Tel:
+49 (0)241 95 163 153
Fax:
+49 (0)241 95 163 155
E-Mail:
orders@anticorps-enligne.fr

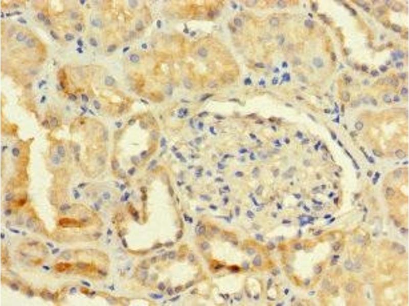
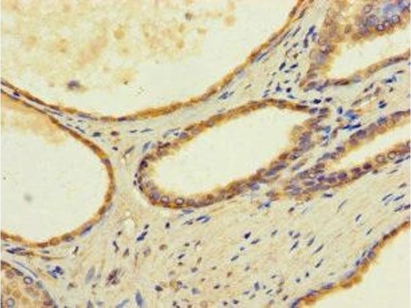
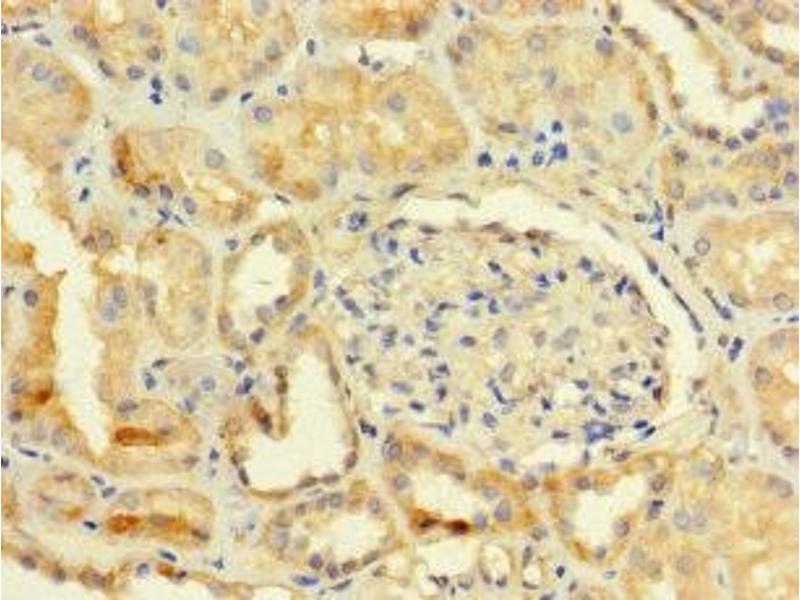
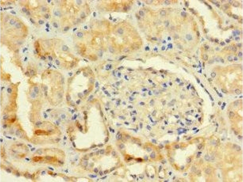
TMEM255B anticorps (AA 221-356)

Cet anticorps Lapin Polyclonal détecte spécifiquement TMEM255B dans ELISA, IHC et IF. Il présente une réactivité avec des échantillons de Humain.
N° du produit ABIN7173179
328,90 €
Plus frais de livraison 40,00 € et TVA
Destination: France
Envoi sous 11 à 15 jours ouvrables

Aperçu rapide pour TMEM255B anticorps (AA 221-356) (ABIN7173179)

Antigène

TMEM255B (Transmembrane Protein 255B (TMEM255B))

Reactivité

  • 4
  • 1
  • 1
Humain

Hôte

  • 5
Lapin

Clonalité

  • 5
Polyclonal

Conjugué

  • 2
  • 1
  • 1
  • 1
Cet anticorp TMEM255B est non-conjugé

Application

ELISA, Immunohistochemistry (IHC), Immunofluorescence (IF)
  • Épitope

    • 4
    • 1
    AA 221-356

    Fonction

    TMEM255B Antibody

    Purification

    Protein G purified

    Pureté

    >95 %

    Immunogène

    Recombinant Human Transmembrane protein 255B protein (221-356AA)

    Isotype

    IgG
  • Indications d'application

    Optimal working dilution should be determined by the investigator.

    Restrictions

    For Research Use only
  • Format

    Liquid

    Buffer

    Preservative: 0.03 % Proclin 300
    Constituents: 50 % Glycerol, 0.01M PBS, PH 7.4

    Agent conservateur

    ProClin

    Précaution d'utilisation

    This product contains ProClin: a POISONOUS AND HAZARDOUS SUBSTANCE which should be handled by trained staff only.

    Stock

    -20 °C,-80 °C

    Stockage commentaire

    Upon receipt, store at -20°C or -80°C. Avoid repeated freeze.
  • Antigène

    TMEM255B (Transmembrane Protein 255B (TMEM255B))

    Autre désignation

    TMEM255B

    Sujet

    TMEM255B antibody, FAM70B antibody, Transmembrane protein 255B antibody, Protein FAM70B antibody

    UniProt

    Q8WV15
Vous êtes ici:
Chat with us!