Tel:
+49 (0)241 95 163 153
Fax:
+49 (0)241 95 163 155
E-Mail:
orders@anticorps-enligne.fr

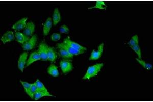
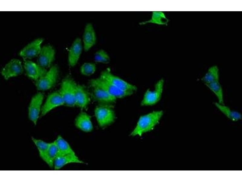
UBE2L6 anticorps (AA 13-153)

Cet anticorps anti-UBE2L6 Polyclonal Lapin (ABIN7174579) détecte spécifiquement UBE2L6 dans ELISA et IF. L’anticorps est réactif avec des échantillons de Humain.
N° du produit ABIN7174579
328,90 €
Plus frais de livraison 40,00 € et TVA
Destination: France
Envoi sous 11 à 15 jours ouvrables

Aperçu rapide pour UBE2L6 anticorps (AA 13-153) (ABIN7174579)

Antigène

Voir toutes UBE2L6 Anticorps
UBE2L6 (Ubiquitin-Conjugating Enzyme E2L 6 (UBE2L6))

Reactivité

  • 31
  • 4
  • 4
  • 2
  • 2
  • 2
  • 1
  • 1
  • 1
  • 1
  • 1
Humain

Hôte

  • 26
  • 6
Lapin

Clonalité

  • 29
  • 3
Polyclonal

Conjugué

  • 23
  • 3
  • 2
  • 2
  • 1
  • 1
Cet anticorp UBE2L6 est non-conjugé

Application

  • 26
  • 15
  • 10
  • 5
  • 4
  • 1
  • 1
  • 1
  • 1
  • 1
  • 1
ELISA, Immunofluorescence (IF)
  • Épitope

    • 8
    • 6
    • 5
    • 4
    • 3
    • 2
    • 1
    • 1
    • 1
    • 1
    AA 13-153

    Fonction

    UBE2L6 Antibody

    Purification

    Protein G purified

    Pureté

    >95 %

    Immunogène

    Recombinant Human Ubiquitin/ISG15-conjugating enzyme E2 L6 protein (13-153AA)

    Isotype

    IgG
  • Indications d'application

    Optimal working dilution should be determined by the investigator.

    Restrictions

    For Research Use only
  • Format

    Liquid

    Buffer

    Preservative: 0.03 % Proclin 300
    Constituents: 50 % Glycerol, 0.01M PBS, pH 7.4

    Agent conservateur

    ProClin

    Précaution d'utilisation

    This product contains ProClin: a POISONOUS AND HAZARDOUS SUBSTANCE which should be handled by trained staff only.

    Stock

    -20 °C,-80 °C

    Stockage commentaire

    Upon receipt, store at -20°C or -80°C. Avoid repeated freeze.
  • Antigène

    UBE2L6 (Ubiquitin-Conjugating Enzyme E2L 6 (UBE2L6))

    Autre désignation

    UBE2L6

    Sujet

    Background: Catalyzes the covalent attachment of ubiquitin or ISG15 to other proteins. Functions in the E6/E6-AP-induced ubiquitination of p53/TP53. Promotes ubiquitination and subsequent proteasomal degradation of FLT3.

    Aliases: MGC40331 antibody, Retinoic acid induced gene B protein antibody, Retinoic acid-induced gene B protein antibody, RIG B antibody, RIG-B antibody, UB2L6_HUMAN antibody, UBCH 8 antibody, UbcH8 antibody, UBE2L6 antibody, Ubiquitin carrier protein antibody, Ubiquitin carrier protein L6 antibody, Ubiquitin conjugating enzyme E2L 6 antibody, Ubiquitin protein ligase antibody, Ubiquitin protein ligase L6 antibody, Ubiquitin-protein ligase L6 antibody, Ubiquitin/ISG15 conjugating enzyme E2 L6 antibody, Ubiquitin/ISG15-conjugating enzyme E2 L6 antibody

    UniProt

    O14933
Vous êtes ici:
Chat with us!