Tel:
+49 (0)241 95 163 153
Fax:
+49 (0)241 95 163 155
E-Mail:
orders@anticorps-enligne.fr

BAF53A anticorps

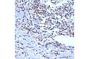
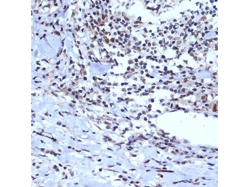
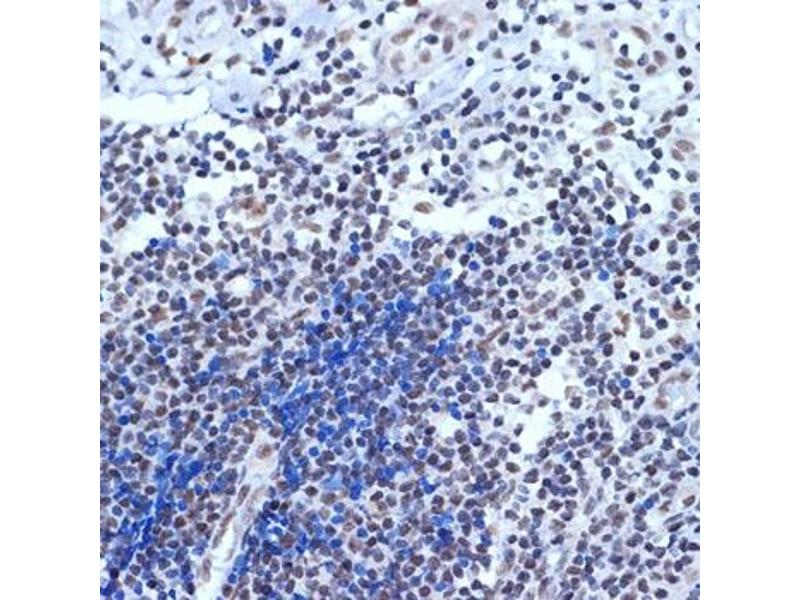
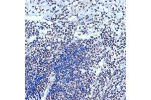
L’anticorps anti-BAF53A Monoclonal Lapin est utilisé pour la détection de BAF53A dans des échantillons de Humain. Il a été validé pour WB et IHC.
N° du produit ABIN7265387
330,00 €
Plus frais de livraison 40,00 € et TVA
Destination: France
Envoi sous 8 à 10 jours ouvrables

Aperçu rapide pour BAF53A anticorps (ABIN7265387)

Antigène

Voir toutes BAF53A Anticorps
BAF53A (Actin-Like 6A (BAF53A))

Reactivité

  • 86
  • 68
  • 49
  • 7
  • 7
  • 5
  • 5
  • 4
  • 4
  • 4
  • 2
  • 2
  • 1
  • 1
  • 1
  • 1
Humain

Hôte

  • 88
  • 9
Lapin

Clonalité

  • 67
  • 30
Monoclonal

Conjugué

  • 49
  • 6
  • 3
  • 3
  • 3
  • 3
  • 3
  • 3
  • 3
  • 2
  • 1
  • 1
  • 1
  • 1
  • 1
  • 1
  • 1
  • 1
  • 1
  • 1
  • 1
  • 1
  • 1
  • 1
  • 1
  • 1
  • 1
  • 1
  • 1
Cet anticorp BAF53A est non-conjugé

Application

  • 74
  • 28
  • 27
  • 24
  • 23
  • 13
  • 7
  • 3
  • 2
  • 2
  • 1
  • 1
  • 1
  • 1
Western Blotting (WB), Immunohistochemistry (IHC)
  • Fonction

    ACTL6A Rabbit mAb

     Réactivité croisée

    Humain, Souris, Rat

    Attributs du produit

    Monoclonal Antibodies

    Purification

    Affinity purification

    Immunogène

    A synthesized peptide derived from human ACTL6A

    Isotype

    IgG
  • Indications d'application

    WB,1:500 - 1:2000,IHC,1:50 - 1:200

    Restrictions

    For Research Use only
  • Format

    Liquid

    Buffer

    PBS with 0.02 % sodium azide,0.05 % BSA,50 % glycerol, pH 7.3.

    Agent conservateur

    Sodium azide

    Précaution d'utilisation

    This product contains Sodium azide: a POISONOUS AND HAZARDOUS SUBSTANCE which should be handled by trained staff only.

    Stock

    -20 °C

    Stockage commentaire

    Store at -20°C. Avoid freeze / thaw cycles.
  • Antigène

    BAF53A (Actin-Like 6A (BAF53A))

    Autre désignation

    ACTL6A

    Sujet

    This gene encodes a family member of actin-related proteins (ARPs), which share significant amino acid sequence identity to conventional actins. Both actins and ARPs have an actin fold, which is an ATP-binding cleft, as a common feature. The ARPs are involved in diverse cellular processes, including vesicular transport, spindle orientation, nuclear migration and chromatin remodeling. This gene encodes a 53 kDa subunit protein of the BAF (BRG1/brm-associated factor) complex in mammals, which is functionally related to SWI/SNF complex in S. cerevisiae and Drosophila, the latter is thought to facilitate transcriptional activation of specific genes by antagonizing chromatin-mediated transcriptional repression. Together with beta-actin, it is required for maximal ATPase activity of BRG1, and for the association of the BAF complex with chromatin/matrix. Three transcript variants that encode two different protein isoforms have been described. [provided by RefSeq, Jul 2008],ACTL6, ARPN-BETA, Arp4, BAF53A, INO80K,Cell Biology & Developmental Biology,Chromatin Remodeling,Cytoskeleton,Cytoskeleton_Microfilaments,Epigenetics & Nuclear Signaling,Signal Transduction,ACTL6A

    Poids moléculaire

    47kDa

    ID gène

    86

    UniProt

    O96019

    Pathways

    Chromatin Binding, Photoperiodism
Vous êtes ici:
Chat with us!