Tel:
+49 (0)241 95 163 153
Fax:
+49 (0)241 95 163 155
E-Mail:
orders@anticorps-enligne.fr

MEK1/2 anticorps

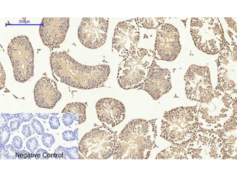
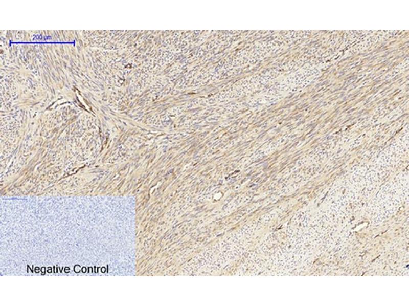
Cet anticorps Lapin Polyclonal détecte spécifiquement MEK1/2 dans WB, ELISA, IHC (p) et IF. Il présente une réactivité avec des échantillons de Humain, Souris, Rat et Singe.
N° du produit ABIN7206521
613,62 €
Plus frais de livraison 40,00 € et TVA
100 μL
Destination: France
Envoi sous 10 à 14 jours ouvrables

Aperçu rapide pour MEK1/2 anticorps (ABIN7206521)

Antigène

MEK1/2 (MAP2K1/2) (Mitogen-Activated Protein Kinase Kinase 1/2 (MAP2K1/2))

Reactivité

  • 82
  • 78
  • 78
  • 10
  • 3
  • 2
  • 2
  • 2
  • 2
  • 1
  • 1
  • 1
  • 1
Humain, Souris, Rat, Singe

Hôte

  • 82
  • 1
Lapin

Clonalité

  • 64
  • 19
Polyclonal

Conjugué

  • 19
  • 5
  • 3
  • 3
  • 3
  • 3
  • 3
  • 3
  • 3
  • 3
  • 3
  • 3
  • 3
  • 3
  • 3
  • 3
  • 3
  • 3
  • 3
  • 3
  • 3
  • 1
  • 1
Cet anticorp MEK1/2 est non-conjugé

Application

  • 70
  • 27
  • 27
  • 19
  • 14
  • 11
  • 11
  • 10
  • 9
  • 6
  • 1
Western Blotting (WB), ELISA, Immunohistochemistry (Paraffin-embedded Sections) (IHC (p)), Immunofluorescence (IF)
  • Fonction

    MEK-1/2 Polyclonal Antibody

    Specificité

    MEK-1/2 Polyclonal Antibody detects endogenous levels of MEK-1/2 protein.

    Purification

    The antibody was affinity-purified from rabbit antiserum by affinity-chromatography using epitope-specific immunogen

    Immunogène

    Synthesized peptide derived from human MEK-1/2 around the non-phosphorylation site of S218/222

    Isotype

    IgG
  • Indications d'application

    Optimal working dilutions should be determined experimentally by the investigator. Suggested starting dilutions are as follows: WB (1:500-1:2000), IF (1:50-1:200), IHC-P (1:50-1:300), ELISA (1:10000-1:20000). Not yet tested in other applications.

    Restrictions

    For Research Use only
  • Format

    Liquid

    Concentration

    1 mg/mL

    Buffer

    PBS containing 50 % Glycerol, 0.5 % BSA and 0.02 % Sodium Azide.

    Agent conservateur

    Sodium azide

    Précaution d'utilisation

    This product contains Sodium azide: a POISONOUS AND HAZARDOUS SUBSTANCE which should be handled by trained staff only.

    Stock

    -20 °C

    Stockage commentaire

    Stable for one year at -20°C from date of shipment. For maximum recovery of product, centrifuge the original vial after thawing and prior to removing the cap. Aliquot to avoid repeated freezing and thawing.
  • Antigène

    MEK1/2 (MAP2K1/2) (Mitogen-Activated Protein Kinase Kinase 1/2 (MAP2K1/2))

    Autre désignation

    MEK-1/2

    Sujet

    Rabbit Anti-MEK-1/2 Polyclonal Antibody,MAP2K1, MEK1, PRKMK1, Dual specificity mitogen-activated protein kinase kinase 1, MAP kinase kinase 1, MAPKK 1, MKK1, ERK activator kinase 1, MAPK/ERK kinase 1, MEK 1, MAP2K2, MEK2, MKK2, PRKMK2, Dual specificity mitogen-activated protein k,Dual specificity mitogen-activated protein kinase kinase 2 encoded by MAP2K2 is a dual specificity protein kinase that belongs to the MAP kinase kinase family. Dual specificity mitogen-activated protein kinase kinase 2 is known to play a critical role in mitogen growth factor signal transduction. It phosphorylates and thus activates MAPK1/ERK2 and MAPK2/ERK3. The activation of this kinase itself is dependent on the Ser/Thr phosphorylation by MAP kinase kinase kinases. Mutations in this gene cause cardiofaciocutaneous syndrome (CFC syndrome), a disease characterized by heart defects, mental retardation, and distinctive facial features similar to those found in Noonan syndrome. The inhibition or degradation of this kinase is also found to be involved in the pathogenesis of Yersinia and anthrax. A pseudogene, which is located on chromosome 7, has been identified for this gene.,Dual specificity mitogen-activated protein kinase kinase 1

    ID gène

    5604, 5605
Vous êtes ici:
Chat with us!