Tel:
+49 (0)241 95 163 153
Fax:
+49 (0)241 95 163 155
E-Mail:
orders@anticorps-enligne.fr

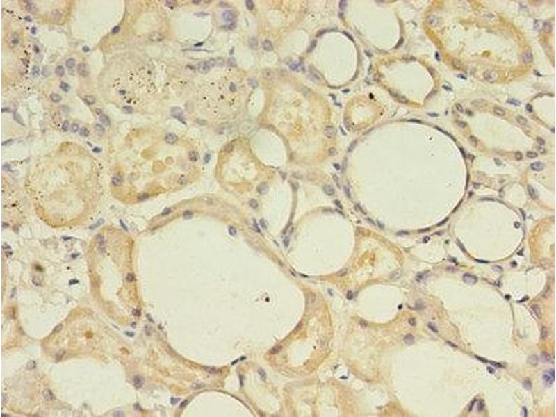
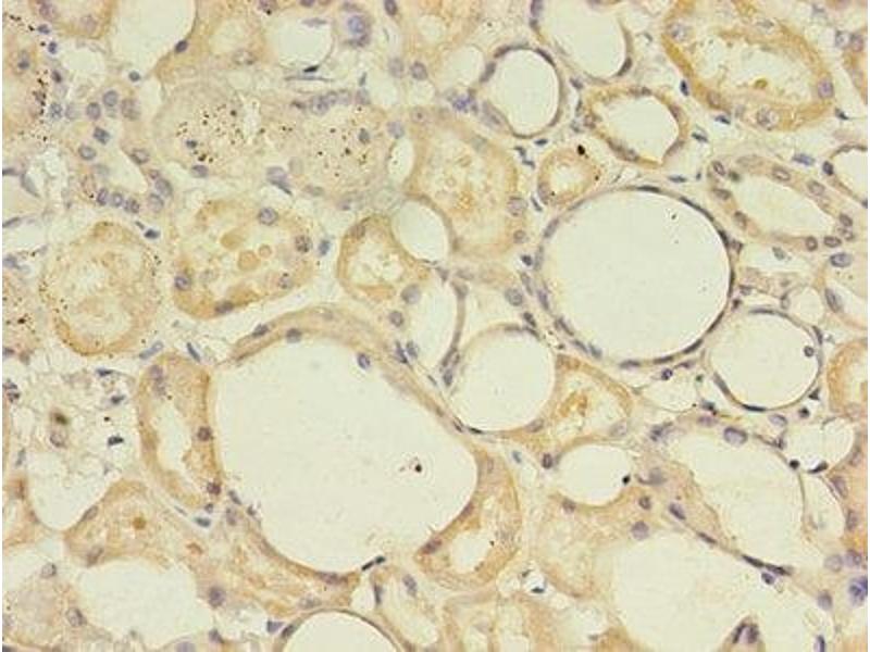
MAS1 anticorps (AA 285-325)

Cet anticorps anti-MAS1 Polyclonal Lapin (ABIN7166485) détecte spécifiquement MAS1 dans WB, IHC, ELISA et IF. L’anticorps est réactif avec des échantillons de Humain.
N° du produit ABIN7166485
328,90 €
Plus frais de livraison 40,00 € et TVA
Destination: France
Envoi sous 11 à 15 jours ouvrables

Aperçu rapide pour MAS1 anticorps (AA 285-325) (ABIN7166485)

Antigène

Voir toutes MAS1 Anticorps
MAS1 (MAS1 Oncogene (MAS1))

Reactivité

  • 54
  • 15
  • 12
  • 5
  • 5
  • 4
  • 4
  • 2
  • 2
Humain

Hôte

  • 55
  • 1
Lapin

Clonalité

  • 56
Polyclonal

Conjugué

  • 22
  • 4
  • 4
  • 3
  • 2
  • 1
  • 1
  • 1
  • 1
  • 1
  • 1
  • 1
  • 1
  • 1
  • 1
  • 1
  • 1
  • 1
  • 1
  • 1
  • 1
  • 1
  • 1
  • 1
  • 1
  • 1
Cet anticorp MAS1 est non-conjugé

Application

  • 38
  • 14
  • 10
  • 8
  • 1
  • 1
  • 1
  • 1
Western Blotting (WB), Immunohistochemistry (IHC), ELISA, Immunofluorescence (IF)
  • Épitope

    • 7
    • 5
    • 4
    • 3
    • 3
    • 3
    • 2
    • 2
    • 2
    • 1
    • 1
    • 1
    • 1
    • 1
    • 1
    • 1
    AA 285-325

    Fonction

    MAS1 Antibody

     Réactivité croisée

    Souris

    Purification

    Protein G purified

    Pureté

    >95 %

    Immunogène

    Recombinant Human Proto-oncogene Mas protein (285-325AA)

    Isotype

    IgG
  • Indications d'application

    Optimal working dilution should be determined by the investigator.

    Restrictions

    For Research Use only
  • Format

    Liquid

    Buffer

    Preservative: 0.03 % Proclin 300
    Constituents: 50 % Glycerol, 0.01M PBS, PH 7.4

    Agent conservateur

    ProClin

    Précaution d'utilisation

    This product contains ProClin: a POISONOUS AND HAZARDOUS SUBSTANCE which should be handled by trained staff only.

    Stock

    -20 °C,-80 °C

    Stockage commentaire

    Upon receipt, store at -20°C or -80°C. Avoid repeated freeze.
  • Antigène

    MAS1 (MAS1 Oncogene (MAS1))

    Autre désignation

    MAS1

    Sujet

    Background: Receptor for angiotensin 1-7 (By similarity). Acts specifically as a functional antagonist of AGTR1 (angiotensin-2 type 1 receptor), although it up-regulates AGTR1 receptor levels. Positive regulation of AGTR1 levels occurs through activation of the G-proteins GNA11 and GNAQ, and stimulation of the protein kinase C signaling cascade. The antagonist effect on AGTR1 function is probably due to AGTR1 being physically altered by MAS1.

    Aliases: MAS antibody, MAS proto oncogene antibody, Mas-related G protein-coupled receptor A antibody, MAS_HUMAN antibody, Mas1 antibody, MAS1 oncogene antibody, MAS1 proto-oncogene, G protein-coupled receptor antibody, MGRA antibody, Proto-oncogene Mas antibody

    UniProt

    P04201

    Pathways

    ACE Inhibitor Pathway, Regulation of Carbohydrate Metabolic Process
Vous êtes ici:
Chat with us!