Tel:
+49 (0)241 95 163 153
Fax:
+49 (0)241 95 163 155
E-Mail:
orders@anticorps-enligne.fr

Cyclin A anticorps (AA 190-270)

Cet anticorps Lapin Polyclonal détecte spécifiquement Cyclin A dans WB, IF, ELISA et IHC (p). Il présente une réactivité avec des échantillons de Humain, Souris, Rat et Singe.
N° du produit ABIN7214390
623,62 €
Plus frais de livraison 40,00 € et TVA
Destination: France
Envoi sous 10 à 14 jours ouvrables

Aperçu rapide pour Cyclin A anticorps (AA 190-270) (ABIN7214390)

Antigène

Voir toutes Cyclin A (CCNA2) Anticorps
Cyclin A (CCNA2) (Cyclin A2 (CCNA2))

Reactivité

  • 129
  • 74
  • 52
  • 30
  • 15
  • 15
  • 12
  • 6
  • 5
  • 4
  • 3
  • 3
  • 2
  • 2
  • 1
  • 1
Humain, Souris, Rat, Singe

Hôte

  • 89
  • 45
  • 1
  • 1
Lapin

Clonalité

  • 89
  • 47
Polyclonal

Conjugué

  • 75
  • 8
  • 5
  • 5
  • 5
  • 5
  • 5
  • 5
  • 3
  • 3
  • 2
  • 2
  • 2
  • 2
  • 2
  • 2
  • 2
  • 2
  • 1
Cet anticorp Cyclin A est non-conjugé

Application

  • 90
  • 64
  • 48
  • 32
  • 23
  • 23
  • 16
  • 14
  • 10
  • 4
  • 3
  • 3
  • 2
  • 2
  • 2
  • 1
  • 1
  • 1
  • 1
  • 1
Western Blotting (WB), Immunofluorescence (IF), ELISA, Immunohistochemistry (Paraffin-embedded Sections) (IHC (p))
  • Épitope

    • 13
    • 5
    • 2
    • 2
    • 2
    • 2
    • 2
    • 1
    • 1
    • 1
    • 1
    • 1
    • 1
    • 1
    • 1
    • 1
    • 1
    • 1
    AA 190-270

    Fonction

    Cyclin A Polyclonal Antibody

    Specificité

    Cyclin A Polyclonal Antibody detects endogenous levels of Cyclin A protein.

    Purification

    The antibody was affinity-purified from rabbit antiserum by affinity-chromatography using epitope-specific immunogen

    Immunogène

    Synthesized peptide derived from the Internal region of human Cyclin A at AA range: 190-270

    Isotype

    IgG
  • Indications d'application

    Optimal working dilutions should be determined experimentally by the investigator. Suggested starting dilutions are as follows: WB (1:500-1:2000), IHC-P (1:100-1:300), IF (1:200-1:1000), ELISA (1:10000). Not yet tested in other applications.

    Commentaires

    Primary Antibody

    Restrictions

    For Research Use only
  • Format

    Liquid

    Concentration

    1 mg/mL

    Buffer

    PBS containing 50 % Glycerol, 0.5 % BSA and 0.02 % Sodium Azide.

    Agent conservateur

    Sodium azide

    Précaution d'utilisation

    This product contains Sodium azide: a POISONOUS AND HAZARDOUS SUBSTANCE which should be handled by trained staff only.

    Stock

    -20 °C

    Stockage commentaire

    Stable for one year at -20°C from date of shipment. For maximum recovery of product, centrifuge the original vial after thawing and prior to removing the cap. Aliquot to avoid repeated freezing and thawing.
  • Antigène

    Cyclin A (CCNA2) (Cyclin A2 (CCNA2))

    Autre désignation

    Cyclin A

    Sujet

    Rabbit Anti-Cyclin A Polyclonal Antibody,CCNA1, Cyclin-A1, CCNA2, CCN1, CCNA, Cyclin-A2, Cyclin-A,Cyclin A1 encoded by CCNA1 belongs to the highly conserved cyclin family, whose members are characterized by a dramatic periodicity in protein abundance through the cell cycle. Cyclins function as regulators of CDK kinases. Different cyclins exhibit distinct expression and degradation patterns which contribute to the temporal coordination of each mitotic event. The cyclin encoded by this gene was shown to be expressed in testis and brain, as well as in several leukemic cell lines, and is thought to primarily function in the control of the germline meiotic cell cycle. This cyclin binds both CDK2 and CDC2 kinases, which give two distinct kinase activities, one appearing in S phase, the other in G2, and thus regulate separate functions in cell cycle. This cyclin was found to bind to important cell cycle regulators, such as Rb family proteins, transcription factor E2F-1, and the p21 family proteins. Multiple transcript variants encoding different isoforms have been found for CCNA1.,Cyclin-A1

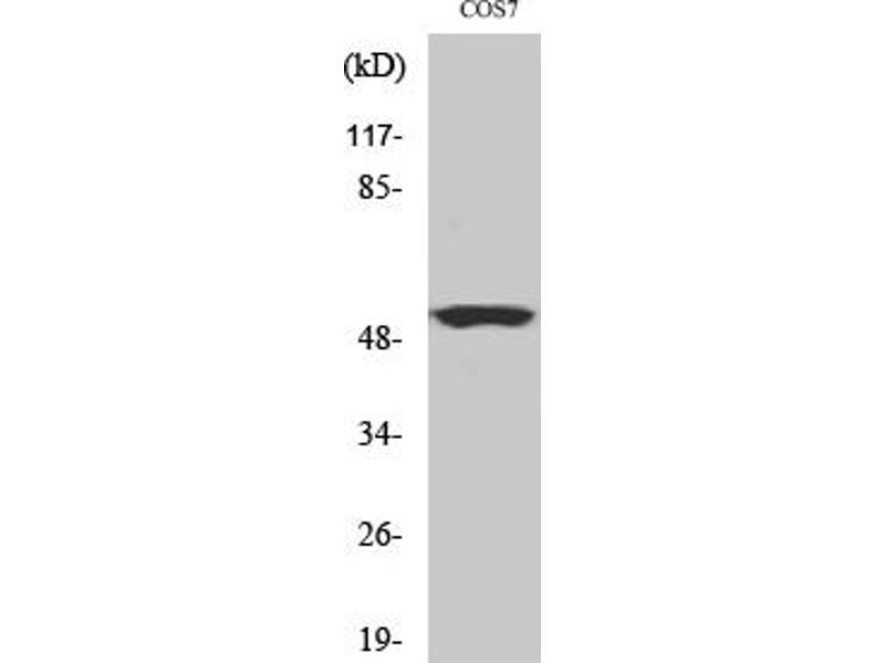
    Poids moléculaire

    observerd band 53kDa

    ID gène

    8900, 890

    Pathways

    Signalisation PI3K-Akt, Cycle Cellulaire, AMPK Signaling, Mitotic G1-G1/S Phases, DNA Replication, M Phase, Synthesis of DNA
Vous êtes ici:
Chat with us!