Tel:
+49 (0)241 95 163 153
Fax:
+49 (0)241 95 163 155
E-Mail:
orders@anticorps-enligne.fr

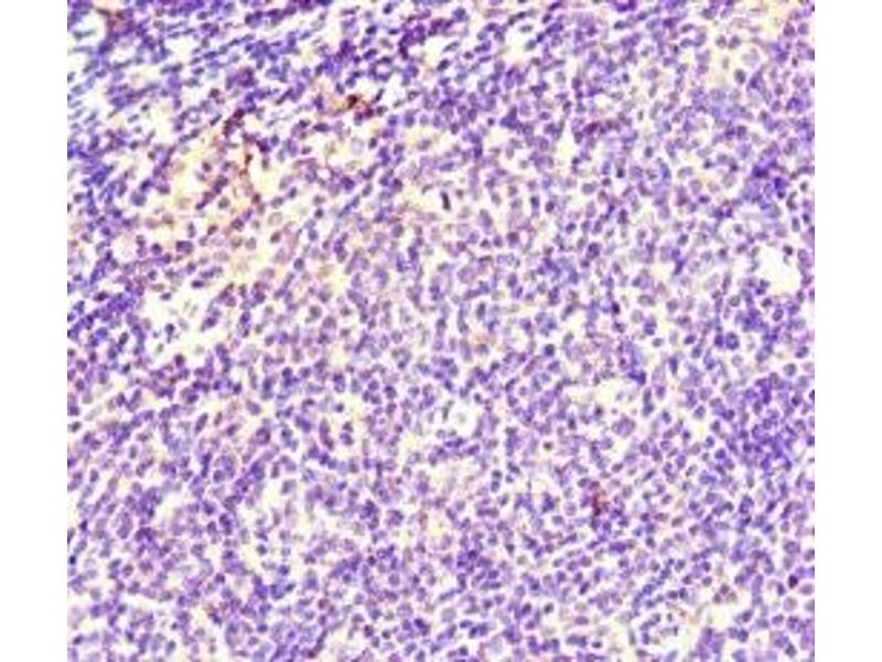
TCL1A anticorps (AA 1-90)

L’anticorps anti-TCL1A Polyclonal Lapin est utilisé pour la détection de TCL1A dans des échantillons de Humain. Il a été validé pour IHC, ELISA et IF.
N° du produit ABIN7171353
328,90 €
Plus frais de livraison 40,00 € et TVA
Destination: France
Envoi sous 11 à 15 jours ouvrables

Aperçu rapide pour TCL1A anticorps (AA 1-90) (ABIN7171353)

Antigène

Voir toutes TCL1A Anticorps
TCL1A (T-Cell Leukemia/lymphoma 1A (TCL1A))

Reactivité

  • 88
  • 3
  • 3
Humain

Hôte

  • 53
  • 37
  • 1
Lapin

Clonalité

  • 57
  • 34
Polyclonal

Conjugué

  • 41
  • 6
  • 3
  • 3
  • 3
  • 3
  • 3
  • 3
  • 3
  • 3
  • 3
  • 2
  • 2
  • 2
  • 2
  • 2
  • 2
  • 1
  • 1
  • 1
  • 1
  • 1
Cet anticorp TCL1A est non-conjugé

Application

  • 54
  • 42
  • 28
  • 20
  • 18
  • 17
  • 15
  • 6
  • 3
  • 3
  • 2
  • 2
Immunohistochemistry (IHC), ELISA, Immunofluorescence (IF)
  • Épitope

    • 34
    • 11
    • 4
    • 4
    • 2
    • 2
    • 2
    • 1
    • 1
    • 1
    • 1
    AA 1-90

    Fonction

    TCL1A Antibody

    Purification

    Protein G purified

    Pureté

    >95 %

    Immunogène

    Recombinant Human T-cell leukemia/lymphoma protein 1A protein (1-90AA)

    Isotype

    IgG
  • Indications d'application

    Optimal working dilution should be determined by the investigator.

    Restrictions

    For Research Use only
  • Format

    Liquid

    Buffer

    Preservative: 0.03 % Proclin 300
    Constituents: 50 % Glycerol, 0.01M PBS, PH 7.4

    Agent conservateur

    ProClin

    Précaution d'utilisation

    This product contains ProClin: a POISONOUS AND HAZARDOUS SUBSTANCE which should be handled by trained staff only.

    Stock

    -20 °C,-80 °C

    Stockage commentaire

    Upon receipt, store at -20°C or -80°C. Avoid repeated freeze.
  • Antigène

    TCL1A (T-Cell Leukemia/lymphoma 1A (TCL1A))

    Autre désignation

    TCL1A

    Sujet

    Background: Enhances the phosphorylation and activation of AKT1, AKT2 and AKT3. Promotes nuclear translocation of AKT1. Enhances cell proliferation, stabilizes mitochondrial membrane potential and promotes cell survival.

    Aliases: Anti TCL1A antibody, Lymphoma/leukemia, T-cell antibody, Oncogene TCL-1 antibody, Oncogene TCL1 antibody, P14 TCL1 antibody, P14 TCL1 protein antibody, Protein p14 TCL1 antibody, T cell leukemia 1 antibody, T cell lymphoma 1 antibody, T cell lymphoma 1A antibody, T-cell leukemia/lymphoma 1A antibody, T-cell leukemia/lymphoma protein 1A antibody, TCL 1 protein antibody, TCL1 antibody, TCL1 oncogene antibody, TCL1 PEN antibody, Tcl1a antibody, TCL1A antibody antibody, TCL1A_HUMAN antibody

    UniProt

    P56279

    Pathways

    Stem Cell Maintenance
Vous êtes ici:
Chat with us!