Tel:
+49 (0)241 95 163 153
Fax:
+49 (0)241 95 163 155
E-Mail:
orders@anticorps-enligne.fr

Actin-Like 6A Anticorps

(Actin-Like 6A (BAF53A))

Choisissez l’un des 98 anticorps BAF53A de notre liste de produits basés sur 43 images de validation.

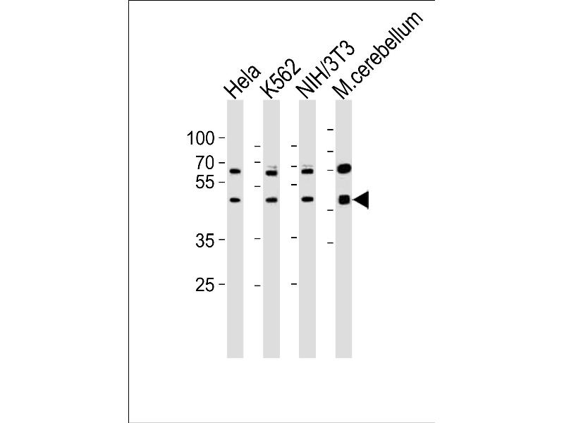
Découvrez des anticorps BAF53A fiables issus d’une large sélection de fabricants renommés. Notre portefeuille permet une détection précise de BAF53A dans plusieurs espèces, y compris Human, Mouse, Rat, Cow, Dog, Horse, Rabbit, Chicken, Guinea Pig, Pig, Bat, Monkey, Hamster, Streptococcus pyogenes, Xenopus laevis, Zebrafish (Danio rerio), et prend en charge diverses applications de recherche telles que WB, IHC, ELISA, IF, ICC.

Trouvez rapidement l’anticorps adapté grâce à nos outils de recherche, de filtrage et de comparaison. Chaque page produit fournit des données de validation détaillées, des références bibliographiques et des retours d’utilisateurs. Contrairement aux ressources dédiées uniquement à la comparaison, vous pouvez acheter directement les anticorps sur notre site. Choisissez parmi des anticorps polyclonaux, monoclonaux ou recombinants BAF53A, issus de différents hôtes tels que Rabbit, Mouse. Parcourez nos produits ci-dessous et commandez directement pour soutenir vos recherches en toute confiance.

Les noms alternatifs de BAF53A sont ACTL6A, Actl6a, actl6a, ARP4, actl6a.S.

98 Résultats

BAF53A Reactivité: Humain WB, IHC Hôte: Lapin Monoclonal unconjugated
N° du produit ABIN7265387
330,00 €
Plus frais de livraison 40,00 € et TVA
100 μL (Autres quantités disponibles)
Destination: France
Envoi sous 8 à 10 jours ouvrables
 
KD Validated BAF53A Reactivité: Humain WB, ICC, FACS Hôte: Lapin Monoclonal 23GB1155 unconjugated Recombinant Antibody
N° du produit ABIN7797455
598,92 €
Plus frais de livraison 40,00 € et TVA
100 μL
Destination: France
Envoi sous 7 à 10 jours ouvrables
 
BAF53A Reactivité: Humain WB, IF, IHC (p) Hôte: Lapin Polyclonal RB51048 unconjugated
N° du produit ABIN6243024
434,77 €
Plus frais de livraison 40,00 € et TVA
400 μL (Autres quantités disponibles)
Destination: France
Envoi sous 14 à 17 jours ouvrables
 
BAF53A Reactivité: Humain WB, IHC, ELISA, ChIP Hôte: Lapin Polyclonal unconjugated
N° du produit ABIN7143052
328,90 €
Plus frais de livraison 40,00 € et TVA
100 μL (Autres quantités disponibles)
Destination: France
Envoi sous 11 à 15 jours ouvrables
 
BAF53A Reactivité: Humain WB, ELISA Hôte: Souris Monoclonal 3C4 unconjugated
N° du produit ABIN513096
651,20 €
Plus frais de livraison 40,00 € et TVA
100 μg
Destination: France
Envoi sous 8 à 9 jours ouvrables
 
BAF53A Reactivité: Humain WB, ELISA, IF Hôte: Lapin Polyclonal unconjugated
N° du produit ABIN7183049
326,70 €
Plus frais de livraison 40,00 € et TVA
100 μL
Destination: France
Envoi sous 11 à 15 jours ouvrables
 
BAF53A Reactivité: Humain, Souris, Rat WB, ELISA, IF, ICC Hôte: Lapin Polyclonal unconjugated
N° du produit ABIN6257926
525,71 €
Plus frais de livraison 40,00 € et TVA
100 μL (Autres quantités disponibles)
Destination: France
Envoi sous 9 à 11 jours ouvrables
 
KD Validated BAF53A Reactivité: Humain WB Hôte: Lapin Polyclonal unconjugated
N° du produit ABIN7797456
598,92 €
Plus frais de livraison 40,00 € et TVA
100 μL
Destination: France
Envoi sous 7 à 10 jours ouvrables
 
KO Validated, KD Validated BAF53A Reactivité: Humain, Souris, Rat, Boeuf (Vache), Chien, Poulet, Porc WB, IHC, IF Hôte: Lapin Polyclonal unconjugated
N° du produit ABIN7299034
330,77 €
Plus frais de livraison 40,00 € et TVA
100 μL (Autres quantités disponibles)
Destination: France
Envoi sous 17 à 20 jours ouvrables
 
BAF53A Reactivité: Humain, Souris WB Hôte: Lapin Polyclonal RB50976 unconjugated
N° du produit ABIN6243021
434,77 €
Plus frais de livraison 40,00 € et TVA
400 μL (Autres quantités disponibles)
Destination: France
Envoi sous 14 à 17 jours ouvrables
 
BAF53A Reactivité: Humain, Souris WB Hôte: Lapin Polyclonal RB51668 unconjugated
N° du produit ABIN6243020
194,37 €
Plus frais de livraison 40,00 € et TVA
80 μL
Destination: France
Envoi sous 14 à 17 jours ouvrables
 
BAF53A Reactivité: Humain, Souris WB Hôte: Lapin Polyclonal unconjugated
N° du produit ABIN7261339
580,00 €
Plus frais de livraison 40,00 € et TVA
200 μL (Autres quantités disponibles)
Destination: France
Envoi sous 9 à 13 jours ouvrables
 
BAF53A Reactivité: Humain WB Hôte: Lapin Polyclonal RB36747 unconjugated
N° du produit ABIN1538810
434,77 €
Plus frais de livraison 40,00 € et TVA
400 μL (Autres quantités disponibles)
Destination: France
Envoi sous 14 à 17 jours ouvrables
 
BAF53A Reactivité: Souris, Rat WB, ELISA, IHC (p) Hôte: Lapin Polyclonal unconjugated
N° du produit ABIN708581
357,70 €
Plus frais de livraison 40,00 € et TVA
100 μL
Destination: France
Envoi sous 8 à 12 jours ouvrables
 
BAF53A Reactivité: Humain, Souris, Rat, Boeuf (Vache), Chien, Poulet, Cheval, Lapin, Porc, Cobaye, Roussette (Chauve-souris), Singe, Hamster WB Hôte: Lapin Polyclonal unconjugated
N° du produit ABIN6744497
789,41 €
Plus frais de livraison 40,00 € et TVA
100 μL
Destination: France
Envoi sous 15 à 20 jours ouvrables
 
BAF53A Reactivité: Humain IP Hôte: Lapin Polyclonal unconjugated
N° du produit ABIN513095
636,80 €
Plus frais de livraison 40,00 € et TVA
100 μL
Destination: France
Envoi sous 8 à 9 jours ouvrables
 
BAF53A Reactivité: Humain WB, ELISA Hôte: Souris Monoclonal 3E4 unconjugated
N° du produit ABIN513097
651,20 €
Plus frais de livraison 40,00 € et TVA
100 μg
Destination: France
Envoi sous 8 à 9 jours ouvrables
 
BAF53A Reactivité: Humain, Souris, Rat WB, ELISA, IF Hôte: Lapin Polyclonal unconjugated
N° du produit ABIN1533577
402,00 €
Plus frais de livraison 40,00 € et TVA
100 μL (Autres quantités disponibles)
Destination: France
Envoi sous 6 à 9 jours ouvrables
 
KD Validated BAF53A Reactivité: Humain, Souris, Rat WB, IHC, IF, ICC, IP Hôte: Lapin Monoclonal unconjugated Recombinant Antibody
N° du produit ABIN7607024
400,40 €
Plus frais de livraison 40,00 € et TVA
100 μL (Autres quantités disponibles)
Destination: France
Envoi sous 10 à 14 jours ouvrables
 
BAF53A Reactivité: Humain, Souris, Rat, Boeuf (Vache), Chien, Cheval, Lapin, Cobaye WB Hôte: Lapin Polyclonal unconjugated
N° du produit ABIN2777881
534,11 €
Plus frais de livraison 40,00 € et TVA
100 μL (Autres quantités disponibles)
Destination: France
Envoi sous 6 à 9 jours ouvrables
 
  • Type Primary
    • Primary
  • Application
    • Western Blotting (WB)
    • Immunohistochemistry (IHC)
    • ELISA
    • Immunofluorescence (IF)
    • Immunocytochemistry (ICC)
    • Immunohistochemistry (Paraffin-embedded Sections) (IHC (p))
    • Immunoprecipitation (IP)
    • Chromatin Immunoprecipitation (ChIP)
    • Immunofluorescence (Cultured Cells) (IF (cc))
    • Immunofluorescence (Paraffin-embedded Sections) (IF (p))
    • ChIP DNA-Sequencing (ChIP-seq)
    • Flow Cytometry (FACS)
    • Immunohistochemistry (Formalin-fixed Paraffin-embedded Sections) (IHC (fp))
    • Immunohistochemistry (Frozen Sections) (IHC (fro))
  • Réactivité
    • Human
    • Mouse
    • Rat
    • Cow
    • Dog
    • Horse
    • Rabbit
    • Chicken
    • Guinea Pig
    • Pig
    • Bat
    • Monkey
    • Hamster
    • Streptococcus pyogenes
    • Xenopus laevis
    • Zebrafish (Danio rerio)
  • Images disponible
  • Sans conservateur uniquement
  • Carrier free only
  • Hote
    • Rabbit
    • Mouse
  • Clonalité
    • Polyclonal
    • Monoclonal
  • Clone
    • N336B-83
    • 23GB1155
    • 3C4
    • 3E4
    • 6T1
    • AFCF-1
    • N336B-26
    • R03-1G4
    • RB36747
    • RB50976
    • RB51048
    • RB51668
  • Epitope
    • AA 2-30
    • AA 43-119
    • N-Term
    • AA 331-406
    • AA 331-410
    • AA 360-410
    • AA 1-280
    • AA 201-250
    • AA 25-75
    • AA 295-320
    • AA 295-330
    • C-Term
    • Center
    • Internal Region
    • AA 1-30
    • AA 1-387
    • AA 1-429
    • AA 1-80
    • AA 101-200
    • AA 12-429
    • AA 180-260
    • AA 35-84
    • AA 361-395
    • AA 55-89
    • AA 81-130
    • Middle Region
    • Trp237
  • Conjugué
    • Inconjugué
    • Biotin
    • Alexa Fluor 488
    • Alexa Fluor 555
    • Alexa Fluor 594
    • Alexa Fluor 647
    • Alexa Fluor 680
    • Alexa Fluor 750
    • HRP
    • FITC
    • APC
    • AbBy Fluor® 350
    • AbBy Fluor® 488
    • AbBy Fluor® 555
    • AbBy Fluor® 594
    • AbBy Fluor® 647
    • AbBy Fluor® 680
    • AbBy Fluor® 750
    • Alexa Fluor 350
    • Alexa Fluor 405
    • Cy3
    • Cy5
    • Cy5.5
    • Cy7
    • FL490
    • FL550
    • FL594
    • FL650
    • PE
  • Isotype
    • IgG
    • IgG2b
    • Ig Fraction
    • IgG1
    • IgG2a
    • kappa
  • Type Proteine
    • Recombinant Antibody
  • Format
    • Liquid
    • Lyophilized
  • Grade
    • KD Validated
    • Carrier-free
    • KO Validated, KD Validated
  • Supplier
    • antibodies-online
    • Signalway
    • Antibodies Incorporated
    • Aviva Systems Biology
    • ProteoGenix
    • Abbexa
    • Assay Biotechnology Company, Inc.
    • Boster Bio
    • Cohesion Biosciences
    • Covalab
    • St John's Laboratory
    • USBio

Dernières publications pour nos Actin-Like 6A Anticorps

Gatchalian, Malik, Ho, Lee, Kelso, Shokhirev, Dixon, Hargreaves: "A non-canonical BRD9-containing BAF chromatin remodeling complex regulates naive pluripotency in mouse embryonic stem cells." dans: Nature communications, Vol. 9, Issue 1, pp. 5139, (2019) (PubMed).

Miller, Hargreaves, Kadoch, Chang, Calarco, Hodges, Buenrostro, Cui, Greenleaf, Zhao, Crabtree: "TOP2 synergizes with BAF chromatin remodeling for both resolution and formation of facultative heterochromatin." dans: Nature structural & molecular biology, Vol. 24, Issue 4, pp. 344-352, (2017) (PubMed).

Bao, Tang, Lopez-Pajares, Tao, Qu, Crabtree, Khavari: "ACTL6a enforces the epidermal progenitor state by suppressing SWI/SNF-dependent induction of KLF4." dans: Cell stem cell, Vol. 12, Issue 2, pp. 193-203, (2013) (PubMed).

Staahl, Tang, Wu, Sun, Gitler, Yoo, Crabtree: "Kinetic analysis of npBAF to nBAF switching reveals exchange of SS18 with CREST and integration with neural developmental pathways." dans: The Journal of neuroscience : the official journal of the Society for Neuroscience, Vol. 33, Issue 25, pp. 10348-61, (2013) (PubMed).

Harata, Mochizuki, Mizuno: "Two isoforms of a human actin-related protein show nuclear localization and mutually selective expression between brain and other tissues." dans: Bioscience, biotechnology, and biochemistry, Vol. 63, Issue 5, pp. 917-23, (1999) (PubMed).

Kelso, Porter, Amaral, Shokhirev, Benner, Hargreaves: "Chromatin accessibility underlies synthetic lethality of SWI/SNF subunits in ARID1A-mutant cancers." dans: eLife, Vol. 6 (PubMed).

Pseudonymes pour Actin-Like 6A Anticorps

actin like 6A (ACTL6A) Anticorps
actin-like 6A (Actl6a) Anticorps
actin-like 6A (actl6a) Anticorps
actin like 6A (actl6a) Anticorps
actin-related protein 4 (ARP4) Anticorps
actin like 6A (Actl6a) Anticorps
Arp4p (ARP4) Anticorps
actin like 6A S homeolog (actl6a.S) Anticorps
2810432C06Rik Anticorps
actin Anticorps
Actin-like protein 4 Anticorps
actin-related protein 4 Anticorps
ACTL6 Anticorps
Actl6 Anticorps
actl6 Anticorps
ACTL6A Anticorps
actl6a Anticorps
actl6a.L Anticorps
AI851094 Anticorps
Arp4 Anticorps
ARP4 Anticorps
arp4 Anticorps
ARPN-BETA Anticorps
arpn-beta Anticorps
ATARP4 Anticorps
BAF53A Anticorps
Baf53a Anticorps
baf53a Anticorps
C79802 Anticorps
CaO19.5623 Anticorps
chunp6900 Anticorps
F15H18.8 Anticorps
F15H18_8 Anticorps
fb52e06 Anticorps
fl26e12 Anticorps
INO80K Anticorps
ino80k Anticorps
MGC75671 Anticorps
RGD1307747 Anticorps
wu:fb52e06 Anticorps
wu:fl26e12 Anticorps
Vous êtes ici:
Chat with us!