Tel:
+49 (0)241 95 163 153
Fax:
+49 (0)241 95 163 155
E-Mail:
orders@anticorps-enligne.fr

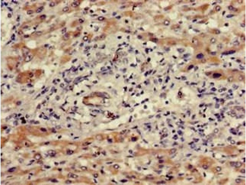
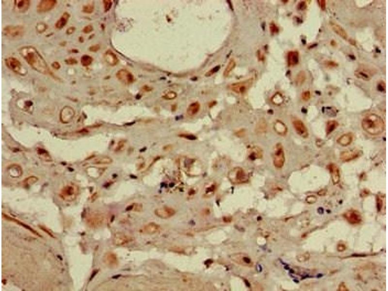
WDR19 anticorps (AA 45-226)

L’anticorps anti-WDR19 Polyclonal Lapin est utilisé pour la détection de WDR19 dans des échantillons de Humain. Il a été validé pour ELISA, IHC et IF.
N° du produit ABIN7175730
328,90 €
Plus frais de livraison 40,00 € et TVA
Destination: France
Envoi sous 11 à 15 jours ouvrables

Aperçu rapide pour WDR19 anticorps (AA 45-226) (ABIN7175730)

Antigène

Voir toutes WDR19 Anticorps
WDR19 (WD Repeat Domain 19 (WDR19))

Reactivité

  • 20
  • 3
  • 2
Humain

Hôte

  • 16
  • 4
Lapin

Clonalité

  • 20
Polyclonal

Conjugué

  • 10
  • 2
  • 1
  • 1
  • 1
  • 1
  • 1
  • 1
  • 1
  • 1
Cet anticorp WDR19 est non-conjugé

Application

  • 10
  • 5
  • 2
  • 1
  • 1
  • 1
ELISA, Immunohistochemistry (IHC), Immunofluorescence (IF)
  • Épitope

    • 5
    • 4
    • 1
    • 1
    • 1
    AA 45-226

    Fonction

    WDR19 Antibody

    Purification

    Protein G purified

    Pureté

    >95 %

    Immunogène

    Recombinant Human WD repeat-containing protein 19 protein (45-226AA)

    Isotype

    IgG
  • Indications d'application

    Optimal working dilution should be determined by the investigator.

    Restrictions

    For Research Use only
  • Format

    Liquid

    Buffer

    Preservative: 0.03 % Proclin 300
    Constituents: 50 % Glycerol, 0.01M PBS, pH 7.4

    Agent conservateur

    ProClin

    Précaution d'utilisation

    This product contains ProClin: a POISONOUS AND HAZARDOUS SUBSTANCE which should be handled by trained staff only.

    Stock

    -20 °C,-80 °C

    Stockage commentaire

    Upon receipt, store at -20°C or -80°C. Avoid repeated freeze.
  • Antigène

    WDR19 (WD Repeat Domain 19 (WDR19))

    Autre désignation

    WDR19

    Sujet

    Background: Component of the IFT complex A (IFT-A), a complex required for retrograde ciliary transport (PubMed:20889716). Involved in cilia function and/or assembly (By similarity). Associates with the BBSome complex to mediate ciliary transport (By similarity).

    Aliases: DYF 2 antibody, DYF2 antibody, FLJ23127 antibody, IFT144 antibody, Intraflagellar transport 144 homolog antibody, KIAA1638 antibody, ORF26 antibody, Oseg6 antibody, PWDMP antibody, WD repeat containing protein 19 antibody, WD repeat domain 19 antibody, WD repeat membrane protein PWDMP antibody, WD repeat-containing protein 19 antibody, Wdr19 antibody, WDR19_HUMAN antibody

    UniProt

    Q8NEZ3

    Pathways

    Signalisation Hedgehog
Vous êtes ici:
Chat with us!