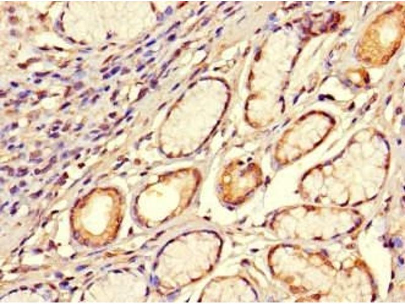
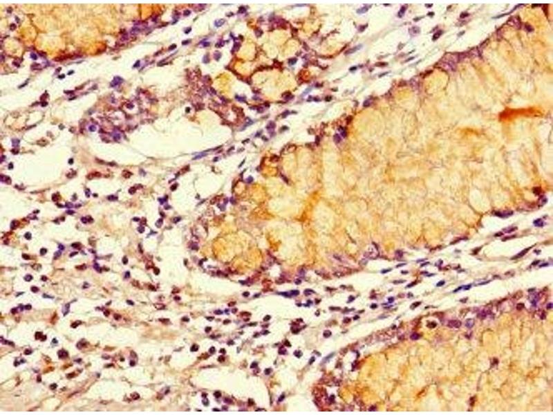
SMOC1 anticorps (AA 277-382)
Aperçu rapide pour SMOC1 anticorps (AA 277-382) (ABIN7170420)
Antigène
Voir toutes SMOC1 AnticorpsReactivité
Hôte
Clonalité
Conjugué
Application
-
-
Épitope
- AA 277-382
-
Fonction
- SMOC1 Antibody
-
Réactivité croisée
- Souris
-
Purification
- Protein G purified
-
Pureté
- >95 %
-
Immunogène
- Recombinant Human SPARC-related modular calcium-binding protein 1 protein (277-382AA)
-
Isotype
- IgG
-
-
-
-
Indications d'application
- Optimal working dilution should be determined by the investigator.
-
Restrictions
- For Research Use only
-
-
-
Format
- Liquid
-
Buffer
-
Preservative: 0.03 % Proclin 300
Constituents: 50 % Glycerol, 0.01M PBS, PH 7.4 -
Agent conservateur
- ProClin
-
Précaution d'utilisation
- This product contains ProClin: a POISONOUS AND HAZARDOUS SUBSTANCE which should be handled by trained staff only.
-
Stock
- -20 °C,-80 °C
-
Stockage commentaire
- Upon receipt, store at -20°C or -80°C. Avoid repeated freeze.
-
-
- SMOC1 (SPARC Related Modular Calcium Binding 1 (SMOC1))
-
Autre désignation
- SMOC1
-
Sujet
-
Background: Plays essential roles in both eye and limb development. Probable regulator of osteoblast differentiation.
Aliases: Secreted modular calcium-binding protein 1 antibody, SMOC-1 antibody, SMOC1 antibody, SMOC1_HUMAN antibody, SPARC-related modular calcium-binding protein 1 antibody
-
UniProt
- Q9H4F8
-
Pathways
- SARS-CoV-2 Protein Interactome
Antigène
-