×
Pour une meilleure utilisation, nous vous conseillons d’activer Javascript dans votre navigateur.
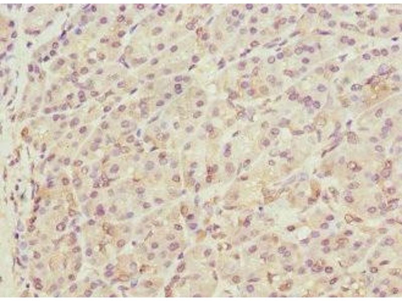
THADA anticorps (AA 1684-1953)
Cet anticorps anti-THADA Polyclonal Lapin (ABIN7172143) détecte spécifiquement THADA dans ELISA et IHC.
L’anticorps est réactif avec des échantillons de Humain.
N° du produit ABIN7172143
328,90 €
Plus frais de livraison 40,00 € et TVA
50 μL ABIN7363199
100 μL ABIN7172143
50 μL ABIN7363199
100 μL ABIN7172143
Envoi sous 11 à 15 jours ouvrables
Aperçu rapide pour THADA anticorps (AA 1684-1953) (ABIN7172143)
Antigène
THADA
(Thyroid adenoma-associated protein (THADA))
Reactivité
Toutes les réactivités sur THADA Anticorps
Humain
Hôte
Toutes les hôtes sur THADA Anticorps
Lapin
Clonalité
Toutes les clonalités sur THADA Anticorps
Polyclonal
Conjugué
Tous les conjugués à travers THADA Anticorps
Cet anticorp THADA est non-conjugé
Application
Tous les applications à travers THADA Anticorps.
ELISA, Immunohistochemistry (IHC)
Détail du produit anti-THADA anticorps
(cache)
Épitope
Tous les épitopes à travers THADA Anticorps.
AA 1684-1953
Fonction
THADA Antibody
Purification
Antigen Affinity Purified
Immunogène
Recombinant Human Thyroid adenoma-associated protein (1684-1953AA)
Isotype
IgG
Alternatives
(show)
Information d'application
(cache)
Indications d'application
Optimal working dilution should be determined by the investigator.
Restrictions
For Research Use only
Stockage
(cache)
Format
Liquid
Buffer
PBS with 0.02 % sodium azide, 50 % glycerol, pH 7.3.
Agent conservateur
Sodium azide
Précaution d'utilisation
This product contains Sodium azide: a POISONOUS AND HAZARDOUS SUBSTANCE which should be handled by trained staff only.
Stock
-20 °C,-80 °C
Stockage commentaire
Upon receipt, store at -20°C or -80°C. Avoid repeated freeze.
Détails sur THADA
(cache)
Antigène
THADA
(Thyroid adenoma-associated protein (THADA))
Autre désignation
THADA
Sujet
THADA antibody, GITA antibody, KIAA1767 antibody, Thyroid adenoma-associated protein antibody, Gene inducing thyroid adenomas protein antibody
UniProt
Q6YHU6
Vus récemment
(cache)
Chat with us , powered by LiveChat