Tel:
+49 (0)241 95 163 153
Fax:
+49 (0)241 95 163 155
E-Mail:
orders@anticorps-enligne.fr

UBXN8 anticorps (AA 55-270)

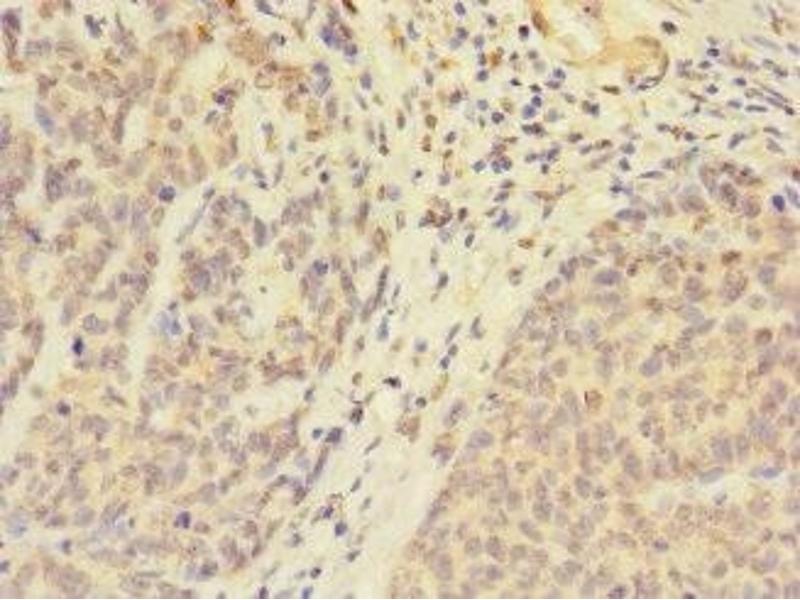
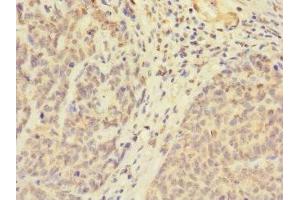
Cet anticorps anti-UBXN8 Polyclonal Lapin (ABIN7174603) détecte spécifiquement UBXN8 dans ELISA et IHC. L’anticorps est réactif avec des échantillons de Humain.
N° du produit ABIN7174603
328,90 €
Plus frais de livraison 40,00 € et TVA
Destination: France
Envoi sous 11 à 15 jours ouvrables

Aperçu rapide pour UBXN8 anticorps (AA 55-270) (ABIN7174603)

Antigène

Voir toutes UBXN8 Anticorps
UBXN8 (UBX Domain Protein 8 (UBXN8))

Reactivité

Humain

Hôte

  • 16
  • 1
Lapin

Clonalité

  • 17
Polyclonal

Conjugué

  • 8
  • 3
  • 2
  • 2
  • 1
  • 1
Cet anticorp UBXN8 est non-conjugé

Application

  • 13
  • 12
  • 1
  • 1
  • 1
ELISA, Immunohistochemistry (IHC)
  • Épitope

    • 8
    • 4
    • 3
    • 2
    • 1
    • 1
    • 1
    AA 55-270

    Fonction

    UBXN8 Antibody

    Purification

    Protein G purified

    Pureté

    >95 %

    Immunogène

    Recombinant Human UBX domain-containing protein 8 protein (55-270AA)

    Isotype

    IgG
  • Indications d'application

    Optimal working dilution should be determined by the investigator.

    Restrictions

    For Research Use only
  • Format

    Liquid

    Buffer

    Preservative: 0.03 % Proclin 300
    Constituents: 50 % Glycerol, 0.01M PBS, PH 7.4

    Agent conservateur

    ProClin

    Précaution d'utilisation

    This product contains ProClin: a POISONOUS AND HAZARDOUS SUBSTANCE which should be handled by trained staff only.

    Stock

    -20 °C,-80 °C

    Stockage commentaire

    Upon receipt, store at -20°C or -80°C. Avoid repeated freeze.
  • Antigène

    UBXN8 (UBX Domain Protein 8 (UBXN8))

    Autre désignation

    UBXN8

    Sujet

    Background: Involved in endoplasmic reticulum-associated degradation (ERAD) for misfolded lumenal proteins, possibly by tethering VCP to the endoplasmic reticulum membrane. May play a role in reproduction.

    Aliases: UBXN8 antibody, D8S2298E antibody, REP8 antibody, UBXD6 antibody, UBX domain-containing protein 8 antibody, Reproduction 8 protein antibody, Rep-8 protein antibody, UBX domain-containing protein 6 antibody

    UniProt

    O00124

    Pathways

    SARS-CoV-2 Protein Interactome
Vous êtes ici:
Chat with us!