×
Pour une meilleure utilisation, nous vous conseillons d’activer Javascript dans votre navigateur.
C17orf64 anticorps (AA 111-236)
L’anticorps anti-C17orf64 Polyclonal Lapin est utilisé pour la détection de C17orf64 dans des échantillons de Humain. Il a été validé pour WB, ELISA et IHC.
N° du produit ABIN7174755
328,90 €
Plus frais de livraison 40,00 € et TVA
50 μg ABIN7356042
100 μg ABIN7174755
50 μg ABIN7356042
100 μg ABIN7174755
Envoi sous 11 à 15 jours ouvrables
Aperçu rapide pour C17orf64 anticorps (AA 111-236) (ABIN7174755)
Antigène
C17orf64
(Chromosome 17 Open Reading Frame 64 (C17orf64))
Reactivité
Toutes les réactivités sur C17orf64 Anticorps
Humain
Hôte
Toutes les hôtes sur C17orf64 Anticorps
Lapin
Clonalité
Toutes les clonalités sur C17orf64 Anticorps
Polyclonal
Conjugué
Tous les conjugués à travers C17orf64 Anticorps
Cet anticorp C17orf64 est non-conjugé
Application
Tous les applications à travers C17orf64 Anticorps.
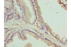
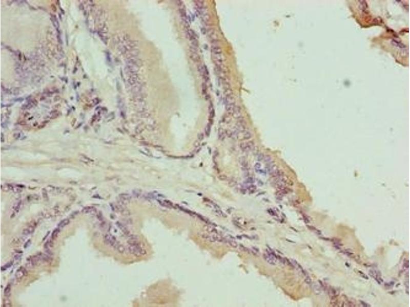
Western Blotting (WB), ELISA, Immunohistochemistry (IHC)
Détail du produit anti-C17orf64 anticorps
(cache)
Épitope
Tous les épitopes à travers C17orf64 Anticorps.
AA 111-236
Fonction
C17orf64 Antibody
Réactivité croisée
Souris
Purification
Protein G purified
Pureté
>95 %
Immunogène
Recombinant Human Uncharacterized protein C17orf64 protein (111-236AA)
Isotype
IgG
Alternatives
(show)
Information d'application
(cache)
Indications d'application
Optimal working dilution should be determined by the investigator.
Restrictions
For Research Use only
Stockage
(cache)
Format
Liquid
Buffer
Preservative: 0.03 % Proclin 300 Constituents: 50 % Glycerol, 0.01M PBS, PH 7.4
Agent conservateur
ProClin
Précaution d'utilisation
This product contains ProClin: a POISONOUS AND HAZARDOUS SUBSTANCE which should be handled by trained staff only.
Stock
-20 °C,-80 °C
Stockage commentaire
Upon receipt, store at -20°C or -80°C. Avoid repeated freeze.
Détails sur C17orf64
(cache)
Antigène
C17orf64
(Chromosome 17 Open Reading Frame 64 (C17orf64))
Autre désignation
C17orf64
Sujet
C17orf64 antibody, Chromosome 17 open reading frame 64 antibody, CQ064_HUMAN antibody, Hypothetical protein LOC124773 antibody, Uncharacterized protein C17orf64 antibody
UniProt
Q86WR6
Vus récemment
(cache)
Chat with us , powered by LiveChat