-