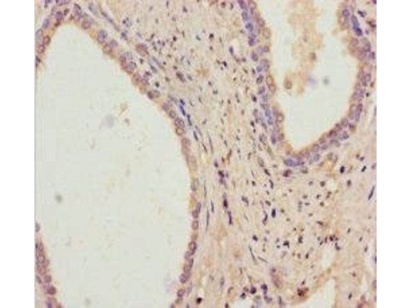
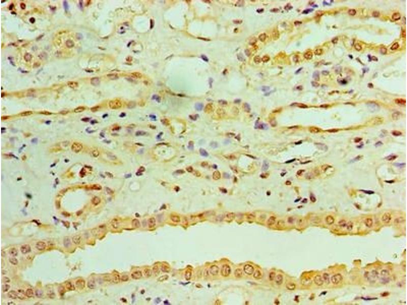
RDH11 anticorps (AA 22-318)
Aperçu rapide pour RDH11 anticorps (AA 22-318) (ABIN7167832)
Antigène
Voir toutes RDH11 AnticorpsReactivité
Hôte
Clonalité
Conjugué
Application
-
-
Épitope
- AA 22-318
-
Fonction
- RDH11 Antibody
-
Purification
- Protein G purified
-
Pureté
- >95 %
-
Immunogène
- Recombinant Human Retinol dehydrogenase 11 protein (22-318AA)
-
Isotype
- IgG
-
-
-
-
Indications d'application
- Optimal working dilution should be determined by the investigator.
-
Restrictions
- For Research Use only
-
-
-
Format
- Liquid
-
Buffer
-
Preservative: 0.03 % Proclin 300
Constituents: 50 % Glycerol, 0.01M PBS, PH 7.4 -
Agent conservateur
- ProClin
-
Précaution d'utilisation
- This product contains ProClin: a POISONOUS AND HAZARDOUS SUBSTANCE which should be handled by trained staff only.
-
Stock
- -20 °C,-80 °C
-
Stockage commentaire
- Upon receipt, store at -20°C or -80°C. Avoid repeated freeze.
-
-
- RDH11 (Retinol Dehydrogenase 11 (All-Trans/9-Cis/11-Cis) (RDH11))
-
Autre désignation
- RDH11
-
Sujet
-
Background: Exhibits an oxidoreductive catalytic activity towards retinoids. Most efficient as an NADPH-dependent retinal reductase. Displays high activity towards 9-cis and all-trans-retinol. Also involved in the metabolism of short-chain aldehydes. No steroid dehydrogenase activity detected.
Aliases: Androgen regulated short chain dehydrogenase/reductase 1 antibody, Androgen-regulated short-chain dehydrogenase/reductase 1 antibody, ARSDR1 antibody, AU045252 antibody, C85936 antibody, CGI 82 antibody, FLJ32633 antibody, HCBP12 antibody, HCV core binding protein antibody, HCV core binding protein HCBP12 antibody, HCV core-binding protein HCBP12 antibody, MDT1 antibody, Prostate short chain dehydrogenase/reductase 1 antibody, Prostate short-chain dehydrogenase/reductase 1 antibody, PSDR1 antibody, RALR1 antibody, RDH11 antibody, RDH11_HUMAN antibody, Retinal reductase 1 antibody, retinol dehydrogenase 11 (all trans/9 cis/11 cis) antibody, Retinol dehydrogenase 11 antibody, SCALD antibody, SDR7C1 antibody, Short chain dehydrogenase/reductase family 7C, member 1 antibody
-
UniProt
- Q8TC12
Antigène
-