Tel:
+49 (0)241 95 163 153
Fax:
+49 (0)241 95 163 155
E-Mail:
orders@anticorps-enligne.fr

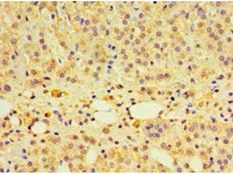
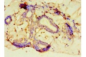
PCDHA6 anticorps (AA 1-230)

L’anticorps anti-PCDHA6 Polyclonal Lapin est utilisé pour la détection de PCDHA6 dans des échantillons de Humain. Il a été validé pour ELISA et IHC.
N° du produit ABIN7166520
328,90 €
Plus frais de livraison 40,00 € et TVA
Destination: France
Envoi sous 11 à 15 jours ouvrables

Aperçu rapide pour PCDHA6 anticorps (AA 1-230) (ABIN7166520)

Antigène

Voir toutes PCDHA6 Anticorps
PCDHA6 (Protocadherin alpha 6 (PCDHA6))

Reactivité

  • 32
  • 22
  • 6
  • 3
  • 3
  • 2
  • 2
  • 1
  • 1
  • 1
Humain

Hôte

  • 42
  • 5
Lapin

Clonalité

  • 44
  • 3
Polyclonal

Conjugué

  • 21
  • 3
  • 2
  • 2
  • 1
  • 1
  • 1
  • 1
  • 1
  • 1
  • 1
  • 1
  • 1
  • 1
  • 1
  • 1
  • 1
  • 1
  • 1
  • 1
  • 1
  • 1
  • 1
Cet anticorp PCDHA6 est non-conjugé

Application

  • 25
  • 16
  • 13
  • 13
  • 8
  • 8
  • 3
  • 3
  • 1
ELISA, Immunohistochemistry (IHC)
  • Épitope

    • 15
    • 6
    • 4
    • 3
    • 1
    • 1
    • 1
    • 1
    • 1
    • 1
    • 1
    • 1
    AA 1-230

    Fonction

    PCDHA6 Antibody

    Purification

    Antigen Affinity Purified

    Immunogène

    Recombinant Human Protocadherin alpha-6 protein (1-230AA)

    Isotype

    IgG
  • Indications d'application

    Optimal working dilution should be determined by the investigator.

    Restrictions

    For Research Use only
  • Format

    Liquid

    Buffer

    PBS with 0.02 % sodium azide, 50 % glycerol, pH 7.3.

    Agent conservateur

    Sodium azide

    Précaution d'utilisation

    This product contains Sodium azide: a POISONOUS AND HAZARDOUS SUBSTANCE which should be handled by trained staff only.

    Stock

    -20 °C,-80 °C

    Stockage commentaire

    Upon receipt, store at -20°C or -80°C. Avoid repeated freeze.
  • Antigène

    PCDHA6 (Protocadherin alpha 6 (PCDHA6))

    Autre désignation

    PCDHA6

    Sujet

    Background: Potential calcium-dependent cell-adhesion protein. May be involved in the establishment and maintenance of specific neuronal connections in the brain.

    Aliases: Cadherin related neuronal receptor 2 antibody, CNR 2 antibody, CNR2 antibody, CNRN 2 antibody, CNRN2 antibody, CNRS 2 antibody, CNRS2 antibody, CRNR 2 antibody, CRNR2 antibody, KIAA0345 like 8 antibody, PCDA6_HUMAN antibody, PCDH alpha6 antibody, PCDH-alpha-6 antibody, PCDHA 6 antibody, PCDHA6 antibody, Protocadherin alpha 6 antibody, Protocadherin alpha-6 antibody

    UniProt

    Q9UN73
Vous êtes ici:
Chat with us!