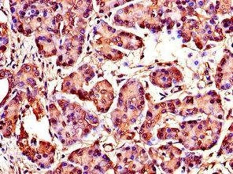
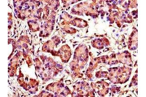
WISP1 anticorps (AA 130-251)
Aperçu rapide pour WISP1 anticorps (AA 130-251) (ABIN7175846)
Antigène
Voir toutes WISP1 AnticorpsReactivité
Hôte
Clonalité
Conjugué
Application
-
-
Épitope
- AA 130-251
-
Fonction
- WISP1 Antibody
-
Réactivité croisée
- Souris
-
Purification
- Protein G purified
-
Pureté
- >95 %
-
Immunogène
- Recombinant Human WNT1-inducible-signaling pathway protein 1 protein (130-251AA)
-
Isotype
- IgG
-
-
-
-
Indications d'application
- Optimal working dilution should be determined by the investigator.
-
Restrictions
- For Research Use only
-
-
-
Format
- Liquid
-
Buffer
-
Preservative: 0.03 % Proclin 300
Constituents: 50 % Glycerol, 0.01M PBS, PH 7.4 -
Agent conservateur
- ProClin
-
Précaution d'utilisation
- This product contains ProClin: a POISONOUS AND HAZARDOUS SUBSTANCE which should be handled by trained staff only.
-
Stock
- -20 °C,-80 °C
-
Stockage commentaire
- Upon receipt, store at -20°C or -80°C. Avoid repeated freeze.
-
-
- WISP1 (WNT1 Inducible Signaling Pathway Protein 1 (WISP1))
-
Autre désignation
- WISP1
-
Sujet
-
Background: Downstream regulator in the Wnt/Frizzled-signaling pathway. Associated with cell survival. Attenuates p53-mediated apoptosis in response to DNA damage through activation of AKT kinase. Up-regulates the anti-apoptotic Bcl-X(L) protein. Adheres to skin and melanoma fibroblasts. In vitro binding to skin fibroblasts occurs through the proteoglycans, decorin and biglycan.
Aliases: CCN4 antibody, WISP1 antibody, CCN family member 4 antibody, WNT1-inducible-signaling pathway protein 1 antibody, WISP-1 antibody, Wnt-1-induced secreted protein antibody
-
UniProt
- O95388
-
Pathways
- Signalisation WNT, Growth Factor Binding
Antigène
-