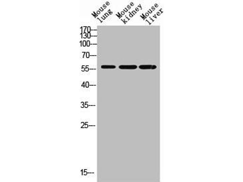
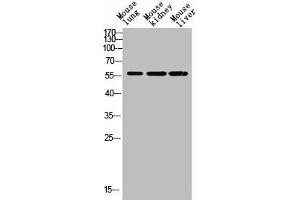
HNF4A anticorps (acLys127)
Aperçu rapide pour HNF4A anticorps (acLys127) (ABIN7189091)
Antigène
Voir toutes HNF4A AnticorpsReactivité
Hôte
Clonalité
Conjugué
Application
-
-
Épitope
- acLys127
-
Fonction
- Acetyl-HNF4A/HNF4G (Lys127/79) Antibody
-
Réactivité croisée
- Souris, Rat
-
Purification
- The antibody was affinity-purified from rabbit serum by affinity-chromatography using specific immunogen.
-
Immunogène
- Synthetic Acetyl peptide from Human protein at AA range: 127(HNF-4alpha)/79(HNF-4gamma)
-
Isotype
- IgG
-
-
-
-
Indications d'application
- Optimal working dilution should be determined by the investigator.
-
Restrictions
- For Research Use only
-
-
-
Format
- Liquid
-
Buffer
- PBS, pH 7.4, containing 0.02 % sodium azide as Preservative and 50 % Glycerol.
-
Agent conservateur
- Sodium azide
-
Précaution d'utilisation
- This product contains Sodium azide: a POISONOUS AND HAZARDOUS SUBSTANCE which should be handled by trained staff only.
-
Stock
- -20 °C,-80 °C
-
Stockage commentaire
- Upon receipt, store at -20°C or -80°C. Avoid repeated freeze.
-
-
- HNF4A (Hepatocyte Nuclear Factor 4, alpha (HNF4A))
-
Autre désignation
- HNF4A
-
Sujet
- Hepatocyte nuclear factor 4-alpha (HNF-4-alpha) (Nuclear receptor subfamily 2 group A member 1) (Transcription factor 14) Hepatocyte nuclear factor 4-gamma (HNF-4-gamma) (Nuclear receptor subfamily 2 group A member 2)(TCF-14) (Transcription factor HNF-4)
-
UniProt
- P41235, Q14541
-
Pathways
- AMPK Signaling, Nuclear Receptor Transcription Pathway, Steroid Hormone Mediated Signaling Pathway, Carbohydrate Homeostasis, Cell-Cell Junction Organization, Regulation of Carbohydrate Metabolic Process
Antigène
-