Tel:
+49 (0)241 95 163 153
Fax:
+49 (0)241 95 163 155
E-Mail:
orders@anticorps-enligne.fr

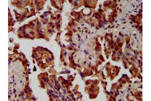
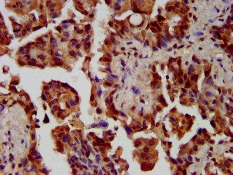
NEK1 anticorps (AA 626-809)

L’anticorps anti-NEK1 Polyclonal Lapin est utilisé pour la détection de NEK1 dans des échantillons de Humain. Il a été validé pour ELISA, IHC et IF.
N° du produit ABIN7169088
328,90 €
Plus frais de livraison 40,00 € et TVA
Destination: France
Envoi sous 11 à 15 jours ouvrables

Aperçu rapide pour NEK1 anticorps (AA 626-809) (ABIN7169088)

Antigène

Voir toutes NEK1 Anticorps
NEK1 (NIMA-Related Kinase 1 (NEK1))

Reactivité

  • 23
  • 21
  • 15
  • 2
Humain

Hôte

  • 36
Lapin

Clonalité

  • 36
Polyclonal

Conjugué

  • 12
  • 3
  • 2
  • 2
  • 1
  • 1
  • 1
  • 1
  • 1
  • 1
  • 1
  • 1
  • 1
  • 1
  • 1
  • 1
  • 1
  • 1
  • 1
  • 1
  • 1
Cet anticorp NEK1 est non-conjugé

Application

  • 24
  • 13
  • 13
  • 9
  • 6
  • 3
  • 3
  • 2
  • 2
  • 2
  • 1
ELISA, Immunohistochemistry (IHC), Immunofluorescence (IF)
  • Épitope

    • 15
    • 4
    • 4
    • 2
    • 2
    • 1
    • 1
    • 1
    • 1
    AA 626-809

    Fonction

    NEK1 Antibody

    Purification

    Protein G purified

    Pureté

    >95 %

    Immunogène

    Recombinant Human Serine/threonine-protein kinase Nek1 protein (626-809AA)

    Isotype

    IgG
  • Indications d'application

    Optimal working dilution should be determined by the investigator.

    Restrictions

    For Research Use only
  • Format

    Liquid

    Buffer

    Preservative: 0.03 % Proclin 300
    Constituents: 50 % Glycerol, 0.01M PBS, pH 7.4

    Agent conservateur

    ProClin

    Précaution d'utilisation

    This product contains ProClin: a POISONOUS AND HAZARDOUS SUBSTANCE which should be handled by trained staff only.

    Stock

    -20 °C,-80 °C

    Stockage commentaire

    Upon receipt, store at -20°C or -80°C. Avoid repeated freeze.
  • Antigène

    NEK1 (NIMA-Related Kinase 1 (NEK1))

    Autre désignation

    NEK1

    Sujet

    Background: Phosphorylates serines and threonines, but also appears to possess tyrosine kinase activity. Implicated in the control of meiosis (By similarity). Involved in cilium assembly. In response to injury that includes DNA damage, NEK1 phosphorylates VDAC1 to limit mitochondrial cell death.

    Aliases: DKFZp686D06121 antibody, DKFZp686K12169 antibody, kat antibody, KIAA1901 antibody, MGC138800 antibody, MGC189817 antibody, NEK1 antibody, NEK1_HUMAN antibody, Never in mitosis A-related kinase 1 antibody, Never in mitosis gene A-related kinase 1 antibody, NIMA (never in mitosis gene a)-related kinase 1 antibody, NIMA-related kinase 1 antibody, NimA-related protein kinase 1 antibody, NY-REN-55 antibody, OTTHUMP00000219432 antibody, OTTHUMP00000219433 antibody, OTTHUMP00000219434 antibody, OTTHUMP00000219435 antibody, Protein-serine/threonine kinase antibody, Renal carcinoma antigen NY-REN-55 antibody, Serine/threonine-protein kinase Nek1 antibody, SRPS2 antibody, SRPS2A antibody, SRTD6 antibody

    UniProt

    Q96PY6
Vous êtes ici:
Chat with us!