Tel:
+49 (0)241 95 163 153
Fax:
+49 (0)241 95 163 155
E-Mail:
orders@anticorps-enligne.fr

CASZ1 anticorps (AA 851-950)

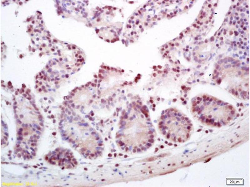
L’anticorps anti-CASZ1 Polyclonal Lapin est utilisé pour la détection de CASZ1 dans des échantillons de Humain, Souris et Rat. Il a été validé pour WB, ELISA, IHC (p), IF (cc), IF (p) et IHC (fro).
N° du produit ABIN713681
357,70 €
Plus frais de livraison 40,00 € et TVA
100 μL
Destination: France
Envoi sous 8 à 12 jours ouvrables

Aperçu rapide pour CASZ1 anticorps (AA 851-950) (ABIN713681)

Antigène

Voir toutes CASZ1 Anticorps
CASZ1 (Castor Zinc Finger 1 (CASZ1))

Reactivité

  • 30
  • 15
  • 4
  • 4
  • 3
  • 3
  • 1
  • 1
  • 1
  • 1
  • 1
Humain, Souris, Rat

Hôte

  • 29
  • 1
Lapin

Clonalité

  • 30
Polyclonal

Conjugué

  • 15
  • 2
  • 2
  • 2
  • 2
  • 1
  • 1
  • 1
  • 1
  • 1
  • 1
  • 1
Cet anticorp CASZ1 est non-conjugé

Application

Western Blotting (WB), ELISA, Immunohistochemistry (Paraffin-embedded Sections) (IHC (p)), Immunofluorescence (Cultured Cells) (IF (cc)), Immunofluorescence (Paraffin-embedded Sections) (IF (p)), Immunohistochemistry (Frozen Sections) (IHC (fro))
  • Épitope

    • 8
    • 4
    • 4
    • 3
    • 3
    • 2
    • 1
    • 1
    • 1
    AA 851-950

     Réactivité croisée

    Humain, Souris, Rat

    Purification

    Purified by Protein A.

    Immunogène

    KLH conjugated synthetic peptide derived from human ZNF693/CASZ1

    Isotype

    IgG
  • Indications d'application

    WB 1:300-5000
    ELISA 1:500-1000
    IHC-P 1:200-400
    IHC-F 1:100-500
    IF(IHC-P) 1:50-200
    IF(IHC-F) 1:50-200
    IF(ICC) 1:50-200

    Restrictions

    For Research Use only
  • Format

    Liquid

    Concentration

    1 μg/μL

    Buffer

    0.01M TBS( pH 7.4) with 1 % BSA, 0.02 % Proclin300 and 50 % Glycerol.

    Agent conservateur

    ProClin

    Précaution d'utilisation

    This product contains ProClin: a POISONOUS AND HAZARDOUS SUBSTANCE, which should be handled by trained staff only.

    Stock

    4 °C,-20 °C

    Stockage commentaire

    Shipped at 4°C. Store at -20°C for one year. Avoid repeated freeze/thaw cycles.

    Date de péremption

    12 months
  • Antigène

    CASZ1 (Castor Zinc Finger 1 (CASZ1))

    Autre désignation

    ZNF693

    Sujet

    Synonyms: CST, SRG, CAS11, ZNF693, dJ734G22.1, Zinc finger protein castor homolog 1, Castor-related protein, Putative survival-related protein, Zinc finger protein 693, CASZ1

    Background: Transcription factor involved in vascular assembly and morphogenesis through direct transcriptional regulation of EGFL7.

    ID gène

    54897

    UniProt

    Q86V15
Vous êtes ici:
Chat with us!