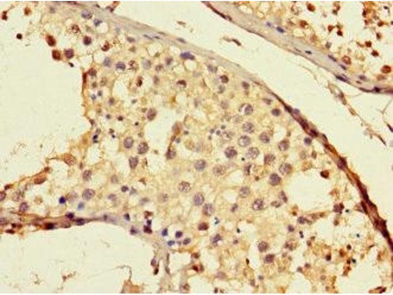
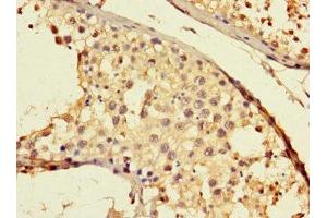
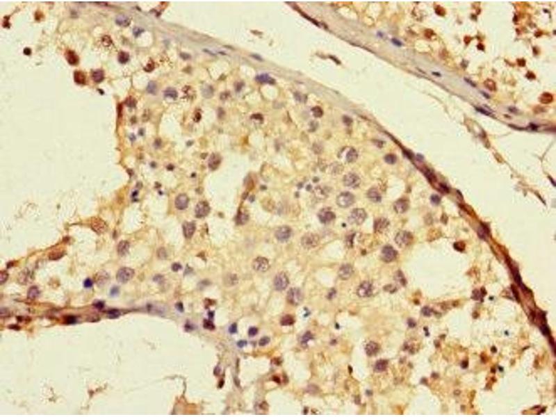
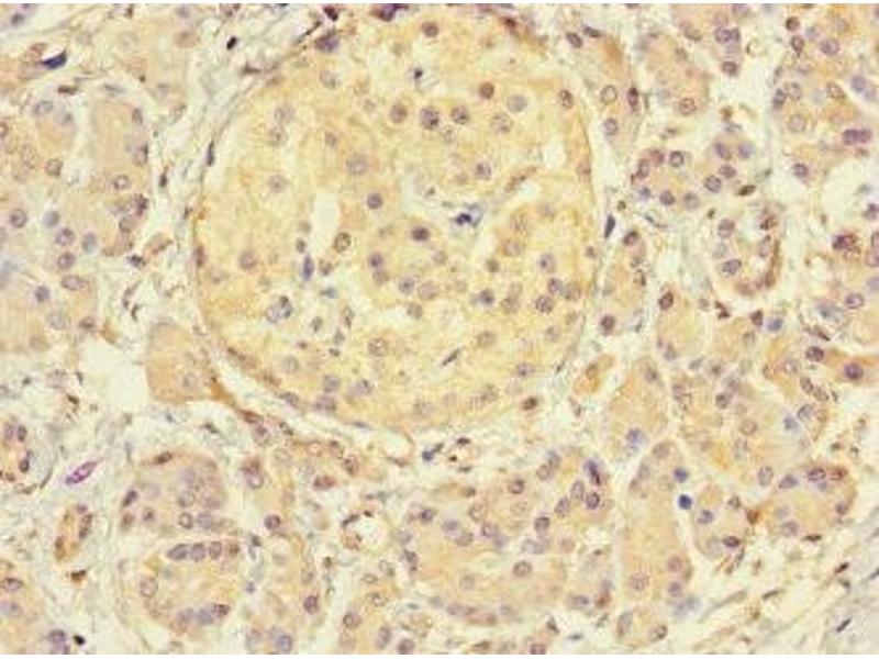
THADA anticorps (AA 432-651)
Cet anticorps Lapin Polyclonal détecte spécifiquement THADA dans ELISA, IHC et IF. Il présente une réactivité avec des échantillons de Humain.
N° du produit ABIN7172144
328,90 €
Plus frais de livraison 40,00 € et TVA
Envoi sous 11 à 15 jours ouvrables
Aperçu rapide pour THADA anticorps (AA 432-651) (ABIN7172144)
Antigène
THADA
(Thyroid adenoma-associated protein (THADA))
Reactivité
Humain
Hôte
Lapin
Clonalité
Polyclonal
Conjugué
Cet anticorp THADA est non-conjugé
Application
ELISA, Immunohistochemistry (IHC), Immunofluorescence (IF)
-
-
Épitope
-
AA 432-651
-
Fonction
-
THADA Antibody
-
Purification
-
Protein G purified
-
Pureté
-
>95 %
-
Immunogène
-
Recombinant Human Thyroid adenoma-associated protein (432-651AA)
-
Isotype
-
IgG
-
-
-
Indications d'application
-
Optimal working dilution should be determined by the investigator.
-
Restrictions
-
For Research Use only
-
-
Format
-
Liquid
-
Buffer
-
Preservative: 0.03 % Proclin 300
Constituents: 50 % Glycerol, 0.01M PBS, PH 7.4
-
Agent conservateur
-
ProClin
-
Précaution d'utilisation
-
This product contains ProClin: a POISONOUS AND HAZARDOUS SUBSTANCE which should be handled by trained staff only.
-
Stock
-
-20 °C,-80 °C
-
Stockage commentaire
-
Upon receipt, store at -20°C or -80°C. Avoid repeated freeze.
-
Antigène
-
THADA
(Thyroid adenoma-associated protein (THADA))
-
Autre désignation
-
THADA
-
Sujet
-
THADA antibody, GITA antibody, KIAA1767 antibody, Thyroid adenoma-associated protein antibody, Gene inducing thyroid adenomas protein antibody
-
UniProt
-
Q6YHU6
-