Tel:
+49 (0)241 95 163 153
Fax:
+49 (0)241 95 163 155
E-Mail:
orders@anticorps-enligne.fr

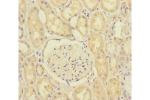
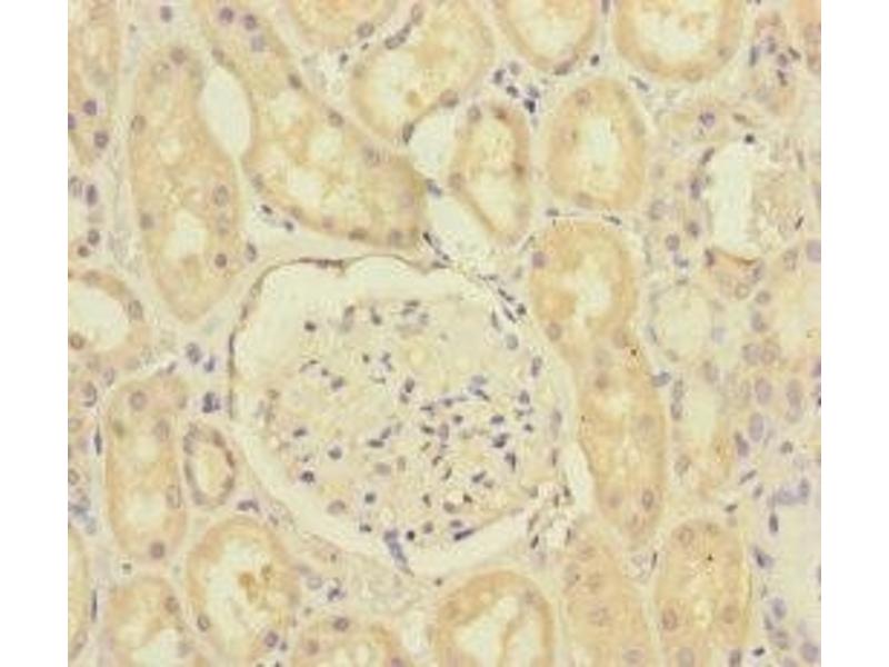
SCFD1 anticorps (AA 373-642)

L’anticorps anti-SCFD1 Polyclonal Lapin est utilisé pour la détection de SCFD1 dans des échantillons de Humain. Il a été validé pour WB, IHC et ELISA.
N° du produit ABIN7168641
328,90 €
Plus frais de livraison 40,00 € et TVA
Destination: France
Envoi sous 11 à 15 jours ouvrables

Aperçu rapide pour SCFD1 anticorps (AA 373-642) (ABIN7168641)

Antigène

Voir toutes SCFD1 Anticorps
SCFD1 (Sec1 Family Domain Containing 1 (SCFD1))

Reactivité

  • 35
  • 16
  • 15
  • 7
  • 5
  • 5
  • 5
  • 3
  • 3
  • 3
  • 2
  • 2
  • 2
  • 1
  • 1
Humain

Hôte

  • 32
  • 3
Lapin

Clonalité

  • 32
  • 3
Polyclonal

Conjugué

  • 28
  • 1
  • 1
  • 1
  • 1
  • 1
  • 1
  • 1
Cet anticorp SCFD1 est non-conjugé

Application

  • 25
  • 10
  • 9
  • 5
  • 5
  • 3
  • 2
  • 1
  • 1
Western Blotting (WB), Immunohistochemistry (IHC), ELISA
  • Épitope

    • 7
    • 2
    • 2
    • 2
    • 2
    • 1
    • 1
    • 1
    • 1
    • 1
    • 1
    • 1
    • 1
    AA 373-642

    Fonction

    SCFD1 Antibody

     Réactivité croisée

    Souris

    Purification

    Antigen Affinity Purified

    Immunogène

    Recombinant Human Sec1 family domain-containing protein 1 protein (373-642AA)

    Isotype

    IgG
  • Indications d'application

    Optimal working dilution should be determined by the investigator.

    Restrictions

    For Research Use only
  • Format

    Liquid

    Buffer

    PBS with 0.02 % sodium azide, 50 % glycerol, pH 7.3.

    Agent conservateur

    Sodium azide

    Précaution d'utilisation

    This product contains Sodium azide: a POISONOUS AND HAZARDOUS SUBSTANCE which should be handled by trained staff only.

    Stock

    -20 °C,-80 °C

    Stockage commentaire

    Upon receipt, store at -20°C or -80°C. Avoid repeated freeze.
  • Antigène

    SCFD1 (Sec1 Family Domain Containing 1 (SCFD1))

    Autre désignation

    SCFD1

    Sujet

    Background: Plays a role in SNARE-pin assembly and Golgi-to-ER retrograde transport via its interaction with COG4. Involved in vesicular transport between the endoplasmic reticulum and the Golgi (By similarity).

    Aliases: C14orf163 antibody, Chromosome 14 open reading frame 163 antibody, RA410 antibody, Scfd1 antibody, SCFD1_HUMAN antibody, Sec1 family domain containing 1 antibody, Sec1 family domain-containing protein 1 antibody, SLY1 antibody, SLY1 homolog antibody, Sly1p antibody, STXBP1L2 antibody, Syntaxin binding protein 1 like 2 antibody, Syntaxin-binding protein 1-like 2 antibody, Vesicle transport related protein antibody

    UniProt

    Q8WVM8
Vous êtes ici:
Chat with us!