Tel:
+49 (0)241 95 163 153
Fax:
+49 (0)241 95 163 155
E-Mail:
orders@anticorps-enligne.fr

OPN4 anticorps (AA 400-480)

Cet anticorps anti-OPN4 Polyclonal Lapin (ABIN7215736) détecte spécifiquement OPN4 dans WB, ELISA et IF. L’anticorps est réactif avec des échantillons de Humain.
N° du produit ABIN7215736
623,62 €
Plus frais de livraison 40,00 € et TVA
Destination: France
Envoi sous 10 à 14 jours ouvrables

Aperçu rapide pour OPN4 anticorps (AA 400-480) (ABIN7215736)

Antigène

Voir toutes OPN4 Anticorps
OPN4 (Opsin 4 (OPN4))

Reactivité

  • 6
  • 2
  • 1
Humain

Hôte

  • 7
Lapin

Clonalité

  • 7
Polyclonal

Conjugué

  • 7
Cet anticorp OPN4 est non-conjugé

Application

  • 7
  • 5
  • 3
  • 1
Western Blotting (WB), ELISA, Immunofluorescence (IF)
  • Épitope

    • 3
    • 1
    • 1
    • 1
    • 1
    AA 400-480

    Fonction

    Melanopsin Polyclonal Antibody

    Specificité

    Melanopsin Polyclonal Antibody detects endogenous levels of Melanopsin protein.

    Purification

    The antibody was affinity-purified from rabbit antiserum by affinity-chromatography using epitope-specific immunogen

    Immunogène

    Synthesized peptide derived from the C-terminal region of human Melanopsin at AA range: 400-480

    Isotype

    IgG
  • Indications d'application

    Optimal working dilutions should be determined experimentally by the investigator. Suggested starting dilutions are as follows: WB (1:500-1:2000), IF (1:200-1:1000), ELISA (1:5000). Not yet tested in other applications.

    Commentaires

    Primary Antibody

    Restrictions

    For Research Use only
  • Format

    Liquid

    Concentration

    1 mg/mL

    Buffer

    PBS containing 50 % Glycerol, 0.5 % BSA and 0.02 % Sodium Azide.

    Agent conservateur

    Sodium azide

    Précaution d'utilisation

    This product contains Sodium azide: a POISONOUS AND HAZARDOUS SUBSTANCE which should be handled by trained staff only.

    Stock

    -20 °C

    Stockage commentaire

    Stable for one year at -20°C from date of shipment. For maximum recovery of product, centrifuge the original vial after thawing and prior to removing the cap. Aliquot to avoid repeated freezing and thawing.
  • Antigène

    OPN4 (Opsin 4 (OPN4))

    Autre désignation

    Melanopsin

    Sujet

    Rabbit Anti-Melanopsin Polyclonal Antibody,OPN4, MOP, Melanopsin, Opsin-4,Opsins are members of the guanine nucleotide-binding protein (G protein)-coupled receptor superfamily. OPN4 encodes a photoreceptive opsin protein melanopsin that is expressed within the ganglion and amacrine cell layers of the retina. In mouse, retinal ganglion cell axons expressing this gene projected to the suprachiasmatic nucleus and other brain nuclei involved in circadian photoentrainment. In mouse, this protein is coupled to a transient receptor potential (TRP) ion channel through a G protein signaling pathway and produces a physiologic light response via membrane depolarization and increased intracellular calcium. Melanopsin functions as a sensory photopigment and may also have photoisomerase activity. Experiments with knockout mice indicate that this gene attenuates, but does not abolish, photoentrainment. Alternative splicing results in multiple transcript variants encoding different isoforms.,Melanopsin

    Poids moléculaire

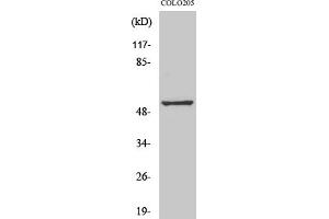
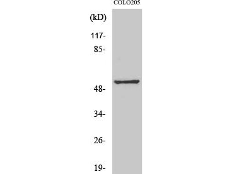
    observerd band 55kDa

    ID gène

    94233

    UniProt

    Q9UHM6
Vous êtes ici:
Chat with us!