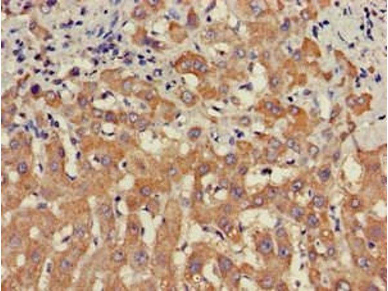
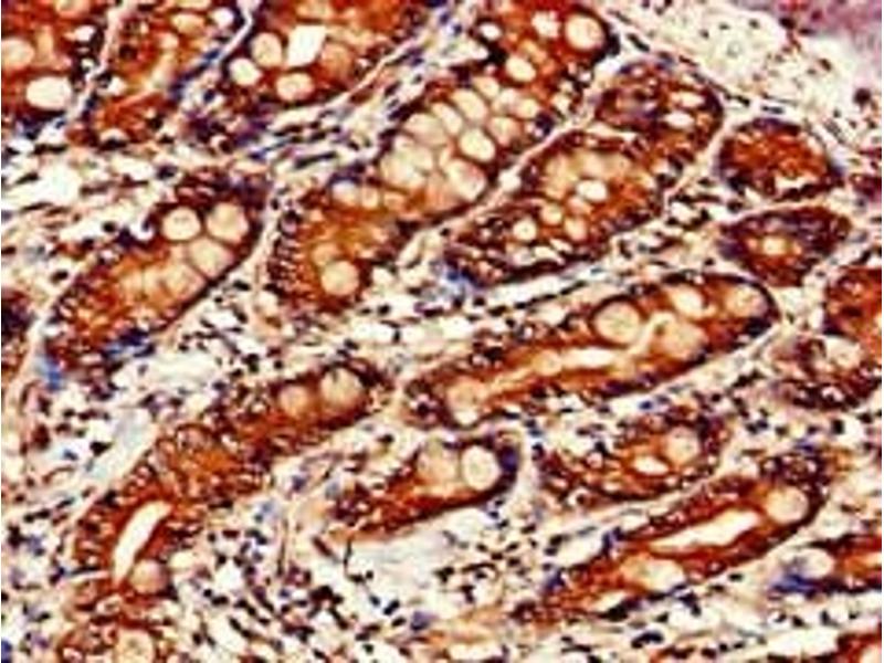
STAT4 anticorps (AA 569-748)
Aperçu rapide pour STAT4 anticorps (AA 569-748) (ABIN7169681)
Antigène
Voir toutes STAT4 AnticorpsReactivité
Hôte
Clonalité
Conjugué
Application
-
-
Épitope
- AA 569-748
-
Fonction
- STAT4 Antibody
-
Réactivité croisée
- Souris, Rat
-
Purification
- Protein G purified
-
Pureté
- >95 %
-
Immunogène
- Recombinant Human Signal transducer and activator of transcription 4 protein (569-748AA)
-
Isotype
- IgG
-
-
-
-
Indications d'application
- Optimal working dilution should be determined by the investigator.
-
Restrictions
- For Research Use only
-
-
-
Format
- Liquid
-
Buffer
-
Preservative: 0.03 % Proclin 300
Constituents: 50 % Glycerol, 0.01M PBS, pH 7.4 -
Agent conservateur
- ProClin
-
Précaution d'utilisation
- This product contains ProClin: a POISONOUS AND HAZARDOUS SUBSTANCE which should be handled by trained staff only.
-
Stock
- -20 °C,-80 °C
-
Stockage commentaire
- Upon receipt, store at -20°C or -80°C. Avoid repeated freeze.
-
-
- STAT4 (Signal Transducer and Activator of Transcription 4 (STAT4))
-
Autre désignation
- STAT4
-
Sujet
-
Background: Carries out a dual function: signal transduction and activation of transcription. Involved in IL12 signaling.
Aliases: Signal transducer and activator of transcription 4 antibody, SLEB11 antibody, STAT4 antibody, STAT4_HUMAN antibody
-
UniProt
- Q14765
-
Pathways
- Signalistation JAK/STAT
Antigène
-